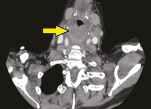
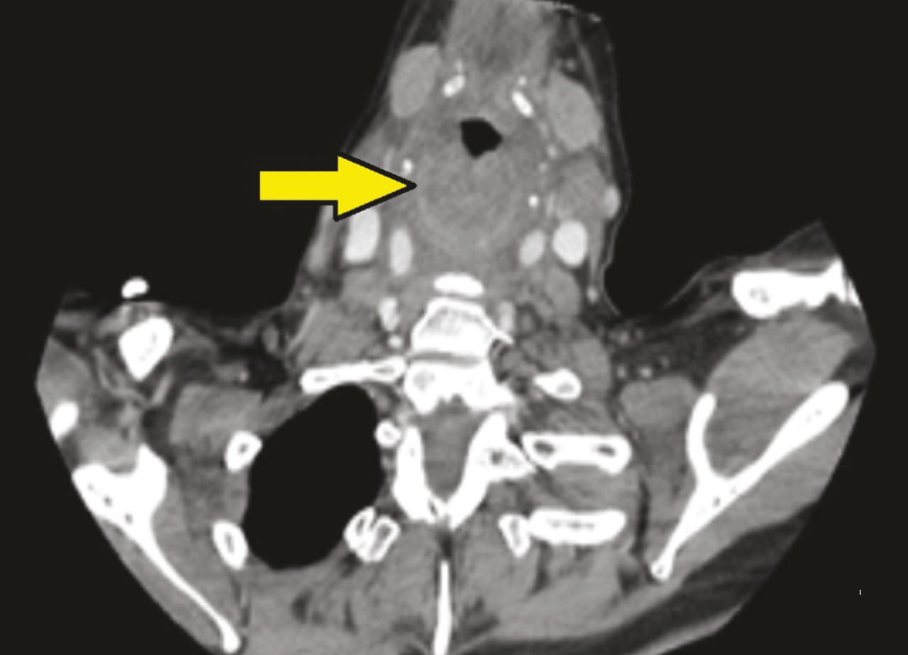
Une patiente de 56 ans se présente aux urgences avec un tableau fébrile à 39 °C évoluant depuis vingt-quatre heures, associant odynophagie et dyspnée. Elle est polypnéique à 25 cycles/min et désature à 89 %. Elle est assise, bouche ouverte avec une hypersialorrhée, dysphonique. La palpation cervicale est douloureuse, sans cellulite ni emphysème. L’ORL se déplace rapidement pour réaliser une nasofibroscopie, qui confirme le diagnostic d’épiglottite non abcédée. À sa demande, un scanner cervical injecté est réalisé sans allonger la patiente. Il retrouve un épaississement pariétal circonférentiel sténosant de la paroi laryngée responsable d’une réduction du calibre de la lumière laryngée d’environ 70 % (fig. 1 et 2 ).
L’épiglottite aiguë dans sa forme pédiatrique est devenue rare grâce à la vaccination anti-Haemophilus influenzae b (Hib). En revanche, l’incidence chez l’adulte est en augmentation. Les causes sont principalement bactériennes (streptocoques, Hib). Le tableau clinique est souvent moins bruyant que chez l’enfant, en raison du plus grand diamètre des voies aériennes supérieures (VAS), et il faut évoquer ce diagnostic devant une odynophagie intense sans pharyngite, ou une dysphagie.
La fibroscopie souple est l’examen de référence : elle confirme le diagnostic et évalue la gravité. Le scanner permet de rechercher les complications ou une atteinte associée. La gestion des VAS est l’enjeu principal, mais, contrairement à l’enfant, l’intubation n’est pas systématique (moins de 50 % des cas). L’intubation nasotrachéale vigile, guidée par nasofibroscopie souple, est la méthode de choix.
L’antibiothérapie intraveineuse est systématique, associant une céphalosporine de troisième génération et une molécule anti-anaérobie. Ni l’utilisation d’anti-inflammatoires systémiques ni l’aérosol-thérapie de corticoïdes ou d’adrénaline n’ont démontré leur efficacité. La surveillance s’effectue en milieu spécialisé ; l’évolution est en général favorable en quelques jours.1,2
La fibroscopie souple est l’examen de référence : elle confirme le diagnostic et évalue la gravité. Le scanner permet de rechercher les complications ou une atteinte associée. La gestion des VAS est l’enjeu principal, mais, contrairement à l’enfant, l’intubation n’est pas systématique (moins de 50 % des cas). L’intubation nasotrachéale vigile, guidée par nasofibroscopie souple, est la méthode de choix.
L’antibiothérapie intraveineuse est systématique, associant une céphalosporine de troisième génération et une molécule anti-anaérobie. Ni l’utilisation d’anti-inflammatoires systémiques ni l’aérosol-thérapie de corticoïdes ou d’adrénaline n’ont démontré leur efficacité. La surveillance s’effectue en milieu spécialisé ; l’évolution est en général favorable en quelques jours.1,2
Références
1. Dowdy RAE, Cornelius BW. Medical management of epiglottitis. Anesth Prog 2020;67(2):90 7.
2. Simon M, Cour M, Argaud L. Épiglottites aiguës sévères de l’adulte. Réanimation. Lavoisier;2016;25:S62-S68.
2. Simon M, Cour M, Argaud L. Épiglottites aiguës sévères de l’adulte. Réanimation. Lavoisier;2016;25:S62-S68.
Une question, un commentaire ?