Un patient âgé de 35 ans, sans antécédents pathologiques particuliers, consulte pour des douleurs inflammatoires de l’hémibassin gauche et une lombosciatalgie inflammatoire du même côté. Ces symptômes progressent depuis six mois, dans un contexte d’altération de l’état général.
L’examen clinique objective des douleurs provoquées de tout l’hémibassin gauche, un syndrome rachidien lombaire haut et une raideur rachidienne. Il existe également des adénopathies inguinales fermes et indolores mesurant de 1 à 2 cm de diamètre.
Le bilan biologique retrouve un syndrome inflammatoire avec une vitesse de sédimentation (VS) à 110 mm à la première heure et une protéine C-réactive (CRP) à 279 mg/L. L’hémogramme note une thrombocytose à 495 000 éléments/mm3 et une lymphopénie à 740/mm3.
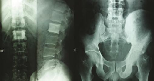
Les radiographies standards mettent en évidence une vertèbre ivoire L1 ainsi qu’une ostéocondensation de l’os iliaque gauche (fig. 1 ). Le scanner thoraco-abdomino-pelvien montre une atteinte osseuse mixte de l’aile iliaque gauche (fig. 2 ), un envahissement des parties molles (avec augmentation des volumes des muscles fessiers et du psoas [fig. 3 ] expliquant la sciatalgie), une néphromégalie unilatérale, une splénomégalie nodulaire et de multiples adénopathies abdomino-pelviennes et thoraciques.
La biopsie d’une adénopathie inguinale a permis de poser le diagnostic. L’étude immunohistochimique ayant révélé un lymphome anaplasique à grandes cellules ALK1 négatif, CD20 négatif avec expression diffuse de CD30 et rare du CD3, le patient a été adressé au service d’hématologie pour prise en charge thérapeutique.
L’examen clinique objective des douleurs provoquées de tout l’hémibassin gauche, un syndrome rachidien lombaire haut et une raideur rachidienne. Il existe également des adénopathies inguinales fermes et indolores mesurant de 1 à 2 cm de diamètre.
Le bilan biologique retrouve un syndrome inflammatoire avec une vitesse de sédimentation (VS) à 110 mm à la première heure et une protéine C-réactive (CRP) à 279 mg/L. L’hémogramme note une thrombocytose à 495 000 éléments/mm3 et une lymphopénie à 740/mm3.
Les radiographies standards mettent en évidence une vertèbre ivoire L1 ainsi qu’une ostéocondensation de l’os iliaque gauche (
La biopsie d’une adénopathie inguinale a permis de poser le diagnostic. L’étude immunohistochimique ayant révélé un lymphome anaplasique à grandes cellules ALK1 négatif, CD20 négatif avec expression diffuse de CD30 et rare du CD3, le patient a été adressé au service d’hématologie pour prise en charge thérapeutique.
Les lymphomes anaplasiques à grandes cellules (LAGC) sont des lymphomes non hodgkiniens (LNH) dont les cellules malignes sont d’origine T ou de phénotype dit « nul » n’exprimant pas de marqueurs T ou B. Ils existent sous trois formes cliniques : la forme systémique primaire (caractérisée par l’expression ou non d’une protéine kinase, Alk), forme cutanée primaire et une forme secondaire.1
Les localisations osseuses au cours des LNH sont rares. Il peut s’agir d’atteintes osseuses uniques (lymphome osseux primitif [LOP]) dont le pronostic est favorable, ou de localisations osseuses d’un lymphome qui permet de classer le lymphome en stade IV.2 Les LAGC de l’adulte ne représentent que 5 % de tous les LNH.2 La plupart des LAGC sont des lymphomes systémiques primaires et affectent préférentiellement les enfants et les jeunes adultes de sexe masculin, le plus souvent ALK positifs. Les LAGC ALK négatifs surviennent généralement chez les adultes de plus de 60 ans sans prédominance de sexe.1 Les LAGC sont fréquemment associés à une translocation chromosomique réciproque3,4 qui implique le gène de la nucléophosmine (NPM) et le gène ALK (anaplastic lymphoma kinase) sur le chromosome 2.5
Les LAGC sont hétérogènes sur les plans clinique, morphologique et cytogénétique.1 Une fois le diagnostic posé, un examen clinique minutieux ainsi que des examens paracliniques permettent de préciser le stade de la maladie selon la classification d’Ann Arbor.
