Les rhumatismes microcristallins – la goutte, la chondrocalcinose articulaire et le rhumatisme apatitique – résultent du dépôt intra- ou périarticulaire de microcristaux. Souvent sous-diagnostiquées ou insuffisamment traitées, ces pathologies sont un défi pour les médecins généralistes, tant sur le plan de leur reconnaissance clinique que de leur prise en charge thérapeutique. Tour d'horizon.

Les rhumatismes microcristallins se caractérisent par des dépôts intra-articulaires ou péri-articulaires de microcristaux, qui peuvent être asymptomatiques ou se manifester par des réactions inflammatoires articulaires ou péri-articulaires. On distingue quatre catégories :

  • cristaux d’urate monosodique responsables de la goutte ;
  • cristaux de pyrophosphate de calcium (PPC) responsables du rhumatisme à cristaux de PPC ;
  • cristaux d’apatite responsables du rhumatisme apatitique ;
  • cristaux rares (oxalate de calcium, cholestérol, cystine…).
 

Le diagnostic d’un accès inflammatoire microcristallin repose sur des signes cliniques et sur la présence de microcristaux (tableaux 1 et 2). Une recherche de microcristaux est recommandée sur tout liquide articulaire d’arthrite.Devant une monoarthrite aiguë, il faut aussi éliminer une arthrite septique (ponction articulaire). 

Goutte : en augmentation

Dû à la précipitation des cristaux d’urate dans les articulations, le tissu sous-­cutané (tophus) et le rein, c’est le rhumatisme inflammatoire intermittent le plus fréquent en France. La prévalence a augmenté dans le monde entier et est estimée à 1,4 % en Europe (0,9 % en France). Raisons possibles : une augmentation de l’espérance de vie, des comorbidités (maladies CV, HTA, syndrome métabolique), de l’utilisation de diurétiques et une modification de l’alimentation.

L’hyperuricémie (> 60 mg/L) est une cause nécessaire mais non suffisante de goutte(seuls 10 à 15 % des sujets hyper­uricémiques la développent). L’épisode initial de goutte peut survenir plusieurs dizaines d’années (de 20 à 30 ans) après le stade d’hyper­uricémie asymptomatique. 

Les principaux facteurs de risque sont : l’âge, le sexe masculin, les antécédents familiaux de goutte, la ménopause, le syndrome métabolique, les maladies CV (insuffisance coronaire, infarctus du myocarde), qui augmentent le risque de mortalité chez le goutteux, l’insuffisance rénale chronique, l’utilisation de diurétiques, les habitudes alimentaires et la consommation d’alcool.

La goutte aiguë débute le plus souvent par :

  • une monoarthrite aiguë, touchant de façon privilégiée les articulations distales des membres inférieurs, en particulier la première métatarso-phalangienne ;
  • une tendinite ou une tendinobursite aiguë.
 

La crise se caractérise par une douleur importante, un gonflement, une douleur à la palpation qui atteint son maximum en 6 à 12 h, avec un érythème évocateur (mais non spécifique). En cas de tableau typique, un diagnostic uniquement clinique est possible en médecine générale (cf. score de Nijmegen, tableau 3). L’accès non traité dure de cinq à dix jours ; il régresse habituellement sous AINS ou colchicine. 

