La Société française de radiologie a annoncé le 2 avril la création du Projet Fidac, en partenariat avec NEHS Digital : il s’agit de constituer une base de données nationale et anonymisée de scanners thoraciques réalisés pour suspicion d’atteinte pulmonaire liée au SARS-CoV-2, dans le but d’améliorer les connaissances, favoriser la recherche et optimiser la prise en charge des patients.

Toutes les images seront prises en compte : scanner certain de Covid+, possible, voire négatif ou ayant dépisté une autre pathologie que celle recherchée au départ. Et ce pour recueillir le plus grand nombre de données possibles permettant d’identifier des biomarqueurs diagnostiques, pronostiques, des formes particulières, d’analyser le suivi, de corréler les données radiologiques à la PCR, etc.

L’appel à contributions est ouvert à tous, exerçant dans le public ou le privé et quel que soit le nombre d’images envoyées. Le recueil se fait de deux façons : par un portail centralisé ou par les réseaux des serveurs Nexus déjà en place dans une grande partie des établissements français.

Pour en savoir plus

Projet FIDAC – Base de données scanners thoraciques Covid-SFR, Société française de radiologie, 2 avril 2020.

 

L. M. A., La Revue du Praticien

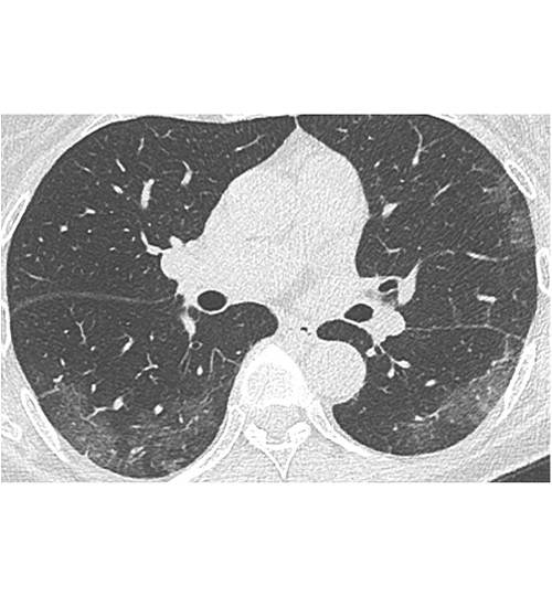
Image : Tomodensitométrie. Patiente de 71 ans sans antécédent, atteinte de Covid-19, ayant une pneumopathie interstitielle. Aspect typique initial : atteinte bilatérale à type de verre dépoli périphérique sous-pleural. Crédit : Société française de radiologie (https://bit.ly/39NaivY).