La découverte d’un épanchement pleural liquidien est une situation clinique fréquente. Suspecté par la symptomatologie (dyspnée et/ou douleur thoracique) et l’examen clinique (diminution ou disparition du murmure vésiculaire et matité), le diagnostic est confirmé par la radiographie de thorax.

Lorsque l’épanchement est bilatéral, il doit faire évoquer avant tout une surcharge volémique et, en premier lieu, une insuffisance cardiaque gauche. 

La prise en charge d’un épanchement pleural unilatéral est guidée par la tolérance clinique et par sa cause. Un épanchement mal toléré et/ou fébrile est une urgence thérapeutique et doit être évacué rapidement. La démarche diagnostique initiale repose sur un recueil précis des données cliniques, de la chronologie et sur l’analyse de la ponction pleurale exploratrice (aspect macroscopique, biochimie, cytologie et bactériologie). Il est nécessaire, dans bon nombre de cas, de prendre l’avis d’un pneumologue. En l’absence de diagnostic, une biopsie pleurale, éventuellement par voie chirurgicale, peut être requise.

Quand évoquer un épanchement pleural ?

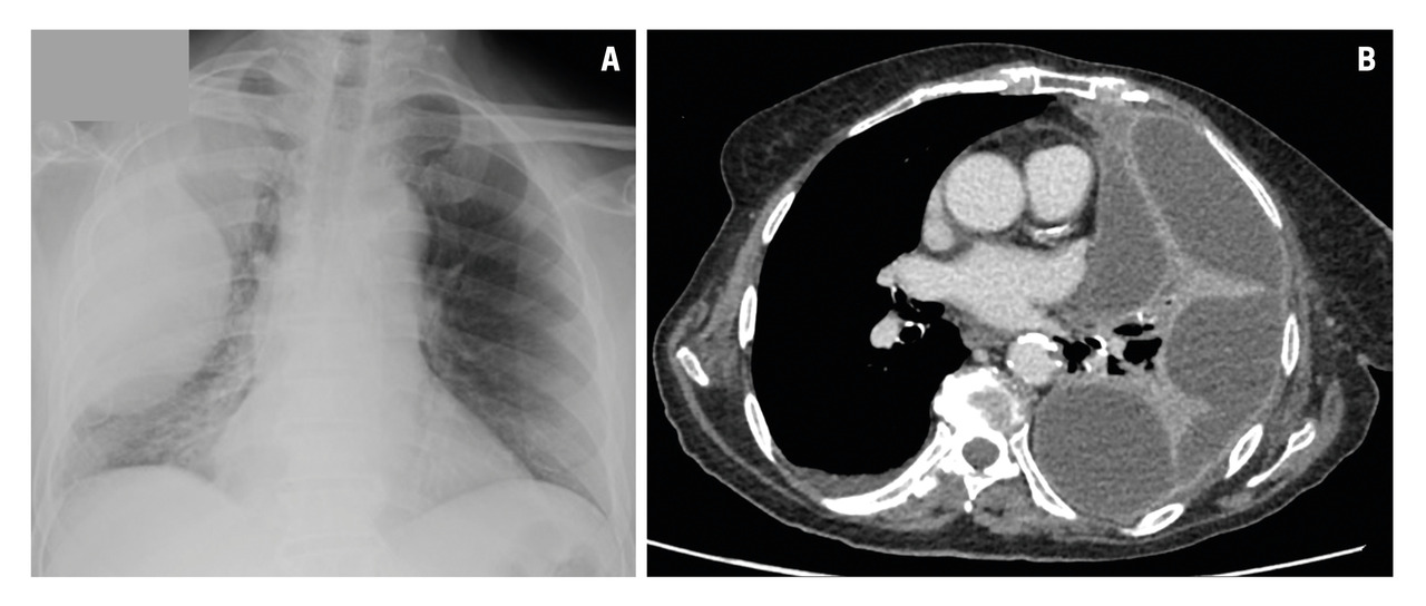
L’épanchement pleural liquidien peut être évoqué dans des circonstances particulières (tableaux 1 et 2) fondées sur la clinique, à l’occasion d’une douleur thoracique ou d’une dyspnée récente, d’un examen mettant en évidence une nette diminution, voire une abolition du murmure vésiculaire (le plus souvent en zone basale, mais parfois situé plus haut, en cas d’épanchement suspendu). Si l’échographie peut être utile, seule la radiographie thoracique permet le diagnostic : elle précise la localisation uni- ou bilatérale, basale ou enkystée, l’abondance, une compression éventuelle sur le médiastin ainsi que d’éventuelles lésions associées. Ces éléments sont fondamentaux pour éviter la réalisation d’examens inutiles et/ou potentiellement dangereux, notamment dans le cas d’un épanchement bilatéral, le plus souvent en lien avec une insuffisance cardiaque gauche. La radiographie thoracique ne permet pas toujours d’identifier une cause (aspect non spécifique), mais un épanchement suspendu ou multicloisonné (fig. 1) évoque en premier lieu une pleurésie infectieuse.

