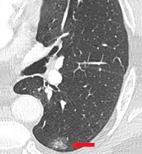
Les cancers du poumon sont la première cause de mortalité par cancer chez l’homme et probablement bientôt chez la femme. Les études montrent que le dépistage par scanner thoracique à faible dose chez des fumeurs actifs ou anciens asymptomatiques diminue la mortalité par cancer bronchopulmonaire de 24 à 33 %. Le rapport bénéfice/risque est favorable à condition de respecter les critères d’éligibilité et les modalités de surveillance ultérieure (en cas de découverte d’un nodule). Que faire en MG ?

À lire ici : Zalcman G, Milleron B, Brosseau S. Dépistage organisé du cancer pulmonaire.  Rev Prat Med Gen 2024 ;38(1090) ;403 - 10.