Le diagnostic des LNH est souvent fait tardivement en raison de leur bonne tolérance clinique. La durée moyenne séparant les symptômes et le diagnostic a été estimée à huit mois.6 L’atteinte osseuse intéresse 5 à 15 % de l’ensemble des lymphomes malins.7 Les localisations osseuses des LNH sont rares et extrêmement rares au cours des LAGC.8 Le LOP est défini comme une atteinte osseuse uni- ou multifocale mais avec un bilan d’extension négatif dans les six mois suivant le diagnostic. Ces manifestations osseuses surviennent le plus souvent au cours d’un lymphome connu, mais dans environ 25 % des cas elles sont présentes au moment du diagnostic, et peuvent même révéler la maladie dans 2 à 5 % des cas.2,7 Elles reflètent l’évolutivité du lymphome, dont le pronostic reste lié à son type histologique et à son extension.
Les manifestations cliniques sont peu spécifiques : douleurs osseuses, tuméfaction, signes neurologiques de compression médullaires ou radiculaires. La douleur est la manifestation clinique initiale la plus fréquente (80-95 %).6 Elle est souvent de siège pelvien ou dorsolombaire, résistante aux antalgiques et aux anti-inflammatoires non stéroïdiens. La tuméfaction osseuse et les fractures pathologiques sont surtout observées dans les LOP.2 Les compressions médullaires ou radiculaires sont retrouvées en cas d’atteinte rachidienne. L’atteinte osseuse s’associe dans ce cas à une atteinte épidurale, rendant difficile la précision du point de départ (osseux ou épidural). Les atteintes osseuses n’ont aucune spécificité biologique hormis l’augmentation des phosphatases alcalines (PAL) qui pourrait en constituer un signe d’appel. La lactate déshydrogénase (LDH) est considérée comme un marqueur indirect de la masse tumorale, et l’hypercalcémie un facteur aggravant le pronostic. Par ailleurs, un syndrome inflammatoire non spécifique est souvent présent.
L’atteinte osseuse est, dans la majorité des cas, uni- ou bifocale au moment du diagnostic, ou dans les formes révélatrices. Les atteintes multifocales représentent 20 à 25 % des cas.8 Leur fréquence est plus élevée en cas d’apparition au cours d’un lymphome connu ou en cas d’atteinte extra-osseuse associée.
Sur les clichés conventionnels, on décrit trois types de lésion : lytique (la plus fréquente avec 50 à 80 % des cas)2, condensante et mixte. L’ostéocondensation isolée est rare (5 % des cas).9 Elle peut réaliser l’aspect classique de la vertèbre ivoire qui est plus fréquemment rencontré dans le lymphome de Hodgkin que dans les lymphomes non hodgkiniens.2 L’association d’une lésion osseuse et d’une importante infiltration des tissus mous en regard alors que la corticale est conservée ou finement mitée est évocatrice du lymphome.9 Dans les cas où l’infiltration lymphomateuse est confinée à la cavité médullaire, les radiographies standards peuvent être normales. La tomographie par émission de positons est l’examen de référence pour evaluer les atteintes osseuses et extra-osseuses.
La tomodensitométrie (TDM), quant à elle, permet de déterminer le stade et l’extension du lymphome et d’assurer le suivi des patients. L’imagerie par résonance magnétique (IRM) est un examen très sensible pour l’étude de l’envahissement des parties molles et celle de l’extension dans la moelle osseuse. L’infiltration lymphomateuse apparaît en hyposignal ou sous forme de signal hétérogène en T1 et en hypersignal T2 avec prise de contraste après injection de gadolinium.
