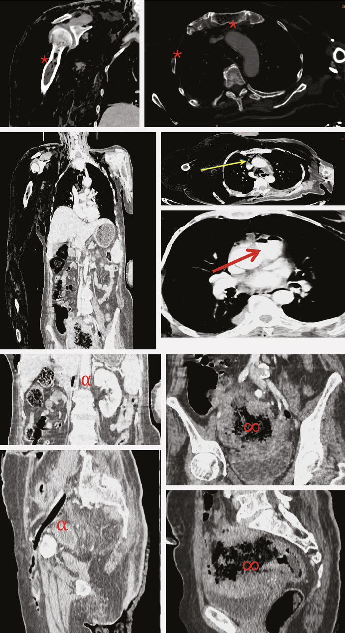
Une femme de 70 ans, diabétique, suivie pour un cancer du côlon depuis un an et demi, sous chimiothérapie, se plaint, depuis la veille de son admission aux urgences, de douleurs intenses au niveau du membre supérieur droit avec apparition de phlyctènes (fig. 1 ) ainsi qu’au niveau des jambes (fig. 2 ) et du torse. Cliniquement, la patiente est confuse, hypotendue, avec à la palpation des crépitations au niveau cervico-thoracique et au niveau du membre supérieur droit. Le bilan infectieux est positif, avec des globules blancs à 20 000/mm3 et une protéine C-réactive (CRP) à 432 mg/L. Un scanner cervico-thoraco-abdomino-pelvien et des membres avec injection est réalisé. Il montre un important emphysème disséquant des parties molles cutanées, sous-cutanées et musculaires des parois cervico-thoraco-abdominales ainsi que des deux membres supérieurs et du membre inférieur gauche, associé à un pneumomédiastin de moyenne abondance, une aéroportie, quelques bulles d’air au niveau du tronc des artères pulmonaires, de la veine cave inférieure, des veines iliaques commune et externe gauches et des veines fémorales homolatérales et en intra-osseux au niveau sternal, de la clavicule, de l’omoplate, des quatre premières côtes et de l’humérus droits (fig. 3 ). Le scanner montre également une embolie pulmonaire segmentaire lobaire moyenne et une occlusion totale de l’artère axillaire droite, sans reprise d’aval, ainsi que le processus tumoral sigmoïdien localement avancé déjà connu. Après parage des lésions du membre supérieur droit et inférieur gauche, la patiente est hospitalisée en unité de soins intensifs. L’hémoculture révèle la présence de Clostridium septicum. La patiente décède malheureusement seize heures après son admission.
La gangrène gazeuse se définit par une nécrose tissulaire avec production de gaz quel que soit le tissu atteint ou les germes anaérobies en cause. Il s’agit d’une affection grave, aboutissant inévitablement au décès du patient en l’absence de prise en charge rapide et adéquate.1 Elle survient généralement à la suite d’une plaie ou d’une chirurgie. Plus rarement, elle peut survenir dans un contexte atraumatique. Dans 80 % des cas, on retrouve une pathologie tumorale sous-jacente intéressant principalement le tube digestif, avec une nette prédominance des tumeurs coliques.2 Il a été prouvé, dans la littérature, qu’il existe une relation entre ces dernières et la bactériémie à Clostridium septicum. En effet, il s’agit d’une bactérie à Gram+, anaérobie et sporulée qui se multiplie dans un milieu acide et hypoxique induit par la tumeur et qui pénètre dans le sang à travers des altérations épithéliales provoquées également par le cancer,3 occasionnant une septicémie fulminante.4 Le scanner cervico-thoraco-abdominal est l’examen clé permettant d’orienter le diagnostic étiologique, d’apprécier l’extension des fusées gazeuses souvent inaccessibles à l’examen clinique et d’adapter ainsi le traitement chirurgical et de surveiller les lésions.1 La prise en charge thérapeutique doit être rapide ; elle consiste en un débridement chirurgical et un traitement médical adapté en unité de soins intensifs.
Références
1. Monneuse O, Gruner L, Barth X, Malick P, Timsit M, Gignoux B, et al. Gangrène gazeuse extensive révélant une pathologie digestive : sept observations. J Chir 2007;144(4):307-12.
2. Caron P, Tagan D. Gangrène gazeuse fulminante à Clostridium septicum. Ann Chir 2003;128(6):391-3.
3. Chirikian D, Awsare S, Fitzgibbon J, Lee L. Concurrent Clostridium septicum bacteremia and colorectal adenocarcinoma with metastasis to the brain. A case report. IDcases 2021;25:e01189.
4. Nanjappa S, Shah S, Pabbathi S. Clostridium septicum gas gangrene in colon cancer: Importance of early diagnosis. Case Rep Infect Dis 2015;2015:694247.
2. Caron P, Tagan D. Gangrène gazeuse fulminante à Clostridium septicum. Ann Chir 2003;128(6):391-3.
3. Chirikian D, Awsare S, Fitzgibbon J, Lee L. Concurrent Clostridium septicum bacteremia and colorectal adenocarcinoma with metastasis to the brain. A case report. IDcases 2021;25:e01189.
4. Nanjappa S, Shah S, Pabbathi S. Clostridium septicum gas gangrene in colon cancer: Importance of early diagnosis. Case Rep Infect Dis 2015;2015:694247.
Une question, un commentaire ?
Sur le même thème
Article Web