Une femme de 35 ans consulte pour une « boule » périanale gênante. L’examen clinique met en évidence une tuméfaction sous-cutanée au niveau de la partie supérieure du pli interfessier (fig. 1).

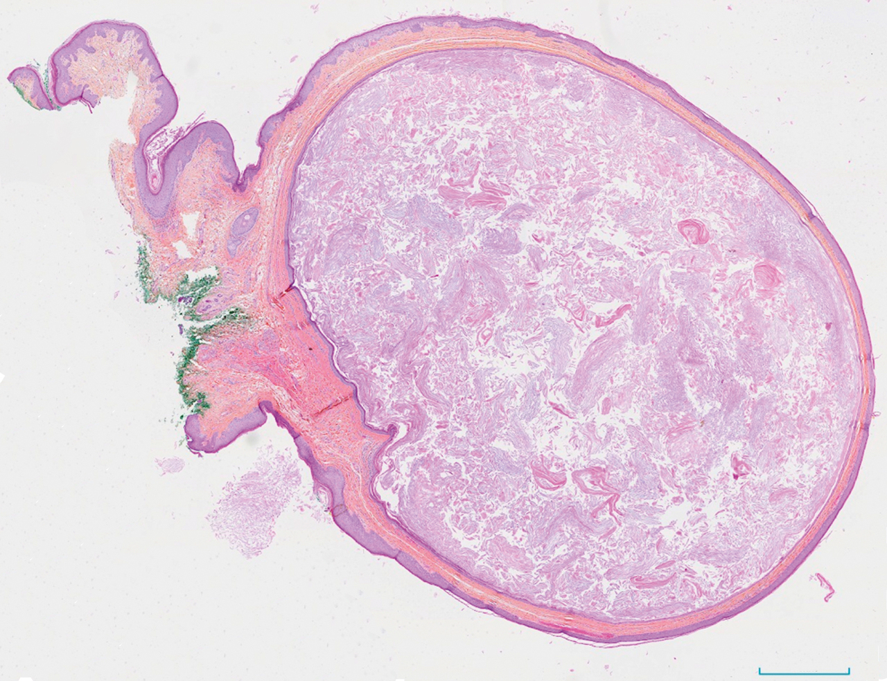
Le kyste épidermique, ou « épithélial » ou « infundibulaire », est une pseudotumeur annexielle bénigne. Il s’agit de la cause la plus fréquente de kystes cutanés. Il dérive de l’épithélium infundibulaire d’un follicule pileux avec, en son sein, des lamelles de kératine et du sébum, circonscrits par un épithélium malpighien. Il siège le plus souvent au niveau du cuir chevelu (classique « loupe »), du visage, du cou, du dos et du scrotum. 

Sur le plan clinique, il est habituellement asymptomatique. Il prend la forme d’une lésion kystique, sous-cutanée ou intradermique, ronde, de 5 à 50 mm de diamètre, à surface lisse, rénitente et de consistance pâteuse à la palpation, parfois centrée par un orifice de petite taille. Il contient une substance grasse, compacte, de couleur blanc jaunâtre, à l’odeur fétide caractéristique. 

Les principaux diagnostics différentiels sont le kyste sébacé, l’hidradénome papillifère, le molluscum contagiosum et la thrombose hémorroïdaire externe.

Le traitement repose sur l’exérèse monobloc, qui permet aussi l’analyse histologique (fig. 2).  

Pour en savoir plus 
Sumi Y, Yamamoto N, Kiyosawa T. Squamous cell carcinoma arising in a giant epidermal cyst of the perineum: A case report and literature review. J Plast Surg Hand Surg 2012;46:209-11.
Alsaffaf Y, Aldolly A, Saeed MS. Epidermoid cyst in the anus: A case report of an unusual location. Int J Surg Case Rep 2024;122:110081.

Une question, un commentaire ?

promo