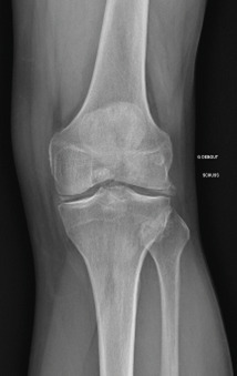
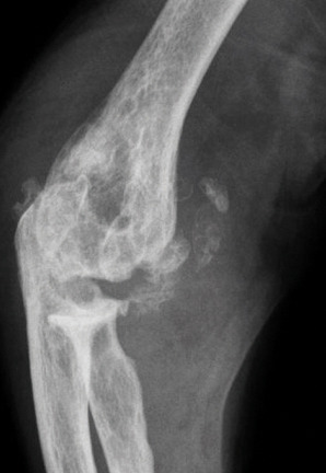
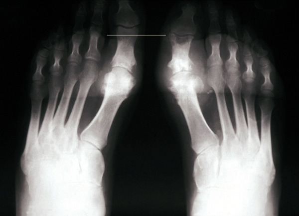
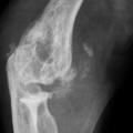
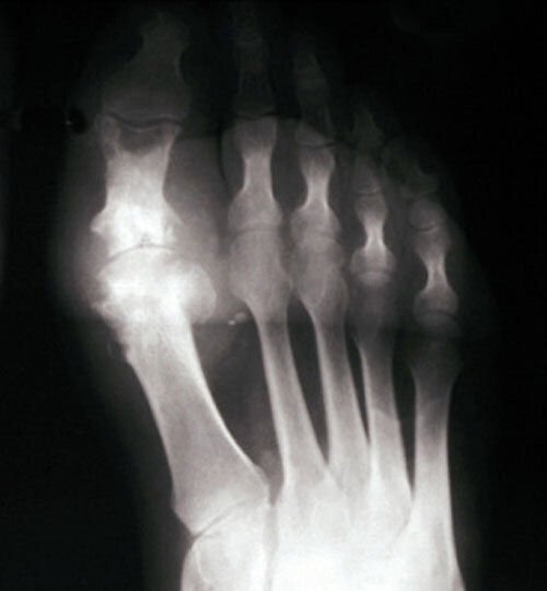
Le patient non traité par hypo-uricémiant peut développer une goutte polyarticulaire chronique caractérisée par des articulations douloureuses et gonflées en permanence, l’apparition de tophus (fig. 1) voire d’une arthropathie destructrice (fig. 2 et 3), et des manifestations rénales (lithiase rénale, le plus souvent uratique, néphropathie interstitielle …). 

Le traitement est indispensable dès le premier accès goutteux ; il permet de réduire de façon significative le risque de mortalité (notamment CV) des patients.

L’éducation thérapeutique a une place de choix dans la goutte, pathologie souvent mal comprise des patients. Les conseils diététiques et d’hygiène de vie sont incontournables : éviter alcools forts, bière (avec ou sans alcool), sodas sucrés (cola), jus de fruits riches en fructose. Le reste est affaire de modération (viandes, produits de la mer) et repose sur un régime équilibré. La consommation de lait et de vitamine C (jus d’orange) est à encourager. Il ne faut pas adopter un message trop culpabilisateur vis-à-vis du régime alimentaire, une part génétique importante expliquant le plus souvent la maladie.

Les comorbidités et les facteurs de risque tels que l’obésité +++, l’hyperlipidémie, l’HTA, l’hyperglycémie et le tabagisme doivent être pris en charge. Quand la goutte est associée à un traitement par diurétique, son arrêt est préférable si possible (sauf en cas d’IC de stades III et IV de la NYHA). Pour l’HTA et l’hyperlipidémie, préférer des molécules ayant un faible effet uricosurique (losartan, amlodipine, fénofibrate, atorvastatine). 

Traitement de la crise (accès) de goutte

La colchicine est efficace si administrée dans les 12 h depuis le début de la crise, à la dose de 1 mg (1 cp). Une 2e prise est possible à 0,5 mg (1/2 cp) une heure après. La diarrhée un signe de toxicité qui doit conduire à diminuer, voire arrêter, la colchicine. À partir du 2e jour, la colchicine est poursuivie à la dose de 0,5 mg, 2 ou 3 fois par jour jusqu’à cessation des signes locaux. 

Chez le sujet âgé ou en cas d’insuffisance rénale, les doses sont réduites : 0,5 mg/j pour une clairance de la créatinine entre 35 et 49 mL/min. La liste des interactions médicamenteuses avec la colchicine est impressionnante (consulter le RCP+++) : macrolides, ciclosporine, kétoconazole, diltiazem, vérapamil, statines et jus de pamplemousse ; sous antivitamine-K (AVK) : surveiller l’INR.

Les AINS peuvent être utilisés, sous réserve de respecter leurs CI (digestives, rénales et cardiovasculaires). L’immobilisation de l’articulation et son glaçage avec protection cutanée sont bénéfiques. 

La corticothérapie orale est une alternative : elle doit être prescrite précocement, à la dose de 30 à 35 mg/j durant trois à cinq jours (prednisone). Les infiltrations doivent être privilégiées en cas de mono- ou biarthrite. La prise en charge des crises est résumée dans l’algorithme ci-contre (fig. 4).

Traitement de fond 

Le traitement hypo-uricémiant est le seul moyen d’obtenir la dissolution des cristaux d’urate, permettant une guérison. Ainsi, il est indiqué pour tout patient goutteux, dès la première criseconfirméede goutte (mais non d’hyperuricémie asymptomatique). La valeur cible (uricémie) du traitement doit être < 60 mg/L ou 360 mmol/L, voire, si possible, < 50 mg/L (300 mmol/L). Une fois la cible atteinte, le traitement est maintenu, et l’uricémie contrôlée 1 à 2 fois par an.