Les LAGC ALK positifs sont de relativement bon pronostic. La survie à cinq ans varie de 71 à 93 % et le pourcentage de rémission complète est de 78 %, contrairement aux LAGC ALK négatifs de pronostic moins favorable (de 40 à 60 %).1,10 Globalement, le pronostic des lymphomes osseux est plus favorable que celui des autres tumeurs malignes osseuses.9
Les localisations osseuses au cours des LNH sont rares. Il peut s’agir d’atteintes osseuses uniques (lymphome osseux primitif [LOP]) dont le pronostic est favorable, ou de localisations osseuses d’un lymphome qui permet de classer le lymphome en stade IV.2 Les LAGC de l’adulte ne représentent que 5 % de tous les LNH.2 La plupart des LAGC sont des lymphomes systémiques primaires et affectent préférentiellement les enfants et les jeunes adultes de sexe masculin, le plus souvent ALK positifs. Les LAGC ALK négatifs surviennent généralement chez les adultes de plus de 60 ans sans prédominance de sexe.1 Les LAGC sont fréquemment associés à une translocation chromosomique réciproque3,4 qui implique le gène de la nucléophosmine (NPM) et le gène ALK (anaplastic lymphoma kinase) sur le chromosome 2.5
Les LAGC sont hétérogènes sur les plans clinique, morphologique et cytogénétique.1 Une fois le diagnostic posé, un examen clinique minutieux ainsi que des examens paracliniques permettent de préciser le stade de la maladie selon la classification d’Ann Arbor.
Le diagnostic des LNH est souvent fait tardivement en raison de leur bonne tolérance clinique. La durée moyenne séparant les symptômes et le diagnostic a été estimée à huit mois.6 L’atteinte osseuse intéresse 5 à 15 % de l’ensemble des lymphomes malins.7 Les localisations osseuses des LNH sont rares et extrêmement rares au cours des LAGC.8 Le LOP est défini comme une atteinte osseuse uni- ou multifocale mais avec un bilan d’extension négatif dans les six mois suivant le diagnostic. Ces manifestations osseuses surviennent le plus souvent au cours d’un lymphome connu, mais dans environ 25 % des cas elles sont présentes au moment du diagnostic, et peuvent même révéler la maladie dans 2 à 5 % des cas.2,7 Elles reflètent l’évolutivité du lymphome, dont le pronostic reste lié à son type histologique et à son extension.
Les manifestations cliniques sont peu spécifiques : douleurs osseuses, tuméfaction, signes neurologiques de compression médullaires ou radiculaires. La douleur est la manifestation clinique initiale la plus fréquente (80-95 %).6 Elle est souvent de siège pelvien ou dorsolombaire, résistante aux antalgiques et aux anti-inflammatoires non stéroïdiens. La tuméfaction osseuse et les fractures pathologiques sont surtout observées dans les LOP.2 Les compressions médullaires ou radiculaires sont retrouvées en cas d’atteinte rachidienne. L’atteinte osseuse s’associe dans ce cas à une atteinte épidurale, rendant difficile la précision du point de départ (osseux ou épidural). Les atteintes osseuses n’ont aucune spécificité biologique hormis l’augmentation des phosphatases alcalines (PAL) qui pourrait en constituer un signe d’appel. La lactate déshydrogénase (LDH) est considérée comme un marqueur indirect de la masse tumorale, et l’hypercalcémie un facteur aggravant le pronostic. Par ailleurs, un syndrome inflammatoire non spécifique est souvent présent.
L’atteinte osseuse est, dans la majorité des cas, uni- ou bifocale au moment du diagnostic, ou dans les formes révélatrices. Les atteintes multifocales représentent 20 à 25 % des cas.8 Leur fréquence est plus élevée en cas d’apparition au cours d’un lymphome connu ou en cas d’atteinte extra-osseuse associée.
Sur les clichés conventionnels, on décrit trois types de lésion : lytique (la plus fréquente avec 50 à 80 % des cas)2, condensante et mixte. L’ostéocondensation isolée est rare (5 % des cas).9 Elle peut réaliser l’aspect classique de la vertèbre ivoire qui est plus fréquemment rencontré dans le lymphome de Hodgkin que dans les lymphomes non hodgkiniens.2 L’association d’une lésion osseuse et d’une importante infiltration des tissus mous en regard alors que la corticale est conservée ou finement mitée est évocatrice du lymphome.9 Dans les cas où l’infiltration lymphomateuse est confinée à la cavité médullaire, les radiographies standards peuvent être normales. La tomographie par émission de positons est l’examen de référence pour evaluer les atteintes osseuses et extra-osseuses.
La tomodensitométrie (TDM), quant à elle, permet de déterminer le stade et l’extension du lymphome et d’assurer le suivi des patients. L’imagerie par résonance magnétique (IRM) est un examen très sensible pour l’étude de l’envahissement des parties molles et celle de l’extension dans la moelle osseuse. L’infiltration lymphomateuse apparaît en hyposignal ou sous forme de signal hétérogène en T1 et en hypersignal T2 avec prise de contraste après injection de gadolinium.
