Les nodules thyroïdiens sont fréquents (4 % de la population générale), avec une prédominance féminine1 et une prévalence qui augmente avec l’âge. La prise en charge diagnostique et thérapeutique fait l’objet de plusieurs recommandations de sociétés savantes : consensus récent de la Société française d’endocrinologie, de l’Association française de chirurgie endocrinienne et de la Société de médecine nucléaire,2 en 2022 ; recommandations de la Haute Autorité de santé3 en 2021. Les recommandations des différents pays sont regroupées sur le site internet Thyroid International Recommendations Online (https ://tiro.expert/).4 

De la simple surveillance à la thyroïdectomie totale avec curage cervical, la décision thérapeutique tend à devenir conservatrice. L’enjeu est de ne pas manquer un cancer, tout en évitant le surdiagnostic, donc un surtraitement, ainsi que les complications qui en découleraient. L’objectif est de diagnostiquer les cancers cliniquement significatifs.

Mode de découverte et facteurs de risque

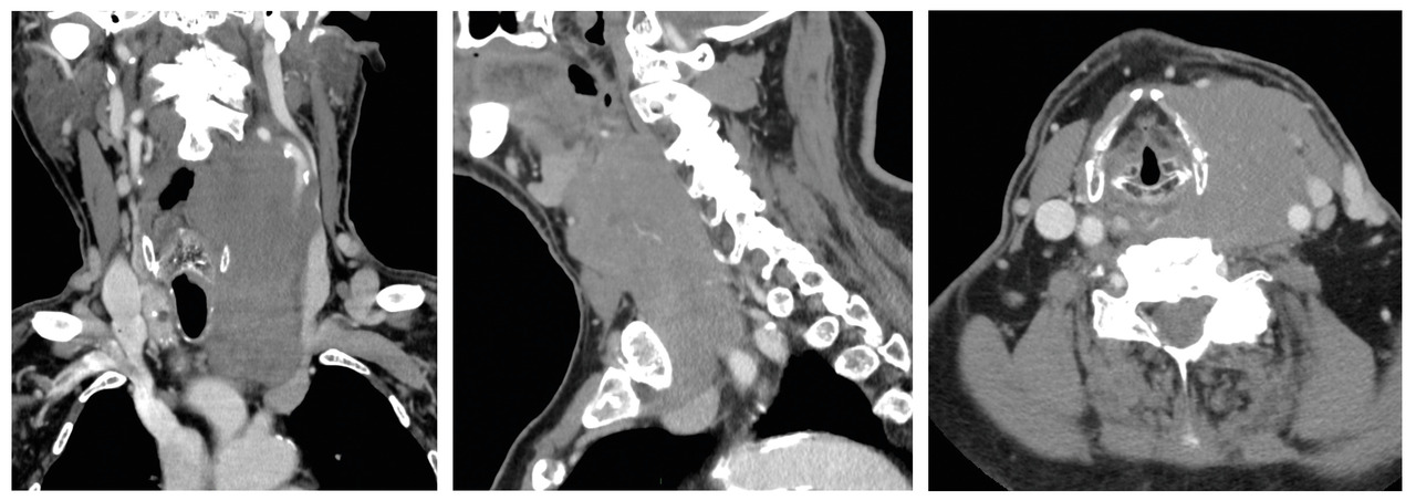
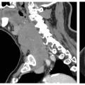
Le nodule peut être découvert à la palpation cervicale par le patient ou son médecin (40 à 50 % des cas), mais, de plus en plus souvent (30 à 40 % des cas),5 il s’agit d’une découverte fortuite lors d’un examen d’imagerie (échographie, scanner [fig. 1], scintigraphie, tomographie par émission de positons [TEP]). Une dysthyroïdie est révélatrice dans 10 à 15 % des cas. Le motif de consultation peut être une gêne fonctionnelle : dysphagie, gêne à la déglutition, dysphonie (si atteinte du nerf récurrent), dyspnée (si compression trachéale) qui peut faire découvrir un goitre thyroïdien (fig. 2). Des signes d’hyperthyroïdie doivent bien évidemment attirer l’attention (nodule toxique, maladie de Basedow).

