Un patient âgé de 57 ans, sans antécédent notable, est vu aux urgences pour un syndrome déficitaire de l’hémicorps droit avec mutisme d’installation brutale. L’examen neurologique objective une hémiparésie droite avec aphasie de Broca. Le reste de l’examen clinique, y compris cardiovasculaire, est sans particularité. 
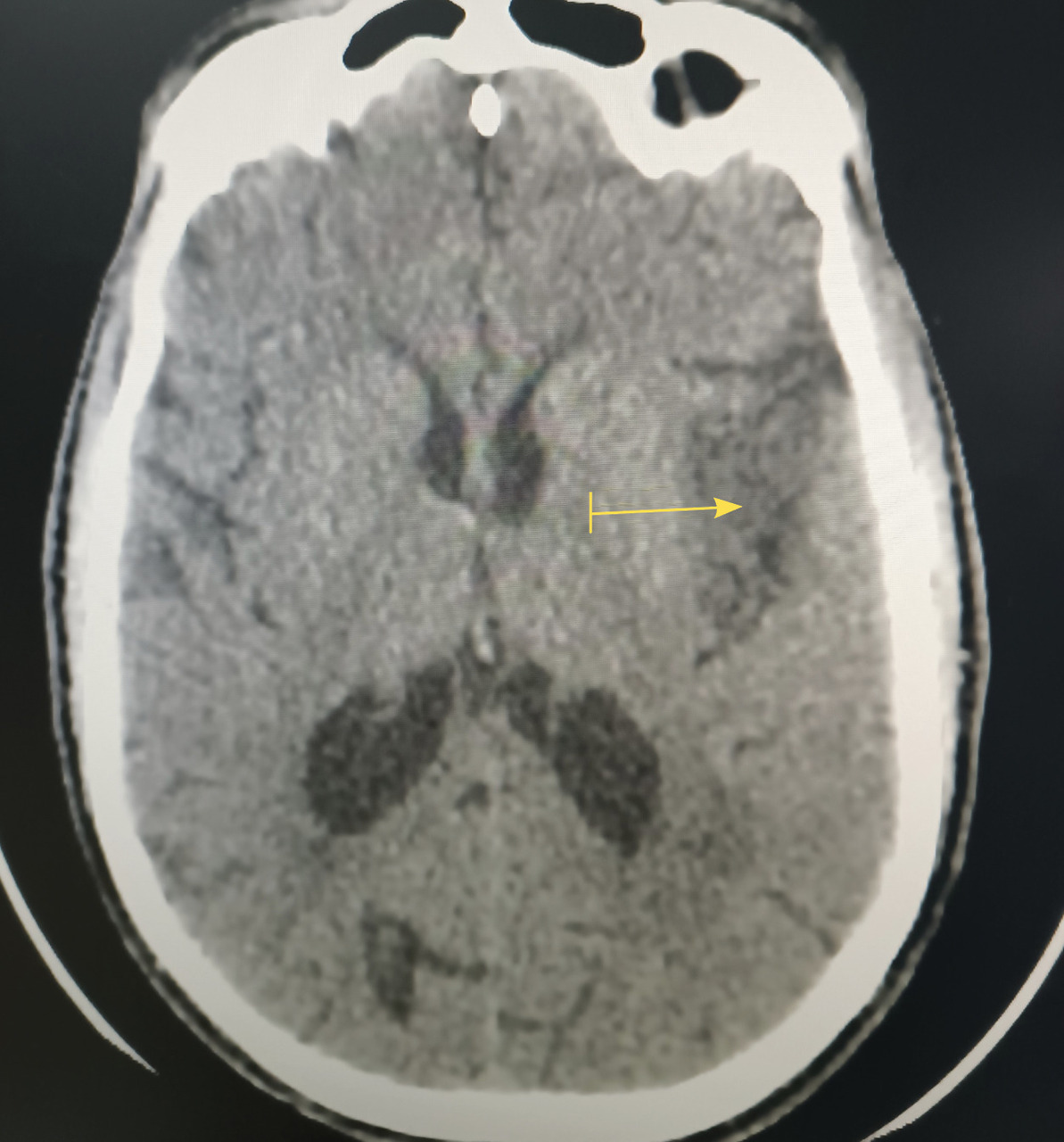
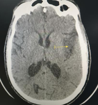
Le scanner cérébral révèle un accident vasculaire cérébral ischémique du territoire de l’artère cérébrale moyenne superficielle gauche (fig. 1). 
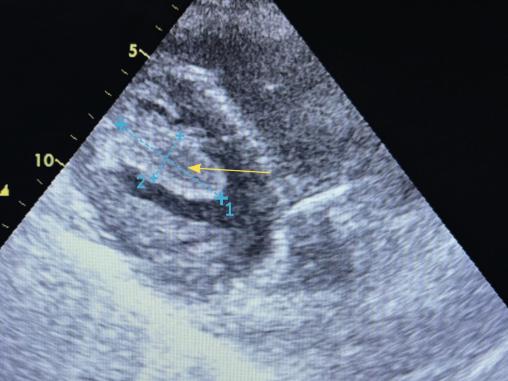
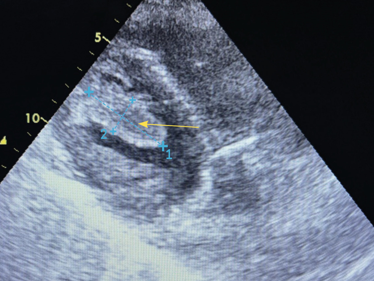
Une échocardiographie transthoracique montre la présence d’un thrombus intraventriculaire gauche (VG) apical (fig. 2), siège d’une akinésie de l’apex et une fonction globale conservée avec fraction d’éjection du VG (FEVG) estimée à 50 %.

Le thrombus intraventriculaire gauche survient principalement chez les patients ayant une dysfonction systolique importante ; sa formation dans un VG normal est rare.1 L’akinésie et la dyskinésie de la paroi du VG entraînent une stase sanguine  qui augmente le risque de formation d’un thrombus, surtout au niveau de l’apex. La présence d’un thrombus intraventriculaire augmente le risque de survenue d’une complication thrombo­embolique artérielle, notamment les accidents vasculaires ­cérébraux ischémiques et les embolies périphériques.2 

Parmi les examens complémentaires, l’échocardio­graphie transthoracique est considérée comme l’examen clé pour évaluer la fonction cardiaque et détecter le thrombus. Toutefois, une imagerie par résonance magnétique cardiaque avec injection de gadolinium semble avoir une meilleure spécificité et sensibilité pour la détection d’un thrombus.

Références
1. Kawamoto J, Ishibashi K, Shibukawa T, et al. Left ventricular thrombus with a normal heart. Gen Thorac Cardiovasc Surg 2007;55(8):322-4. 
2. Lattuca B, Silvain J. Thrombus intraventriculaire : diagnostic et traitement. Real Cardiol 2023;380:28-34.

Une question, un commentaire ?

promo