Les LAGC ALK positifs sont de relativement bon pronostic. La survie à cinq ans varie de 71 à 93 % et le pourcentage de rémission complète est de 78 %, contrairement aux LAGC ALK négatifs de pronostic moins favorable (de 40 à 60 %).1,10 Globalement, le pronostic des lymphomes osseux est plus favorable que celui des autres tumeurs malignes osseuses.9
Références
1. Coronas S. Rôle potentiel du phosphatidylinositol 5-phosphate dans l’oncogenèse associée à NPM-ALK : implication de PIKfyve. Thèse de biologie, santé, biotechnologie. Toulouse, université de Toulouse, 2008.
2. Pittet-Barbier L, Dumont JB. Lésions ostéoarticulaires dans les lymphomes. Encycl Med Chir 2001;31-192-B-10.
3. Falini B. Anaplastic large cell lymphoma: Pathological, molecular and clinical features. Br J Haematol 2001;114:741-60.
4. Fiorani C, Vinci G, Sacchi S, Bonaccorsi G, Artusi T. Primary systemic anaplastic large-cell lymphoma (CD30+): Advances in biology and current therapeutic approaches. Clin Lymphoma 2001;2(1):29-37.
5. Morris SW, Kirstein MN, Valentine MB, Dittmer KG, Shapiro DN, Saltman DL, et al. Fusion of a kinase gene, ALK, to a nucleolar protein gene, NPM, in non-Hodgkin’s lymphoma. Science 1994;263(5151):1281-4.
6. Messina C, Christie D, Zucca E. Primary and secondary bone lymphomas. Cancer Treatment Reviews 2015;41:235-46.
7. Roux S, Mariette X. Manifestations ostéoarticulaires des hémopathies malignes (myélome exclu). Encycl Med Chir 2005;14-027-A-20.
8. Nagasaka T, Nakamura S, Medeiros LJ, Juco J, Lai R. Anaplastic large cell lymphomas presented as bone lesions: A clinicopathologic study of six cases and review of the literature. Mod Pathol 2000;13(10):1143-9.
9. Berrady R, Harzy T, Khammar Z, Lahlou M, Lamchachti L, Rebhi S, et al. Atteinte osseuse au cours des lymphomes non hodgkiniens. Étude de 8 observations. AMETHER 2009;1(1):14-17.
10. Hapgood G, Savage KJ. The biology and management of systemic anaplastic large cell lymphoma. Blood 2015;126(1):17-25.
2. Pittet-Barbier L, Dumont JB. Lésions ostéoarticulaires dans les lymphomes. Encycl Med Chir 2001;31-192-B-10.
3. Falini B. Anaplastic large cell lymphoma: Pathological, molecular and clinical features. Br J Haematol 2001;114:741-60.
4. Fiorani C, Vinci G, Sacchi S, Bonaccorsi G, Artusi T. Primary systemic anaplastic large-cell lymphoma (CD30+): Advances in biology and current therapeutic approaches. Clin Lymphoma 2001;2(1):29-37.
5. Morris SW, Kirstein MN, Valentine MB, Dittmer KG, Shapiro DN, Saltman DL, et al. Fusion of a kinase gene, ALK, to a nucleolar protein gene, NPM, in non-Hodgkin’s lymphoma. Science 1994;263(5151):1281-4.
6. Messina C, Christie D, Zucca E. Primary and secondary bone lymphomas. Cancer Treatment Reviews 2015;41:235-46.
7. Roux S, Mariette X. Manifestations ostéoarticulaires des hémopathies malignes (myélome exclu). Encycl Med Chir 2005;14-027-A-20.
8. Nagasaka T, Nakamura S, Medeiros LJ, Juco J, Lai R. Anaplastic large cell lymphomas presented as bone lesions: A clinicopathologic study of six cases and review of the literature. Mod Pathol 2000;13(10):1143-9.
9. Berrady R, Harzy T, Khammar Z, Lahlou M, Lamchachti L, Rebhi S, et al. Atteinte osseuse au cours des lymphomes non hodgkiniens. Étude de 8 observations. AMETHER 2009;1(1):14-17.
10. Hapgood G, Savage KJ. The biology and management of systemic anaplastic large cell lymphoma. Blood 2015;126(1):17-25.
Une question, un commentaire ?