Recherche avancée

Précisez votre recherche

Par mots
Par parution
Ce contenu est exclusivement réservé aux abonnés

L’intégralité des articles parus dans nos revues

promo
Pancréatite chronique
La pancréatite chronique se caractérise par des altérations morphologiques irréversibles du tissu exocrine et endocrine, associant inflammation et fibrose. C’est un continuum évoluant sur de nombreuses années. La pancréatite chronique est le fruit d’interactions multiples entre la…
Oncogériatrie
Les patients âgés représentent plus de la moitié des cas incidents de cancer car la population française vieillit et l’oncogenèse et la sénescence partagent de nombreux mécanismes biologiques s’entraînant mutuellement. Leur prise en charge pose donc de nombreux défis, d’autant que le…
vos images
Anasarque due à une intoxication à la glycyrrhizine
Une femme de 40 ans, tabagique à 10 paquets-années, sevrée depuis un mois, consulte pour des œdèmes diffus apparus progressivement, de façon...
5b954516-5b7c-4d2d-a995-edeef2a130aa.jpg
vos images
Lymphome anaplasique à grandes cellules ostéocondensant
Un patient âgé de 35 ans, sans antécédents pathologiques particuliers, consulte pour des douleurs inflammatoires de l...
vos images
Nodule d’orf compliqué
Une patiente âgée de 40 ans, sans antécédents médicaux significatifs, consulte aux urgences pour une plaque large,...
vos images
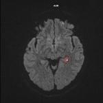
Ictus amnésique
Une femme âgée de 48 ans est vue en consultation pour un épisode d’amnésie régressive d’installation rapide (quelques...
arrêt sur image
Lésions aphtoïdes ulcérées sur maladie de Crohn
Marc, 36 ans, consulte pour des lésions à type d’aphtes géants évoluant depuis plusieurs années au niveau de la langue...
arrêt sur image
Signe de Frank
Un homme de 45 ans est vu en consultation pour un bilan de routine. Il ne prend aucun traitement et ne rapporte aucun...
EDITO
Plaidoyer pour une prescription raisonnée de l’imagerie en rhumatologie
L’imagerie musculosquelettique offre une gamme considérable d’examens pour aider le clinicien dans sa démarche diagnostique et thérapeutique. La base du raisonnement doit néanmoins rester…
Santé Société
Prescription compassionnelle en dermatologie
Les procédures d’accès compassionnel (autorisation d’accès compassionnel et cadre de prescription compassionnelle) permettent aux malades de bénéficier de médicaments sans (ou en attente d’)autorisation de mise sur le…
Débat
Penser réduction des risques liés à l’alcool plutôt qu’abstinence ?
La réduction des risques se positionne, en matière de santé publique, aux côtés du soin et de la prévention. Il s’agit d’une approche d’accompagnement centrée sur la diminution des conséquences néfastes d’un usage…
SANTÉ ET SOCIÉTÉ
Prix Nobel de médecine 2025 : lymphocytes T régulateurs, acteurs clés de la tolérance périphérique
Le prix Nobel de médecine a été attribué, en 2025, à trois chercheurs pour leurs travaux sur des lymphocytes impliqués dans les maladies auto-immunes. Après de nombreuses années de recherche, les lymphocytes T…
TRIBUNE LIBRE
Il était une fois...
Il était une fois une jeune médecin généraliste remplaçante en début de carrière. Elle remplaçait deux jours par semaine dans un cabinet depuis plusieurs mois et avait de ce fait la chance de…
promo