Il faut rechercher systématiquement un syndrome infectieux (fièvre, frissons) et, enfin, apprécier la tolérance clinique. Ces premiers éléments permettent d’orienter rapidement le patient vers un service d’urgence en cas de fièvre ou de mauvaise tolérance respiratoire, afin de réaliser une évacuation du liquide (ponction ou drainage).

Rechercher la cause

Exsudat ou transsudat, les causes des épanchements pleuraux liquidiens sont nombreuses (tableaux 1 et 2). En pratique, elles sont dominées par les pleurésies infectieuses (parapneumonique, empyème, tuberculose) et la pathologie tumorale (thoracique ou extrathoracique).1 

Pour le diagnostic étiologique, l’interrogatoire est primordial2 et doit débuter par le recueil des antécédents du patient, orientant vers des situations cliniques spécifiques (cancer connu, antécédents thromboemboliques, cirrhose hépatique, polyarthrite rhumatoïde, lupus, infection par le VIH, chirurgie abdominale récente, exposition à l’amiante, traumatisme thoracique…).

Il convient également d’établir la liste des traitements reçus et de vérifier leur imputabilité en s’aidant de la base Pneumotox (https ://www.pneumotox.com/). Les traitements fréquemment impliqués dans la survenue d’une pleurésie médicamenteuse sont l’acide valproïque, les inhibiteurs de tyrosine kinase, l’amiodarone, le méthotrexate, la nitrofurantoïne, les bêtabloquants, les antithyroïdiens de synthèse, mais aussi la radiothérapie.

La recherche d’une altération de l’état général, d’une hémoptysie, d’une ascite, d’adénopathies ou d’un point d’appel tumoral extrathoracique (notamment peau, sein, côlon, pancréas) complète cette enquête.

Ponction pleurale : l’examen clé

L’examen clé à réaliser devant un épanchement pleural confirmé radiologiquement est la ponction pleurale exploratrice. Elle est systématique, en dehors des épanchements de faible abondance ou lorsqu’un tableau de décompensation cardiaque gauche est évident.

Les troubles de l’hémostase ne sont pas une contre-indication absolue à la réalisation d’un geste pleural en cas d’urgence, notamment s’il existe une suspicion d’hémothorax, d’empyème ou si l’épanchement est mal toléré. Si le geste peut être différé, alors l’arrêt d’un anticoagulant, du clopidogrel ou la correction d’un trouble de l’hémostase doit être envisagé.3 

En pratique, la ponction pleurale est réalisée après repérage échographique et anesthésie locale à la xylocaïne.1 L’aspect du liquide (citrin, trouble, purulent, lactescent, hémorragique…) permet d’orienter le clinicien, mais n’est pas toujours spécifique. 

L’analyse biochimique (taux de protides et de lactate déshydrogénase [LDH]) du liquide pleural permet de distinguer un transsudat d’un exsudat à l’aide des critères de Light (tableau 3).4 La formule cytologique du liquide pleural est un élément important d’orientation, en particulier si l’épanchement est lymphocytaire (faisant évoquer en premier lieu une tuberculose ou un cancer) ou à prédominance de polynucléaires neutrophiles (évoquant alors un empyème ou un épanchement parapneumonique). La cytologie pleurale, analysée par un pathologiste, recherche des cellules tumorales ; elle est positive dans 30 à 60 % des cas de localisation pleurale d’un cancer.1 

En cas de pleurésie d’apparence infectieuse, l’ensemencement du liquide pleural sur des milieux de culture bactériologique permet d’identifier le germe en cause. Cette technique peut être sensibilisée par l’ensemencement sur flacon d’hémocultures aérobie et anaérobie et par la réalisation d’une PCR ou d’une antigénémie pneumocoque sur le liquide pleural. Dans le cas particulier d’une suspicion de tuberculose pleurale, l’examen direct est exceptionnellement positif, et la culture sur milieu de Löwenstein-Jensen est positive dans une minorité des cas.

Autres examens : se fonder sur l’orientation étiologique

D’autres examens plus spécifiques peuvent être envisagés, en fonction de l’orientation étiologique initiale : phénotypages lymphocytaires pleural et sanguin en cas de suspicion d’hémopathie lymphoïde, dosage de l’adénosine désaminase, PCR BK, dosage du taux de cholestérol et de triglycérides en cas de suspicion de chylothorax, dosage de l’amylase pleurale en cas de suspicion de pathologie pancréatique, recherche de facteur rhumatoïde…

En l’absence de diagnostic : que faire ?

