Un homme de 58 ans consulte pour une sensation de masse anale. L’inspection retrouve une tuméfaction sous-cutanée de la marge (fig. 1).

Le léiomyome anal est très rare et survient le plus souvent chez l’adulte, sans prédominance de sexe. Il s’agit d’une­ tumeur mésenchymateuse bénigne, généralement issue des fibres musculaires lisses du sphincter anal interne. Les tumeurs mésenchymateuses représentent moins de 3 % des tumeurs anales, les léiomyomes n’en constituant qu’environ 10 %.

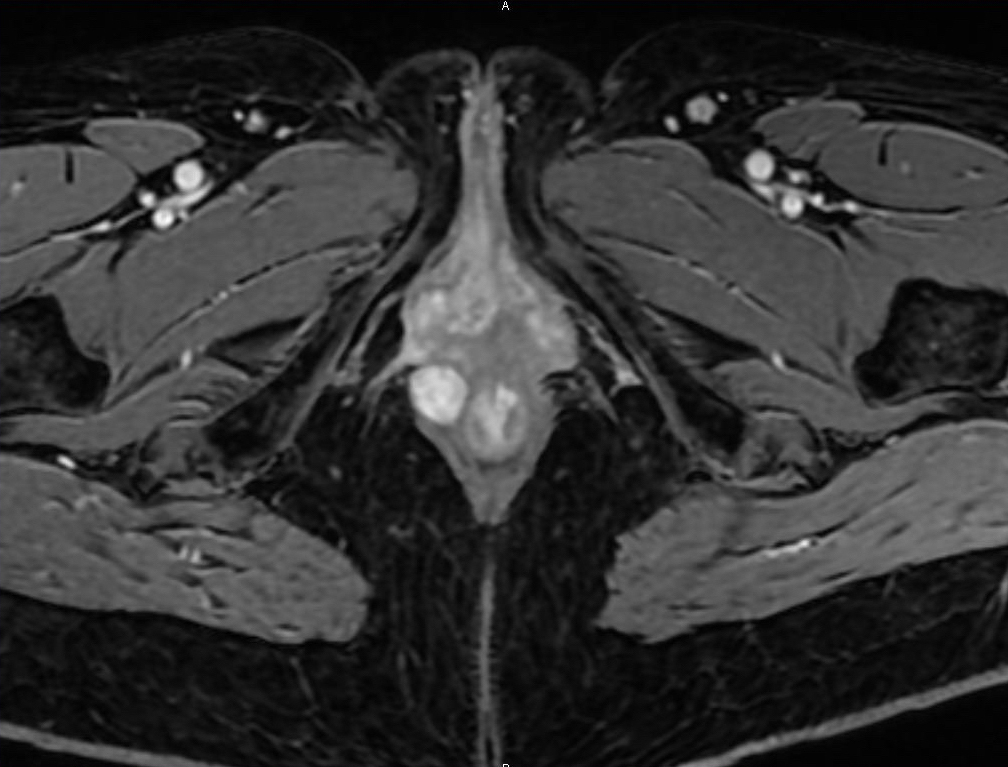
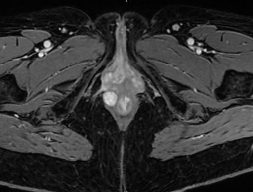
Souvent asymptomatique, cette tumeur peut provoquer une sensation de corps étranger ou une gêne à la défécation. Elle est parfois découverte de façon fortuite, lors d’une endo­scopie ou d’une chirurgie, par exemple. La masse est ferme, bien limitée, souvent mobile à l’examen clinique. L’imagerie par endosonographie et/ou IRM (fig. 2) permet de préciser les rapports avec le sphincter et d’éliminer un léiomyosarcome (aspect hétérogène, envahissement, nécrose).

Les principaux diagnostics différentiels sont les tumeurs stromales gastro-intestinales (GIST), le kyste sébacé, l’hidradénome papillifère, le molluscum contagiosum et la thrombose hémorroïdaire externe ainsi que le léiomyosarcome.

Le diagnostic repose sur l’histologie avec immuno-histochimie qui montre un profil « actine +/desmine +, CD117 - ».

Le traitement consiste en une exérèse chirurgicale complète avec préservation sphinctérienne. Il est curatif si les marges sont saines et l’histologie bénigne. La récidive locale est possible en cas de lésion volumineuse et/ou pseudo-­encapsulée. 

Pour en savoir plus
Sturiale A, Fabiani B, Naldini G. A rare case of leiomyoma of the internal anal sphincter. Int J Surg Case Rep 2016;23:4-7.
González-Díaz E, Cengotitabengoa BG, Carbajo ABD, et al. Imaging Diagnosis of Perianal Leiomyoma: A Case Report. Ann Coloproctol 2021;37(Suppl 1):S58-S62.

Une question, un commentaire ?

promo