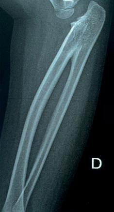
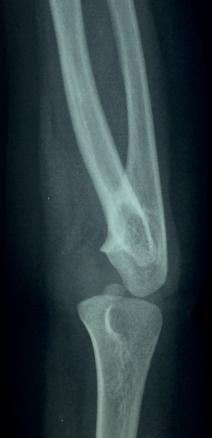
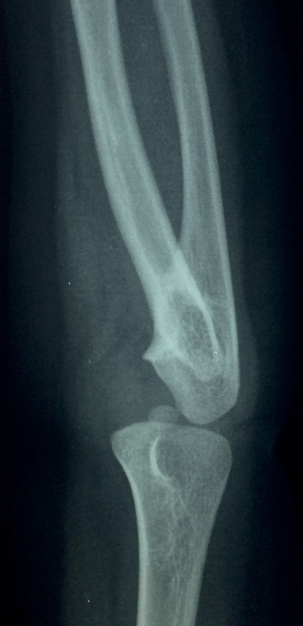
À la radiographie de l’avant-bras et du coude : fusion des parties proximales de radius et de l’ulna (fig. 1 et 2).
L’avis orthopédique confirme la synostose radio-ulnaire. La gêne fonctionnelle peu marquée et l’âge de découverte orientent la décision vers une simple surveillance.
Un protocole d’accueil personnalisé (PAP) est élaboré pour l’école avec adaptation de la prise du stylo et des activités sportives.
L’avis orthopédique confirme la synostose radio-ulnaire. La gêne fonctionnelle peu marquée et l’âge de découverte orientent la décision vers une simple surveillance.
Un protocole d’accueil personnalisé (PAP) est élaboré pour l’école avec adaptation de la prise du stylo et des activités sportives.
discussion
La synostose radio-ulnaire congénitale, avec fusion plus ou moins complète des épiphyses proximales du radius et de l’ulna, est une affection rare : environ 350 cas recensés dans la littérature. Elle est bilatérale dans 60 % des cas, et prédomine chez les hommes (3 pour 2 femmes).
Parfois associée à d’autres malformations (aplasie du pouce), voire aux syndromes de Carpenter, d’Apert ou de Klinefelter, elle correspond à un défaut de séparation embryonnaire des os vers la cinquième semaine de développement. Le pont cartilagineux s’ossifie et fixe l’avant-bras en pronation. Les muscles supinateurs et pronateurs sont anormaux ou absents, la membrane interosseuse épaissie. La tête radiale peut être hypoplasique, luxée ou absente, et l’épiphyse ulnaire distale déformée.
L’origine génétique est évoquée lors de cas familiaux avec transmission autosomique dominante à expression variable.
Le diagnostic est le plus souvent tardif, vers l’âge de 6 ans. La supination limitée est souvent compensée par l’épaule et le poignet comme pour Pauline. Une amyotrophie de l’avant-bras est possible. Lorsque la synostose s’associe à une luxation de la tête humérale, l’extension du coude peut être compromise avec un flexum modéré.
Le traitement dépend de la gêne fonctionnelle. Sévérité, caractère bilatéral de la déformation et principalement âge de l’enfant orientent la décision. Un avis chirurgical se justifie à partir de 60° de pronation, sans que cette limite soit formelle.
La chirurgie doit être proposée avant toute attitude vicieuse, classiquement vers 5-6 ans. Mais elle n’est généralement pas choisie car les bénéfices escomptés justifient rarement le risque opératoire (troubles vasculo-nerveux, syndrome de loges). Elle consiste en une ostéotomie de dérotation de l’avant-bras.
Un bilan par un ergothérapeute évalue le retentissement de la malformation sur les actes de la vie quotidienne et adapte les activités. Il permet la mise en place d’aides techniques le cas échéant et le calcul de la position optimale de repositionnement chirurgical (degré de rotation compensatrice spontanée du poignet).