Pour prévenir le risque de crise de goutte paradoxale à l’instauration du traitement hypo-uricémiant, on recommande une titration progressive de ce dernier et une prophylaxie de la crise (colchicine de 0,5 à 1 mg ou AINS pendant environ 6 mois, idéalement jusqu’à l’atteinte de l’uricémie cible). 

L’allopurinol est à privilégier si le DFG est > 60 mL/min. En cas d’éruption cutanée ou d’autres signes d’hypersensibilité (atteinte des muqueuses [oculaire, buccale ou génitale], fièvre, adénopathies, éruption cutanée), l’allopurinol doit être immédiatement arrêté et un avis médical doit être pris (risque de DRESS). Le fébuxostat est privilégié en cas de DFG < 30 mL/min. Le traitement de fond est résumé dans l’algorithme ci-contre (fig. 5).

Rhumatisme à cristaux de pyrophosphate de calcium (PPC) : le grand simulateur

Caractérisé par la présence de dépôts intra-articulaires ou périarticulaires de cristaux de pyrophosphate de calcium, il peut revêtir quatre phénotypes : 

  • forme asymptomatique (la plus fréquente) : chondrocalcinose (dépôts calciques radiologiques à la surface des cartilages ou dans les fibrocartilages) ;
  • arthrite aiguë microcristalline (appelée autrefois pseudogoutte) ;
  • arthrites chroniques à PPC (pouvant mimer une polyarthrite rhumatoïde à début tardif ou une pseudopolyarthrite rhizomélique) ;
  • arthropathies destructrices et liées à l’arthrose.
 

La fréquence des dépôts de PPC visibles radiologiquement augmente avec l’âge. Le rhumatisme à PPC est rare avant 55 ans. Chez les sujets jeunes (< 55 ans) ou dans les formes sévères, il faut chercher :

  • une forme familiale (génétique) ;
  • une forme secondaire à une hyperparathyroïdie, une hémochromatose génétique, une hypomagnésémie ou une hypophosphatasie génétique (tableau 4).
 

Le rhumatisme à PPC est un grand simulateur, prenant le masque d’une mono- ou polyarthropathie périphérique et/ou axiale, mécanique ou inflammatoire, aiguë ou chronique, d’une arthropathie rapidement destructrice, d’une hémarthrose ou d’affections abarticulaires. La mise en évidence de cristaux de pyrophosphate de calcium dans le liquide synovial ou les tissus est donc essentielle pour confirmer le diagnostic. 

L’arthrite à PPC est la cause la plus fréquente d’arthrite aiguë chez le sujet âgé. Sa survenue est souvent inexpliquée mais peut intervenir après un traumatisme, un AVC, une intervention chirurgicale (parathyroïdectomie), une prise de diurétiques ou bisphosphonates. 

Elle se manifeste par une monoarthrite (le plus souvent du genou ou du poignet) ou par une oligoarthrite volontiers additive en quelques jours. Une arthrite de début soudain, atteignant son maximum en 6 à 24 heures, avec rougeur cutanée en regard, chez un patient de plus de 65 ans, est évocatrice. Le diagnostic de certitude requiert une mise en évidence des cristaux de PPC, mais si cette dernière n’est pas possible, on peut utiliser un score composite de probabilité critères cliniques, biologiques et radiologiques (mise en évidence de dépôts calciques sur radiographie, échographie ou scanner). Les diagnostics alternatifs, notamment infectieux, doivent être systématiquement recherchés (tableau 5). Le traitement inclut :

  • une mise au repos de l’articulation, une application de glace ainsi qu’une ponction-évacuation de l’articulation, puis infiltration cortisonée de l’articulation ;
  • AINS per os (+ protecteur gastrique) ou petites doses de colchicine (0,5 mg, 2 ou 3 fois par jour) ;
  • prednisone per os 30 mg/j pendant 48 h : efficacité similaire à celle de la colchicine (étude COLCHICORT 2022) et meilleure tolérance.
 

Le traitement prophylactique de la récidive repose sur de petites doses de colchicine (de 0,5 à 1 mg/j) ou d’AINS.

