Une femme de 55 ans consulte pour un « relief » périanal indolore, mais qui l’inquiète. L’examen clinique montre une tuméfaction proche de la marge anale (fig. 1).

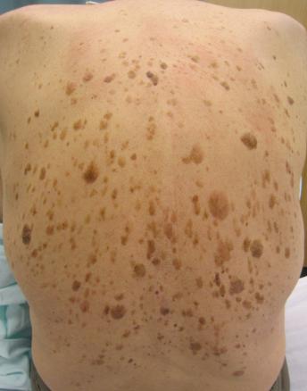
La kératose séborrhéique est une tumeur cutanée bénigne. Elle est très fréquente chez le sujet âgé, sans prédominance de sexe. Sa cause n’est pas claire, mais des mutations génétiques ont été identifiées pour certains types. L’aspect habituel est celui d’une lésion de couleur brune ou noire, de taille et forme variables, plus ou moins exophytique, apparaissant alors comme « posée sur la peau », souvent multiple, siégeant volontiers au niveau du visage, notamment les tempes, du cuir chevelu, du cou, du tronc (fig. 2) et des membres. La localisation anale ou périanale est exceptionnelle.

Les diagnostics différentiels sont nombreux : condylome, nævus bénin, mélanome, carcinome basocellulaire, maladie de Bowen, carcinome épidermoïde… L’analyse histologique permet le diagnostic formel.

Le traitement n’est pas indispensable en l’absence de gêne et de diagnostic confirmé ; dans le cas contraire, il repose sur l’exérèse ou la destruction par cryothérapie ou électrocoagulation. 

Pour en savoir plus 
Wollina U, Chokoeva A, Tchernev G, Heinig B, Schönlebe J. Anogenital giant ­seborrheic keratosis. G Ital Dermatol Venereol 2017;152:383-6.
Gorai S, Ahmad S, Raza SSM, et al. Update of pathophysiology and treatment ­options of seborrheic keratosis. Dermatol Ther 2022;35:e15934.

Une question, un commentaire ?

promo