Les facteurs de risque de cancers thyroïdiens à rechercher lors de la découverte d’un nodule sont principalement les antécédents familiaux de cancer thyroïdien, l’antécédent d’irradiation cervicale et les maladies génétiques comme la néoplasie endocrinienne multiple de type 2 (NEM2).

Les cancers thyroïdiens sont, dans 90 % des cas, des carcinomes différenciés – le plus fréquent étant le carcinome papillaire. Parmi les carcinomes peu différenciés, qui sont généralement d’évolution plus rapide et de moins bon pronostic, on retrouve les carcinomes anaplasiques, médullaires, les lymphomes ou les métastases, notamment de cancer rénal.

Poser le diagnostic et évaluer le potentiel de malignité

La figure 3 propose un arbre diagnostique des nodules thyroïdiens.

Évaluation clinique

L’examen clinique comporte une palpation cervicale avec palpation thyroïdienne et des aires ganglionnaires cervicales. Le nodule est suspect s’il augmente rapidement de volume, s’il est adhérent sur le plan profond, s’il est dur, compressif, entraînant des signes fonctionnels (dysphonie, dysphagie, dyspnée). La présence d’adénopathies cervicales est très suspecte de malignité. Des signes de dysthyroïdie sont également à rechercher. Avant d’opérer, l’ORL effectue une nasofibroscopie pour s’assurer de la bonne mobilité des cordes vocales.

Examens complémentaires

Bilan biologique

Un bilan biologique systématique est demandé avec le dosage de la thyréostimuline (TSH). Le dosage des anticorps antithyroïdiens (antirécepteurs de la TSH [TRAK], antithyroperoxydase [TPO], antithyroglobuline [TG]) n’est pas indiqué. Si une chirurgie est envisagée, il convient de doser la calcémie en pré-opératoire afin de vérifier l’absence d’hypercalcémie liée à un nodule parathyroïdien, et d’avoir un taux de référence. La calcitonine est demandée pour rechercher un carcinome médullaire de la thyroïde si le patient a des facteurs de risque (antécédents familiaux de NEM2) ou des signes fonctionnels (diarrhées).

Imagerie : évaluer le risque de malignité

L’échographie thyroïdienne et cervicale est un examen systématique qui fournit des informations essentielles à la suite de la prise en charge : volume de chaque lobe thyroïdien, taille des nodules, classification européenne du système d’imagerie et de données sur la thyroïde (EU-TIRADS)6 et présence d’adénopathie cervicale. La classification radiologique EU-TIRADS évalue le risque de malignité d’un nodule de 2 (fig. 4) à 5 (tableau 1).

Une scintigraphie thyroïdienne doit être demandée en cas d’hyperthyroïdie (TSH < 0,4 mUI/L), afin de rechercher un nodule toxique autonome. 

Cytoponction à l’aiguille pour optimiser le choix du traitement

En fonction des résultats du bilan biologique et de l’échographie thyroïdienne, une ponction cytologique à l’aiguille fine d’un nodule suspect peut être demandée, ce qui permet d’obtenir une classification selon la terminologie de Bethesda (tableau 2).7

Les résultats de la cytologie déterminent l’indication thérapeutique : exérèse chirurgicale (ou autre technique) ou surveillance.

Traitement : sans excès ni défaut 

Depuis plusieurs années, la tendance est à la désescalade thérapeutique. Il faut cependant rester vigilant et ne pas tomber dans l’excès inverse. La chirurgie thyroïdienne et les alternatives thérapeutiques sont des traitements sûrs, ayant de rares complications. Quand nécessaire, les nodules suspects doivent être pris en charge activement.