La synostose radio-ulnaire majore le risque de fracture de l’avant-bras et de subluxation symptomatique à l’adolescence, notamment lorsque qu’une hypoplasie de la tête radiale est associée. l
Parfois associée à d’autres malformations (aplasie du pouce), voire aux syndromes de Carpenter, d’Apert ou de Klinefelter, elle correspond à un défaut de séparation embryonnaire des os vers la cinquième semaine de développement. Le pont cartilagineux s’ossifie et fixe l’avant-bras en pronation. Les muscles supinateurs et pronateurs sont anormaux ou absents, la membrane interosseuse épaissie. La tête radiale peut être hypoplasique, luxée ou absente, et l’épiphyse ulnaire distale déformée.
L’origine génétique est évoquée lors de cas familiaux avec transmission autosomique dominante à expression variable.
Le diagnostic est le plus souvent tardif, vers l’âge de 6 ans. La supination limitée est souvent compensée par l’épaule et le poignet comme pour Pauline. Une amyotrophie de l’avant-bras est possible. Lorsque la synostose s’associe à une luxation de la tête humérale, l’extension du coude peut être compromise avec un flexum modéré.
Le traitement dépend de la gêne fonctionnelle. Sévérité, caractère bilatéral de la déformation et principalement âge de l’enfant orientent la décision. Un avis chirurgical se justifie à partir de 60° de pronation, sans que cette limite soit formelle.
La chirurgie doit être proposée avant toute attitude vicieuse, classiquement vers 5-6 ans. Mais elle n’est généralement pas choisie car les bénéfices escomptés justifient rarement le risque opératoire (troubles vasculo-nerveux, syndrome de loges). Elle consiste en une ostéotomie de dérotation de l’avant-bras.
Un bilan par un ergothérapeute évalue le retentissement de la malformation sur les actes de la vie quotidienne et adapte les activités. Il permet la mise en place d’aides techniques le cas échéant et le calcul de la position optimale de repositionnement chirurgical (degré de rotation compensatrice spontanée du poignet).
La synostose radio-ulnaire majore le risque de fracture de l’avant-bras et de subluxation symptomatique à l’adolescence, notamment lorsque qu’une hypoplasie de la tête radiale est associée. l
pour en savoir plus
– Rizzo R, Pavone V, Corsello G, et al. Autosomal dominant and sporadic radio-ulnar synostosis. Am J Med Genet 1997;68:127-34.
– Société française d'orthopédie pédiatrique. Synostose radio-ulnaire supérieure. http://bit.ly/2nijgeq
– Mal-Lawane M, Belouadah M, Lefort G, Daoud S. Ostéotomies percutanées de dérotation de l’avant-bras dans les synostoses radio-ulnaires congénitales de l’enfant. Rev Chir Orthop Reparatrice App Mot 2005;91:719-23
– Cleary JE, Omer GE. Congenital proximal radio-ulnar synostosis. Natural history and functional assessment. J Bone Joint Surg Am 1985;67:539-45.
– Mathieu L, Ollat D, Versier G. Fracture des deux os de l’avant-bras sur synostose radio-ulnaire congénitale: À propos d’un cas. Rev Chir Orthop Reparatrice Appar Mot 2007;93:511-4.
– Société française d'orthopédie pédiatrique. Synostose radio-ulnaire supérieure. http://bit.ly/2nijgeq
– Mal-Lawane M, Belouadah M, Lefort G, Daoud S. Ostéotomies percutanées de dérotation de l’avant-bras dans les synostoses radio-ulnaires congénitales de l’enfant. Rev Chir Orthop Reparatrice App Mot 2005;91:719-23
– Cleary JE, Omer GE. Congenital proximal radio-ulnar synostosis. Natural history and functional assessment. J Bone Joint Surg Am 1985;67:539-45.
– Mathieu L, Ollat D, Versier G. Fracture des deux os de l’avant-bras sur synostose radio-ulnaire congénitale: À propos d’un cas. Rev Chir Orthop Reparatrice Appar Mot 2007;93:511-4.
Une question, un commentaire ?