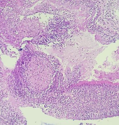
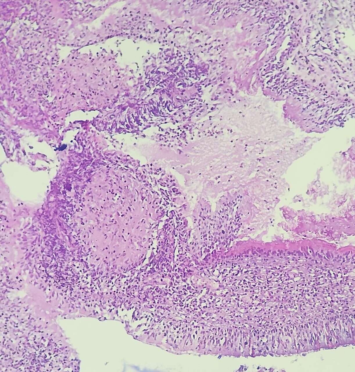
Une patiente âgée de 40 ans est admise à l’hôpital pour exploration d’adénopathies cervicales. L’interrogatoire révèle une obstruction nasale chronique accompagnée d’une rhinorrhée. L’endoscopie met en évidence une rhinite croûteuse avec un bombement du cavum (fig. 1). La tomodensitométrie montre un cavum pseudotumoral (fig. 2, 3 et 4). L’histologie objective un processus granulomateux tuberculoïde (fig. 5). Le GeneXpert sur fragment de biopsie, l’intradermoréaction à la tuberculine et la recherche de bacille de Koch dans les crachats sont négatifs.
La calcémie, la protéine C-réactive (CRP), l’angiotensine convertase et le bilan immunologique sont normaux. La confrontation des données cliniques, radiologiques, histologiques et biologiques retient le diagnostic de sarcoïdose. L’évolution a été favorable sous corticothérapie systémique.
La sarcoïdose est une granulomatose multisystémique, d’étiologie méconnue. La sphère ORL, en particulier le cavum, est une localisation très rare.1,2 Chez cette patiente, le diagnostic est retenu après élimination d’une néoplasie, de la tuberculose – endémique au Maroc – et des autres granulomatoses.
Le traitement de première intention devant les formes ORL est basé sur la corticothérapie systémique et locale. La localisation cavaire est insolite et sa symptomatologie non caractéristique, pouvant rendre le diagnostic difficile. La gêne fonctionnelle occasionnée justifie sa recherche systématique.
La calcémie, la protéine C-réactive (CRP), l’angiotensine convertase et le bilan immunologique sont normaux. La confrontation des données cliniques, radiologiques, histologiques et biologiques retient le diagnostic de sarcoïdose. L’évolution a été favorable sous corticothérapie systémique.
La sarcoïdose est une granulomatose multisystémique, d’étiologie méconnue. La sphère ORL, en particulier le cavum, est une localisation très rare.1,2 Chez cette patiente, le diagnostic est retenu après élimination d’une néoplasie, de la tuberculose – endémique au Maroc – et des autres granulomatoses.
Le traitement de première intention devant les formes ORL est basé sur la corticothérapie systémique et locale. La localisation cavaire est insolite et sa symptomatologie non caractéristique, pouvant rendre le diagnostic difficile. La gêne fonctionnelle occasionnée justifie sa recherche systématique.
Références
1. Jalloul W, Benjelloun H, Zaghba N, et al. Atteinte ORL au cours de la sarcoïdose thoracique. Rev Mal Respir Actualites 2021;13(1):198.
2. El Bousaadani A, Eljahd L, Benbakh M, et al. Masse tissulaire du cavum comblant les choanes révélant une sarcoïdose. Eur Ann Otorhinolaryngol Head Neck Dis 2015;132(5):309-10.
2. El Bousaadani A, Eljahd L, Benbakh M, et al. Masse tissulaire du cavum comblant les choanes révélant une sarcoïdose. Eur Ann Otorhinolaryngol Head Neck Dis 2015;132(5):309-10.
Une question, un commentaire ?