Surveillance

Une surveillance peut être proposée si les examens sont en faveur d’un nodule bénin et si le patient n’a de gêne ni fonctionnelle ni esthétique. Le suivi peut être initialement annuel, puis s’espacer si les nodules restent stables.

Chirurgie 

Une chirurgie est envisagée si le nodule thyroïdien est suspect de cancer ou si le patient a une gêne fonctionnelle ou esthétique : en fonction des cas, soit une lobo-isthmectomie thyroïdienne, soit une thyroïdectomie totale parfois associée à un curage ganglionnaire récurrentiel et/ou latéral.

La décision du geste chirurgical dépend du nombre et de la taille des nodules suspects et de leur bilatéralité ou non. Un curage est décidé d’emblée si le nodule est volumineux et très suspect de cancer (Bethesda V ou VI). Le principal risque de l’intervention chirurgicale est l’atteinte du nerf récurrent, avec une possible paralysie récurrentielle.

Néanmoins, la chirurgie est de pratique courante et les complications sont rares. L’utilisation systématique d’un système de monitorage du nerf récurrent en peropératoire a permis de diminuer la fréquence des lésions de ce nerf.8,9 

Iode radioactif

L’iode radioactif est un traitement qui peut être proposé aux patients ayant une hyperthyroïdie avérée liée à un nodule autonome. Elle est plutôt envisagée en cas de contre-indication chirurgicale (par exemple, antécédents lourds rendant l’anesthésie risquée). Un projet de grossesse à court terme est une contre-indication à l’iode radioactif. La chirurgie est préférée si le nodule est compressif.

Thermoablation

La thermoablation10 est une option pour les petits nodules bénins (EU-TIRADS 2 et moins de 4 cm) avec une gêne fonctionnelle. C’est un geste court qui se pratique généralement sous anesthésie locale. Une électrode de radiofréquence est introduite dans le nodule sous contrôle échographique afin de détruire le tissu du nodule thyroïdien. 

Références 
1. Assurance maladie. Qu’est-ce qu’un nodule de la thyroïde ? Octobre 2022. https://bit.ly/3XDchPn 
2. Consensus SFE-AFCE-SFMN 2022 sur la prise en charge des nodules thyroïdiens. Août 2022. https://bit.ly/4bg2v8Z 
3. HAS. Exploration des pathologies thyroïdiennes chez l’adulte : pertinence et critères de qualité de l’échographie, pertinence de la cytoponction échoguidée. Octobre 2021. https://bit.ly/3RGRhU0 
4.Thyroid International Recommendations Online - TIRO. https://tiro.expert/ 
5. Société française d’endocrinologie - SFE. Item 241 - Nodules thyroïdiens. Aout 2022. https://www.sfendocrino.org/item-241-nodules-thyroidiens/
6. Russ G. Risk stratification of thyroid nodules on ultrasonography with the French TI-RADS: Description and reflections. Ultrasonography 2016;35(1):25-38.
7. Cochand-Priollet B, Vielh P, Royer B, et al. Cytopathologie thyroïdienne : le système de Bethesda 2010. Ann Pathol 2012;32(3):177-183. 
8. Sanabria A, Ramirez A, Kowalski LP, et al. Neuromonitoring in thyroidectomy: A meta-analysis of effectiveness from randomized controlled trials. Eur Arch Otorhinolaryngol 2013;270(8):2175-2189.
9. Davey MG, Cleere EF, Lowery AJ, et al. Intraoperative recurrent laryngeal nerve monitoring versus visualisation alone: A systematic review and meta-analysis of randomized controlled trials. Am J Surg 2022;224(3):836-41.
10. Consensus SFE-AFCE-SFMN 2022 sur la prise en charge des nodules thyroïdiens, chapitre 8 -Thermoablation. Août 2022. https://bit.ly/3xxqfHQ  

Dans cet article

Ce contenu est exclusivement réservé aux abonnés