L’endométriose, avec son cortège de symptômes douloureux (dysménorrhées, dyspareunies, douleurs pelviennes chroniques…), est une pathologie médiatisée depuis seulement quelques années. Pourtant, l’errance diagnostique pour les patientes est encore de 7 à 10 ans. Et, une fois le diagnostic posé, la prise en charge multidisciplinaire reste complexe.

Quand évoquer une endométriose, notamment chez l’adolescente, alors que dans cette tranche d’âge les dysménorrhées sont fréquentes ? Que peut faire le MG ? Quel bilan réaliser ? Quelle prise en charge initiale ? Quand faire appel à un spécialiste ? Quid du test salivaire ?

Une sélection d’articles pour la pratique.

À lire ici :

Martin Agudelo L. Test salivaire de l’endométriose : enfin disponible en France. Rev Prat (en ligne) 18 octobre 2024.

Poilblanc M, Bolze PA, Golfier F. Endométriose : bilan initial et prise en charge par le médecin généraliste.  Rev Prat Med Gen 2024 ;38(1088) ;281 - 3.

Poilblanc M, Bolze PA, Golfier F. Endométriose : physiopathologie et première approche diagnostique.  Rev Prat Med Gen 2024 ;38(1087) ;241 - 4.

Pérol S, Marcellin L. Endométriose : un tableau clinique polymorphe.  Rev Prat (en ligne) 21 mars 2023.

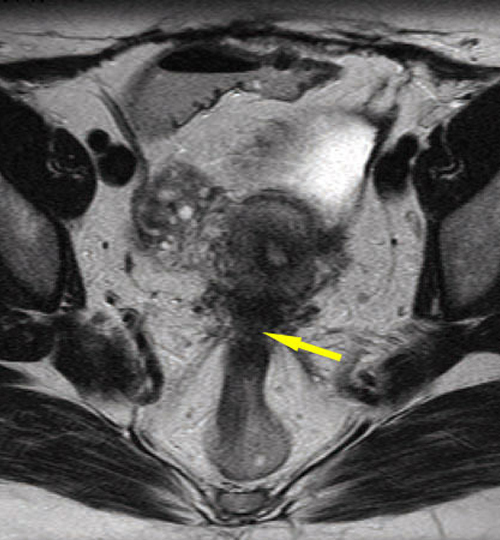
Carbonnel M, Legendri S, Trabelsi H, et al. Item 41. Endométriose. Rev Prat 2023 ;73(2) ;209 - 15.

Martin Agudelo L. Endométriose : une nouvelle option thérapeutique ?  Rev Prat (en ligne) 3 février 2023.

Mais L. L’endométriose digestive. Rev Prat 2022 ;72(2) ;193 - 7.

Wylomanski S, Adam J, de Parades V. Endométriose du périnée. Rev Prat Med Gen 2024 ;38(1092) ;535.