Une patiente âgée de 90 ans consulte aux urgences pour des douleurs abdominales intenses accompagnées de diarrhées liquidiennes et sans fièvre, évoluant depuis quatre jours, ainsi que des vomissements de contenu noirâtre et nauséabond depuis la veille. Elle a pour unique antécédent une hernie inguinale droite ancienne réductible et non opérée.
Les paramètres vitaux sont les suivants : température à 37,1 °C, pression artérielle à 135/68 mmHg, fréquence cardiaque à 95 batt/min. À l’examen clinique, elle présente un vomissement fécaloïde très abondant motivant la pose immédiate d’une sonde nasogastrique en aspiration douce. L’abdomen est dépressible mais sensible dans son ensemble sans douleur élective à la palpation, avec un météorisme abdominal et un tympanisme à la percussion ; les bruits hydroaériques sont conservés et le toucher rectal retrouve des selles molles, sans rectorragie.
Le bilan biologique met en évidence un syndrome inflammatoire marqué, avec une hyperleucocytose à polynucléaires neutrophiles (PNN) [leucocytes : 22,80 G/L ; PNN : 20,60 G/L] mais une protéine C-réactive (PCR) normale à 9 mg/L, une hyperkaliémie modérée à 5 mmol/L sans signe à l’électrocardiogramme et des lactates artériels à 2,5 mmol/L. La lipasémie est normale et il n’y a pas de cytolyse hépatique ni de cholestase.
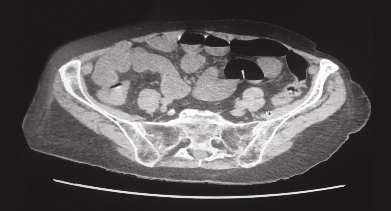
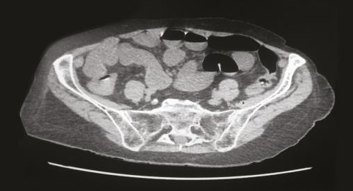
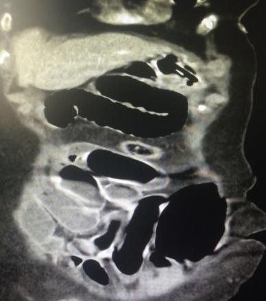
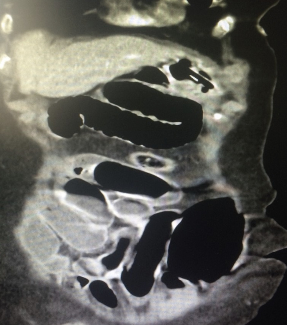
Devant ce tableau fortement évocateur d’un syndrome occlusif, le scanner abdominopelvien injecté par produit de contraste iodé met en évidence un syndrome occlusif grêlique sur un iléus réflexe dû à une appendicite aiguë incarcérée dans une hernie inguinale droite directe, avec distension et stase liquidienne de toutes les anses grêles en amont et de l’estomac, sans signe de souffrance pariétale digestive (fig. 1 et 2).
La patiente bénéficie d’une appendicectomie et d’une cure de hernie inguinale droite par laparotomie, suivie d’une bi-antibiothérapie probabiliste par ceftriaxone 1 g et métronidazole 500 mg, trois fois par jour. L’évolution clinique est favorable.
Les paramètres vitaux sont les suivants : température à 37,1 °C, pression artérielle à 135/68 mmHg, fréquence cardiaque à 95 batt/min. À l’examen clinique, elle présente un vomissement fécaloïde très abondant motivant la pose immédiate d’une sonde nasogastrique en aspiration douce. L’abdomen est dépressible mais sensible dans son ensemble sans douleur élective à la palpation, avec un météorisme abdominal et un tympanisme à la percussion ; les bruits hydroaériques sont conservés et le toucher rectal retrouve des selles molles, sans rectorragie.
Le bilan biologique met en évidence un syndrome inflammatoire marqué, avec une hyperleucocytose à polynucléaires neutrophiles (PNN) [leucocytes : 22,80 G/L ; PNN : 20,60 G/L] mais une protéine C-réactive (PCR) normale à 9 mg/L, une hyperkaliémie modérée à 5 mmol/L sans signe à l’électrocardiogramme et des lactates artériels à 2,5 mmol/L. La lipasémie est normale et il n’y a pas de cytolyse hépatique ni de cholestase.
Devant ce tableau fortement évocateur d’un syndrome occlusif, le scanner abdominopelvien injecté par produit de contraste iodé met en évidence un syndrome occlusif grêlique sur un iléus réflexe dû à une appendicite aiguë incarcérée dans une hernie inguinale droite directe, avec distension et stase liquidienne de toutes les anses grêles en amont et de l’estomac, sans signe de souffrance pariétale digestive (fig. 1 et 2).
La patiente bénéficie d’une appendicectomie et d’une cure de hernie inguinale droite par laparotomie, suivie d’une bi-antibiothérapie probabiliste par ceftriaxone 1 g et métronidazole 500 mg, trois fois par jour. L’évolution clinique est favorable.
Références
1. Inan I. Appendicite aiguë atypique : hernie de Amyand. Rev Med Suisse 2003;61(2442):1319-21.
2. Malayeri AA, Siegelman SS. Amyand’s hernia. N Engl J Med 2011;364(22):2147.
3. Weinandt M, Luinacci R, Faron M, et al. Le syndrome d’Amyand: une présentation rare de l’appendicite. J Chir Viscerale 2014;151(4, Supp):A32.
4. da Fonseca-Neto OCL, Lucena RC de C, Lacerda CM. Amyand’s hernia: inguinal hernia with acute appendicitis. Arq Bras Cir Dig 2014;27(4):309-10.
5. Barillaro I, Di Patrizi MS, Boccolini A, et al. A rare case of Amyand’s hernia in a 67-year-old male. A case report and review of the literature. Ann Ital Chir 2015;86(ePub):S2239253X15023907.
6. Joshi J, Mallik E, Ahmed T, et al. Left sided Amyand hernia. A case report. Int J Surg Case Rep 2022;96:107374.
7. Singal R, Gupta S. Amyand’s hernia. Pathophysiology, role of investigations and treatment. Maesica 2011;6(4):321-7.
8. Losanoff JE, Basson MD. Amyand hernia:a classification to improve management. Hernia 2008;12(3):325-6
2. Malayeri AA, Siegelman SS. Amyand’s hernia. N Engl J Med 2011;364(22):2147.
3. Weinandt M, Luinacci R, Faron M, et al. Le syndrome d’Amyand: une présentation rare de l’appendicite. J Chir Viscerale 2014;151(4, Supp):A32.
4. da Fonseca-Neto OCL, Lucena RC de C, Lacerda CM. Amyand’s hernia: inguinal hernia with acute appendicitis. Arq Bras Cir Dig 2014;27(4):309-10.
5. Barillaro I, Di Patrizi MS, Boccolini A, et al. A rare case of Amyand’s hernia in a 67-year-old male. A case report and review of the literature. Ann Ital Chir 2015;86(ePub):S2239253X15023907.
6. Joshi J, Mallik E, Ahmed T, et al. Left sided Amyand hernia. A case report. Int J Surg Case Rep 2022;96:107374.
7. Singal R, Gupta S. Amyand’s hernia. Pathophysiology, role of investigations and treatment. Maesica 2011;6(4):321-7.
8. Losanoff JE, Basson MD. Amyand hernia:a classification to improve management. Hernia 2008;12(3):325-6
Une question, un commentaire ?