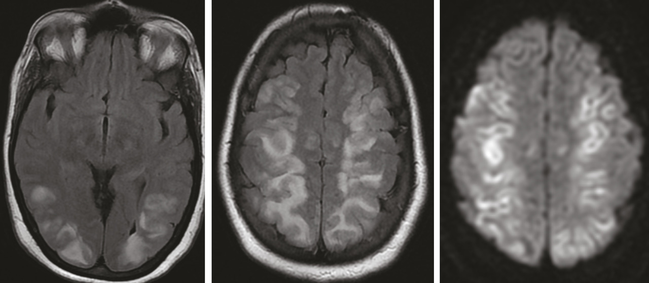
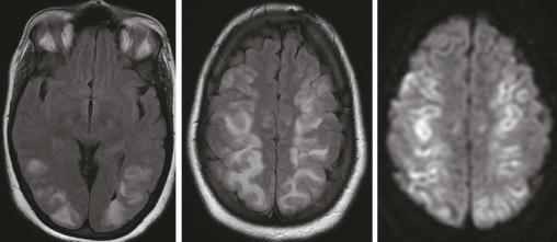
Cette femme de 36 ans avait une hypertension artérielle à 200/100 mmHg et une monoparésie du membre supérieur gauche post-critique, dans le cadre d’une toxémie gravidique. Une IRM encéphalique mettait en évidence des anomalies de signal cortico-sous-corticales et profondes, bilatérales et symétriques, prédominant aux lobes postérieurs, en iso- à hyposignal T1, hypersignal T2, Flair et diffusion avec un coefficient de diffusion apparent bas ; il n’y avait pas de prise de contraste après injection du gadolinium et pas d’anomalie de calibre des artères du polygone de Willis à l’analyse de la séquence d’angio-IRM en temps de vol (figure) . Le diagnostic était celui d’encéphalopathie postérieure probablement réversible. L’évolution était effectivement favorable, avec normalisation sous traitement de la pression artérielle. Deux mois plus tard, l’IRM montrait une disparition complète sans séquelles parenchymateuses cérébrales.
La leucoencéphalopathie postérieure réversible est une entité clinico-radiologique récemment individualisée.1 Les facteurs favorisant sa survenue sont dominés par les situations où il existe une élévation de la pression artérielle.1, 2 Les données de l’imagerie tomodensitométrique (TDM) et/ou par résonance magnétique (IRM), souvent caractéristiques, traduisent un œdème vasogénique. En TDM, l’atteinte est marquée par des hypodensités diffuses. En IRM, les lésions apparaissent en iso- ou hyposignal T1 et hypersignal T2 et Flair. L’imagerie de diffusion montre une augmentation du coefficient de diffusion. Il n’y a habituellement pas de rehaussement après injection de produit de contraste. Cette atteinte cortico-sous-corticale et profonde siège préférentiellement dans les régions postérieures (lobes pariétaux ou occipitaux dans 98 % des cas).3 L’évolution est généralement favorable sans séquelles sous traitement précoce et rapide visant à contrôler la pression artérielle et sa cause.4
La leucoencéphalopathie postérieure réversible est une entité clinico-radiologique récemment individualisée.1 Les facteurs favorisant sa survenue sont dominés par les situations où il existe une élévation de la pression artérielle.1, 2 Les données de l’imagerie tomodensitométrique (TDM) et/ou par résonance magnétique (IRM), souvent caractéristiques, traduisent un œdème vasogénique. En TDM, l’atteinte est marquée par des hypodensités diffuses. En IRM, les lésions apparaissent en iso- ou hyposignal T1 et hypersignal T2 et Flair. L’imagerie de diffusion montre une augmentation du coefficient de diffusion. Il n’y a habituellement pas de rehaussement après injection de produit de contraste. Cette atteinte cortico-sous-corticale et profonde siège préférentiellement dans les régions postérieures (lobes pariétaux ou occipitaux dans 98 % des cas).3 L’évolution est généralement favorable sans séquelles sous traitement précoce et rapide visant à contrôler la pression artérielle et sa cause.4
Références
1. Mohebbi Amolia M, Mégarbane B, Chabriat H. La leucoencéphalopathie postérieure réversible. Mise au point. Réanimation 2007;16:490-7.
2. Bonnaud I, Cottier JP. Syndrome d’encéphalopathie postérieure réversible. Cas clinique. Rev Neurol 2004;160:360-362E.
3. Hugonnet E, Da Ines D, Boby H, et al. Syndrome d’encéphalopathie postérieure réversible (EPR) : aspects en imagerie TDM et IRM. J Radiol Diagn Interv 2013;94:44-51.
4. Oumerzouk J, Jouehari A, Boulahri T, Hssaini Y, Bourazza A. Syndrome d’encéphalopathie postérieure réversible du postpartum. Feuill Radiol 2012;52:70-5.
2. Bonnaud I, Cottier JP. Syndrome d’encéphalopathie postérieure réversible. Cas clinique. Rev Neurol 2004;160:360-362E.
3. Hugonnet E, Da Ines D, Boby H, et al. Syndrome d’encéphalopathie postérieure réversible (EPR) : aspects en imagerie TDM et IRM. J Radiol Diagn Interv 2013;94:44-51.
4. Oumerzouk J, Jouehari A, Boulahri T, Hssaini Y, Bourazza A. Syndrome d’encéphalopathie postérieure réversible du postpartum. Feuill Radiol 2012;52:70-5.
Une question, un commentaire ?