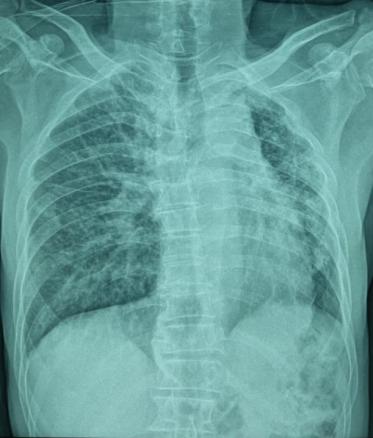
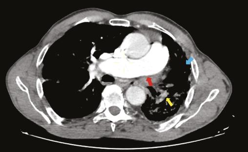
Un homme âgé de 66 ans, sans antécédents particuliers, est admis aux urgences pour la prise en charge d’un traumatisme thoracique minime. Une radiographie thoracique montre une asymétrie de taille des deux champs pulmonaires avec une déviation médiastinale vers la gauche (fig. 1). Un angioscanner thoracique montre une agénésie de l’artère pulmonaire gauche, une hypoplasie du poumon homolatéral et des lacérations vasculaires systémiques d’origine bronchique vascularisant le poumon gauche (fig. 2).

L’agénésie de l’artère pulmonaire a été découverte pour la première fois en 1868 et, depuis, 420 cas ont été décrits dans la littérature. Le sex ratio est égal à 1 et l’âge médian du diagnostic est de 14 ans.1,2

L’agénésie de l’artère pulmonaire est plus fréquente à droite qu’à gauche. De plus, 58  % des agénésies de l’artère pulmonaire droite sont isolées contre seulement 19  % des agénésies de l'artère pulmonaire gauche.3

Les principales malformations qui peuvent être associées sont la tétralogie de Fallot, la communication interventriculaire, l’arc aortique droit, la transposition des grands vaisseaux, un retour veineux anormal ou la persistance d’un canal artériel.4

Cliniquement, dyspnée, fatigabilité à l’activité physique, hémoptysie et asthme sont fréquemment rapportés. Ces symptômes semblent spécifiques de la malformation puisqu’ils disparaissent après pneumonectomie.4

Le diagnostic repose classiquement sur l’angiographie, mais l’angioscanner reste l’examen de référence  : il montre l’absence de structure vasculaire sur le trajet de l’artère pulmonaire, avec une paroi lisse et régulière entre l’artère pulmonaire primitive et l’artère pulmonaire droite ou gauche résiduelle, et permet également d’objectiver une éventuelle hypoplasie associée.5 

Références
1. Griffin N, Mansfield L, Redmond KC, et al. Imaging features of isolated unilateral pulmonary artery agenesis presenting in adulthood: A review of four cases. Clin Radiol 2007;62:238-44.
2. Steiropoulos P, Archontogeorgis K, Tzouvelekis A, et al. Unilateral pulmonary artery agenesis: A case series. Hippokratia 2013;17(1):73-6.
3. Laaraje A, El Hafidi N, Mahraoui C. A rare cause of exertional dry cough: Agenesis of the left pulmonary artery associated with pulmonary hypoplasia. Pan Afr Med J 2017:27:146.
4. Gavazzi E, Farina D, Avigo C, et al. Unilateral pulmonary artery agenesia: Comprehensive assessment with MRI. Eur J Radiol 2008;66:e13-e15.
5. Ukkola-Pons E, Weber-Donat G, Potet J, et al. Agénésie unilatérale d'une artère pulmonaire, à propos d'un cas. J Radiol 2010;91(2):723-5.

Une question, un commentaire ?

promo