Une femme âgée de 48 ans est vue en consultation pour un épisode d’amnésie régressive d’installation rapide (quelques heures). Elle rapporte une chute à scooter survenue trois jours auparavant, sans traumatisme crânien. 
Le matin de l’épisode, elle part à scooter avec son fils pour une sortie scolaire, sans événement notable. En début d’après-midi, elle est en état de perplexité anxieuse, posant des questions de façon répétitive en pleurant : « Pourquoi ne suis-je pas au travail ? », « Quel jour sommes-nous ? ». La patiente rentre chez elle en fin d’après-midi, récupérant l’ensemble de ses fonctions mnésiques après deux heures de sommeil.
À l’interrogatoire, la patiente révèle une lacune mnésique de douze heures, débutant le matin lors de son trajet à scooter. Les examens neurologique et neuropsychologique sont normaux, avec notamment un respect de la mémoire épisodique.
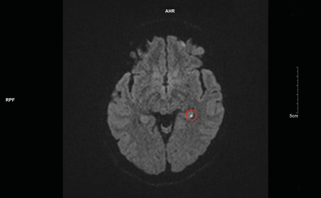
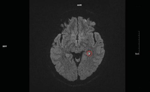
Une imagerie par résonance magnétique (IRM) cérébrale est réalisée quarante-huit heures après l’épisode, mettant en évidence un hypersignal punctiforme en séquence diffusion (fig. 1) et en hyposignal ADC (apparent coefficient diffusion) [fig. 2] localisé à la partie interne du lobe temporal gauche.

L’ictus amnésique est une entité connue depuis 1956 ; elle se définit par un syndrome amnésique aigu touchant exclusivement la mémoire épisodique antérograde et rétrograde, régressant en moins de vingt-quatre heures.

Le pic d’incidence se situe vers 60 ans, sans prédominance de sexe. Les patients n’ont pas de facteur de risque vasculaire particulier. Une association a été décrite avec la migraine et le syndrome d’apnées-hypopnées obstructives du sommeil. Le site lésionnel se situe exclusivement dans la partie interne du lobe temporal et l’hippocampe, les neurones de cette région semblant particulièrement sensibles à l’hypoxie et à l’ischémie. 

Le mécanisme étiologique demeure toutefois mystérieux.

La signature IRM des lésions évoquant un œdème cytotoxique, la piste de l’accident ischémique transitoire est évoquée. Cependant, les patients ayant déjà eu un ictus amnésique ne développent pas d’accidents ischémiques par la suite. En outre, ils n’ont pas non plus de facteur de risque vasculaire. L’origine épileptique des troubles semble tout autant écartée au vu des électroencéphalogrammes normaux réalisés durant l’épisode. Une dépression corticale envahissante de type migraineux a également été proposée, mais touche généralement les sujets plus jeunes ayant des épisodes itératifs — ce qui n’est pas le cas de l’ictus amnésique à épisode unique.

En revanche, une insuffisance valvulaire de la jugulaire interne est fréquemment retrouvée chez ces patients, pouvant conduire à une congestion veineuse intracérébrale, notamment lors d’une épreuve de Valsalva ; cela pourrait en partie expliquer le phénomène.1 

La présentation clinique est stéréotypée,2 avec un tableau d’amnésie antérograde d’installation brutale ; une perplexité anxieuse est retrouvée chez le patient, qui  pose les mêmes questions de façon itérative. La durée moyenne de l’épisode est de six heures. La récupération totale est obtenue après douze heures en moyenne.

L’interrogatoire recherche des facteurs déclenchants, comme un choc émotionnel, une épreuve de Valsalva, une activité sexuelle, un contact avec de l’eau très froide.

L’IRM permet de mettre en évidence les signes caractéristiques à la partie interne du lobe tempo­ral (hypersignal diffusion et hy­posignal ADC), avec une détection optimale deux et trois jours après l’épisode. Il est important de préciser au radiologue la nécessité de réaliser des coupes fines de la région.

L’ictus amnésique est une pathologie bénigne, avec un taux de récidive évalué à 10 % en moyenne ;2 pour cette raison, l’abstention thérapeutique est de rigueur.

Références 
1. Sparaco M, Pascarella R, Muccio CF, et al. Forgetting the unforgettable: Transient global amnesia. Part I: Pathophysiology and etiology. J Clin Med 2022;11(12):3373. 
2. Sparaco M, Pascarella R, Muccio CF, et al. Forgetting the unforgettable: Transient global amnesia. Part II: A clinical road map. J Clin Med 2022;11(14):3940.

Une question, un commentaire ?

promo