La forme pseudorhumatoïde est rare (5 %), simulant une polyarthrite rhumatoïde (diagnostic différentiel), avec parfois des signes systémiques d’inflammation (élévation de la vitesse de sédimentation et de la CRP). Le diagnostic repose sur la mise en évidence des cristaux de PPC. La radio peut mettre en évidence des calcifications des cartilages articulaires (fig. 6) et des fibrocartilages (fig. 7, 8, 9 et 10). L’échographie (plus sensible) peut mettre en évidence des dépôts de PPC, qui apparaissent comme une fine bande hyperéchogène au sein des cartilages hyalins et comme des points scintillants dans les fibrocartilages ou dans la membrane synoviale. Dans l’arthrite chronique à PPC, lespossibilités thérapeutiques sont, par ordre de préférence : colchicine (de 0,5 à 1 mg/j), petites doses de cortisone, parfois les AINS per os (mais leur prescription est souvent limitée par les comorbidités chez les patients âgés), méthotrexate et l’hydroxychloroquine. Il n’y a pas aujourd’hui de traitement « de fond », mais des molécules sont à l’étude. 

L’arthrose associée aux dépôts de PPC touche en particulier les genoux, avec une symptomatologie chronique et/ou des accès aigus cristallins. Par comparaison avec l’arthrose idiopathique, elle serait à l’origine d’une symptomatologie plus inflammatoire, toucherait des articulations inhabituelles (radiocarpienne, carpienne, gléno-humérale, médio-pied et arrière-pied, cheville) et serait associée à plus d’ostéophytes et de géodes. Cette arthropathie dégénérative peut s’accompagner de lésions structurales sévères avec disparition rapide de l’interligne (arthropathies destructrices : hanches, genoux, poignets, coudes). Les objectifs et les modalités thérapeutiques sont identiques à ceux d’une arthrose idiopathique. Aucun traitement ne permet la dissolution des cristaux de PPC. 

Rhumatisme apatitique

Lié à des dépôts de phosphate de calcium basique, sa prévalence est maximale chez les femmes d’âge moyen, les calcifications étant le plus souvent asymptomatiques. L’épaule est la localisation la plus fréquente (60 %), suivie de la hanche, du coude et du poignet.

La formation de dépôts de phosphate de calcium basique peut être favorisée par :

  • une élévation du produit phosphocalcique comme dans l’insuffisance rénale terminale et l’intoxication à la vitamine D ;
  • des facteurs génétiques lorsque les calcifications sont multiples ;
  • des microtraumatismes, une hypovascularisation expliquant la dégénérescence calcique de l’insertion des tendons de la coiffe des rotateurs, en particulier le supra-épineux.
 

Formes cliniques :

  • tendinopathies calcifiantes : les calcifications apatitiques, typiquement denses, arrondies, homogènes, peuvent induire une réaction inflammatoire responsable d’un accès aigu (épaule ou hanche hyperalgique) entraînant une impotence fonctionnelle à début brutal, parfois dans un contexte fébrile simulant une arthrite septique. Elles peuvent disparaître après l’accès aigu et devenir polylobées et hétérogènes sur la radiographie. Les douleurs peuvent être aussi chroniques (tendinopathie calcifiante de la coiffe des rotateurs) ;
  • arthrites à phosphate de calcium basique  : rares, de diagnostic difficile, car les cristaux ne sont pas visibles en microscopie optique, nécessitant une coloration spéciale (rouge alizarine). Elles ressemblent à la goutte et aux arthrites à PPC.
 

Les crises aiguës sont traitées par AINS, corticothérapie en cure courte (de 20 à 30 mg/j) ou encore par injections locales de corticoïdes. La colchicine peut être utile pour réduire la fréquence des crises. La persistance de calcifications symptomatiques peut nécessiter, notamment au niveau de l’épaule, une ponction-­trituration-lavage, une exérèse arthroscopique ou des séances d’ondes de choc extracorporelles.

D'après
Chotard E, Guggenbuhl P. Item 198. Arthropathies microcristallines. Rev Prat 202575(5);555-68.
Martin Agudelo L. Goutte : bien prescrire le traitement de fond (recos).  Rev Prat (en ligne) 22 octobre 2024.
Nobile N. Goutte : une prise en charge simplifiéeRev Prat (en ligne) 22 avril 2022.
Mallordy F. Goutte : un surrisque CV après les crises. Rev Prat (en ligne) 12 septembre 2022.

Dans cet article

Ce contenu est exclusivement réservé aux abonnés