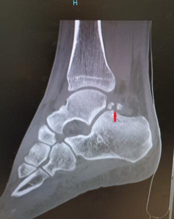
Miguel, 41 ans, consulte à la suite d’une chute mal réceptionnée dans le bassin d’un toboggan de parc aquatique. Depuis, il a une douleur avec impotence fonctionnelle du pied droit. À son arrivée au cabinet, il a une attitude antalgique avec claudication à droite. L’examen clinique révèle une douleur reproductible lors de la flexion plantaire et à la palpation du talon. Aucun trouble sensitif ni vasculaire n’est observé. Le mollet est souple et indolore, sans signe de Thompson. Un bilan radiographique est effectué, révélant la fracture d’un os trigone surnuméraire (fig. 1, flèche).

L’os trigone est un os dit surnuméraire situé derrière le talus (fig. 2). Il résulte de la non-fusion du versant postérieur du talus entre l’âge de 7 et 13 ans.1 Sa présence peut entraîner des douleurs à la flexion plantaire forcée, piégeant cet os entre le calcanéus et le tibia – c’est le syndrome de l’os trigone (fig. 3).2

Les fractures de l’os trigone sont rares, avec seulement 12 cas rapportés dans la littérature depuis 1927.1 Elles peuvent résulter de chutes ou de traumatismes survenus lors d’activités sportives comme le football ou la danse. 

Le diagnostic est souvent difficile, et les fractures non déplacées sont généralement confondues avec une entorse de la cheville, une tendinite péronière ou une tendinite d’Achille. Une radiographie normale n’exclut pas la pathologie ;1,3 un scanner ou une IRM est souvent nécessaire. Cette fracture se distingue des fractures de Cedell et de Cloquet-Shepherd, qui affectent les tubercules postérieurs du talus.4

Le traitement initial inclut l’immobilisation avec une attelle plâtrée pendant quatre à six semaines, associée à des antalgiques. Si les symptômes persistent, une excision chirurgicale peut être discutée.1,3 

Références 
1. Rungprai C, Maneeprasopchoke P, Steadman J, et al. Bilateral Os Trigonum Fracture Treated With Simultaneous Posterior Ankle Arthroscopy. JAAOS Global Research & Reviews 2024;8(2):e23.00237. 
2. Frances P, Varennes R, Botas P, et al. Syndrome de l’os trigone ou de la queue de l’astragale. Rev Prat Med Gen 2013;27:827.
3. Yücel B, Baytar S, Aydın A. Rare injury of the foot: Os trigonum fracture: A case report. Jt Dis Relat Surg 2020;31(3):626‑9. 
4.  Fouilland X, Imfeld C. Fracture de Cedell. Rev Prat 2023;73:658.
Pour en savoir plus
Marchetti M, Gillet M, Mimoz O. Syndrome de l’os trigone. Ann Fr Med Urgence 2016;6(5):336. 
Yan YY, Mehta KV, Tan TJ. Fracture of the os trigonum: A report of two cases and review of the literature. Foot and Ankle Surgery 2016;22(4):e21‑4. 
Guenot P, Romain H. Carrefour casse-pied. Prat Med Gen 2017;31:193.

Une question, un commentaire ?

promo