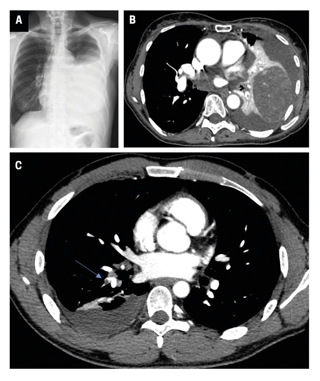
À la suite des examens de première intention, si le diagnostic reste méconnu, un scanner du thorax avec injection de produit de contraste est réalisé (fig. 2). Il permet de rechercher notamment une embolie pulmonaire, un rehaussement pleural nodulaire et une tumeur intra-thoracique.2  

La réalisation d’un TEP-scanner peut se discuter, à la recherche d’une cible tumorale.

En l’absence de diagnostic, il convient d’envisager une biopsie de la plèvre. Plusieurs techniques sont possibles : 

  • biopsies pleurales à l’aveugle avec une rentabilité diagnostique élevée pour la tuberculose pleurale (environ 80 %) mais fortement dépendante de l’expérience du clinicien.5 Sa rentabilité est moindre pour les autres diagnostics ;
  • biopsie sous scanner d’une lésion pleurale ou pulmonaire ; une fibroscopie ou une échoendoscopie bronchique peut être discutée en cas de lésion bronchique ou médiastinale accessible.

Enfin, une vidéothoracoscopie peut être réalisée pour le diagnostic et le traitement, en réalisant un accolement pleural dans le même temps opératoire. 

Au terme de ces examens, en l’absence de diagnostic, une surveillance est parfois proposée. En effet, on estime qu’environ 10 % des patients ayant un épanchement pleural considéré comme idiopathique développent un cancer dans les deux ans.6  

Encadre

Que dire à vos patients ? 

Un épanchement pleural confirmé par une radio de thorax impose, le plus souvent, la réalisation d’une ponction du liquide avec repérage échographique et anesthésie locale.

Après ces examens de première intention, si le diagnostic demeure incertain, un scanner thoracique avec injection peut être demandé.

En l’absence de diagnostic, une biopsie de la plèvre peut être nécessaire. En fonction du contexte on pourra réaliser : une biopsie à l’aveugle, une biopsie sous scanner ou une vidéothoracoscopie.

Enfin, si aucun diagnostic n’est posé, une surveillance est indispensable.

Références  
1. Hooper C, Lee YC, Maskell N, et al. Investigation of a unilateral pleural effusion in adults: British Thoracic Society Pleural Disease Guideline 2010. Thorax 2010;65 Suppl 2:ii4-17. 
2. Pastre J, Roussel S, Israel Biet D, et al. Orientation diagnostique et conduite à tenir devant un épanchement pleural. Rev Med Interne 2015;36(4):248-55.
3. Havelock T, Teoh R, Laws D, et al. Pleural procedures and thoracic ultrasound: British Thoracic Society Pleural Disease Guideline 2010. Thorax 2010; 65 Suppl 2:ii61-76.
4. Light RW, Macgregor MI, Luchsinger PC, et al. Pleural effusions: The diagnostic separation of transudates and exudates. Ann Intern Med 1972;77:507-13.
5. Diacon AH, Van de Wal BW, Wyser C, et al. Diagnostic tools in tuberculous pleurisy: A direct comparative study. Eur Respir J 2003;22:589e91.
6. Venekamp LN, Velkeniers B, Noppen M. Does ‘idiopathic pleuritis’ exist? Natu­ral history of non-specific pleuritis diagnosed after thoracoscopy. Respiration 2005;72:74e8.

Dans cet article

Ce contenu est exclusivement réservé aux abonnés
essentiel

La découverte d’un épanchement pleural liquidien est une situation clinique fréquente dont le principal diagnostic différentiel est l’insuffisance cardiaque gauche.

La symptomatologie (dyspnée et/ou douleur thoracique) et l’examen clinique (diminution, ou disparition, du murmure vésiculaire et matité) orientent vers un épanchement pleural liquidien.

Le diagnostic est posé par la radiographie du thorax et la cause est recherchée par la ponction pleurale.

Les causes principales d’un épanchement pleural sont infectieuses et tumorales.

En l’absence de cause retrouvée, une surveillance s’impose car environ 10 % des patients avec épanchement pleural idiopathique développeront un cancer dans les deux ans.