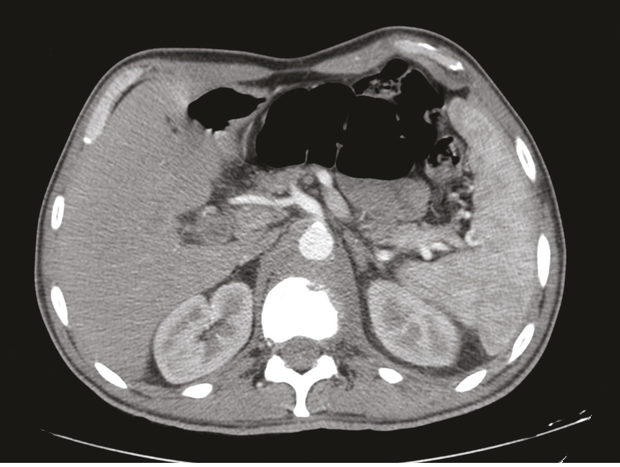
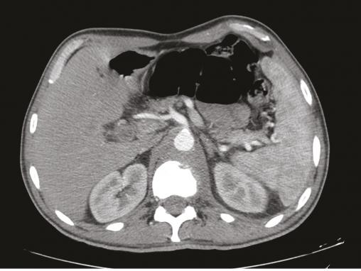
Cet homme de 53 ans consultait pour une douleur de la charnière dorsolombaire à irradiation antérieure, mal calmée par les antalgiques, avec un amaigrissement sans fièvre. L’examen clinique trouvait une raideur rachidienne et le bilan biologique montrait un syndrome inflammatoire. La tomodensitométrie (TDM) abdominale révélait une fibrose rétropéritonéale avec lyse de L1 (fig. 1 ). L’imagerie par résonance magnétique (IRM) montrait un aspect de fibrose rétropéritonéale secondaire, en hyposignal T1 et T2, se rehaussant après injection du gadolinium avec lyse de L1 (fig. 2 ). La tomographie par émission de positons au 18-fluorodésoxyglucose (TEP18-FDG) montrait un hypermétabolisme intense de L1 dont la biopsie scannoguidée révélait un granulome épithélio-giganto-cellulaire cadrant avec une tuberculose (fig. 3 ). Le patient était efficacement traité par les antibacillaires pendant 9 mois.
La fibrose rétropéritonéale est caractérisée par la présence d’un tissu fibro-inflammatoire aberrant engainant les gros vaisseaux et les uretères. À côté de la forme idiopathique, il existe des formes secondaires à des médicaments, à un anévrisme de l’aorte, à un cancer et aux infections.1 La biopsie est indiquée devant l’existence d’un tissu anormal entre l’aorte et les vertèbres avec déplacement antérieur des gros vaisseaux ou d’un en- vahissement des structures adjacentes.1 La TEP18-FDG per-met de déceler la présence d’un processus cancéreux ou infectieux accessible à la biopsie.1 La fibrose rétropéritonéale secondaire à la tuberculose est rare, les sites rapportés de tuberculose sont : le rachis, le rein et les ganglions.2 Les mécanismes de genèse de la fibrose pourraient être en rapport avec l’auto-immunité provoquée par la tuberculose.2
Figure 1. TDM, coupe axiale, fibrose rétropéritonéale refoulant l’aorte en avant avec lyse de L1.
Figure 1. TDM, coupe axiale, fibrose rétropéritonéale refoulant l’aorte en avant avec lyse de L1.
Références
1. Roy C, Labani A, Autrusseau PA. Imagerie des fibroses rétropéritonéales et pelviennes. EMC (Elsevier Masson SAS, Paris) Radiologie et imagerie médicale - génito-urinaire - gynéco-obstétricale – mammaire 34-290-A-10, 2018.
2. Greco P, Vaglio A, Corradi D, et al. Tuberculosis as a trigger of retroperitoneal fibrosis. Clinical Infectious Diseases 2005;41:e72-5.
2. Greco P, Vaglio A, Corradi D, et al. Tuberculosis as a trigger of retroperitoneal fibrosis. Clinical Infectious Diseases 2005;41:e72-5.
Une question, un commentaire ?