Les ménisques sont des amortisseurs permettant de répartir les charges, et d’améliorer la mobilité et la stabilité du genou. Ils sont soumis à des contraintes importantes lors de simples mouvements mais aussi lors d’impacts (sports, accidents). Ils peuvent se déchirer et s’user avec le temps.

Plus de 200 000 patients sont opérés du ménisque chaque année en France, il s’agit de la chirurgie orthopédique la plus fréquente. Le traitement adéquat des problèmes de ménisques est donc un véritable enjeu de santé publique.

Il existe deux types de lésions méniscales : les lésions dégénératives et les lé­sions traumatiques. Le choix thérapeutique et les protocoles de rééducation doivent se fonder sur les recommandations françaises de la Haute Autorité de santé (HAS),1 européennes et internationales2,3 actualisées.

Conséquences d’une lésion méniscale 

Les conséquences immédiates d’un ménisque abîmé peuvent être une douleur, une simple gêne, une sensation de blocage ou un gonflement au niveau du genou. Cela peut même passer complètement inaperçu ! Les conséquences secondaires d’un ménisque manquant (retiré ou n’exerçant plus son rôle) sont une augmentation des pressions dans l’articulation – moins d’amortissement – et donc une usure du genou et du cartilage, aboutissant à un risque plus élevé d’arthrose à long terme. Les risques d’arthrose sont ainsi de l’ordre de 48 % à plus de dix ans.4

Comment s’orienter devant une lésion méniscale ? 

Est-il nécessaire de traiter chirurgicalement cette lésion ? Si oui, une réparation est-elle possible par conservation du ménisque, ou la méniscectomie (ablation) s’impose-t-elle ? 

Les facteurs généraux influençant le traitement sont l’histoire de la maladie, l’âge, le niveau et le type d’activité (professionnelle et sportive), les lésions associées (en particulier celles du ligament croisé antérieur [LCA] et du cartilage).

Les facteurs méniscaux influençant la décision sont le ménisque atteint (médial ou latéral), le type de lésion, sa localisation, son extension et son ancienneté. 

Deux stratégies thérapeutiques sont possibles : médicale (pas de chirurgie) ou chirurgicale (réparation méniscale, méniscectomie partielle, voire absence de geste méniscal lors d’une intervention comme une reconstruction du ligament croisé). Ces options n’entrent pas en conflit ; elles sont complémentaires. Chaque lésion méniscale est unique et a un seul traitement le plus adapté. Pour le choisir, il s’agit en premier lieu de distinguer les lésions méniscales dégénératives des lésions méniscales traumatiques.5

Lésions dégénératives : démarches diagnostique et thérapeutique 

Les lésions méniscales non traumatiques sont dites « dégénératives ».

Les indications de traitement des lésions méniscales dégénératives suivent les recommandations de la HAS1 et le consensus de la Société européenne pour la chirurgie des sports, de la chirurgie du genou et de l’arthroscopie (ESSKA).2 

Par définition, la lésion méniscale non traumatique survient sans traumatisme vrai ou est décompensée à l’occasion d’un traumatisme mineur. Il n’y a pas de vrai accident – une marche prolongée en montagne ou une partie de tennis ne constituent pas un accident. 

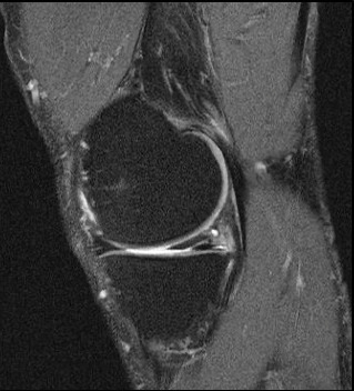
Par opposition au ménisque traumatique, il est question ici de décompensation d’un ménisque-maladie ou de lésion méniscale dégénérative, associée au vieillissement du tissu méniscal. Le ménisque est usé, un clivage horizontal dégénératif en découle (fig. 1), et ce clivage fragilise le ménisque, qui peut alors se casser, se fissurer, sans traumatisme. Il faut se poser la question de l’éventuelle arthrose associée afin de déterminer d’où provient la douleur : du ménisque, du cartilage, des deux ? 

Limites de l’imagerie

L’aspect du ménisque « dégénératif », « fissuré » à l’IRM ne permet pas de définir le caractère douloureux, pathologique, ou même instable de la lésion. La découverte peut être fortuite, et le ménisque être asymptomatique (absence de gonalgie).

La fréquence des « lésions méniscales dégénératives » asymptomatiques vues sur une IRM augmente avec l’âge :6 la prévalence en IRM des hypersignaux méniscaux (fissure méniscale) sans aucun symptôme est de 5 % avant 30 ans, de 13 à 15 % jusqu’à 45 ans, de 25 à 63 % après 50 ans et jusqu’à 65 % après 65 ans. 

La figure 1 montre l’IRM d’une lésion méniscale dégénérative typique du sujet d’âge mûr ; il s’agit d’un exemple de découverte fortuite, le patient étant asymptomatique.

Si ces hypersignaux méniscaux peuvent régresser spontanément, leur sympto­matologie – quand elle existe – aussi. Les lésions pour lesquelles l’évolution des symptômes est chronique (souvent plus de 3 à 6 mois) nécessitent une chirurgie uniquement lorsque le traitement médical et l’attente n’ont pas suffi et que les douleurs persistent.

Conduite à tenir en cas de lésions méniscales dégénératives

Un algorithme décisionnel pour la prise en charge des lésions méniscales dégénératives est proposé en figure 2.

Existe-t-il un pincement de l’interligne fémoro-tibiale sur les radiographies, signant une arthrose avérée ? Pour le savoir, il convient de prescrire des radiographies bilatérales de face, de profil, en schuss, et une incidence fémoropatellaire à 30 ° de flexion. 

S’il existe un pincement, le traitement est celui d’une arthrose, et il n’y a pas d’indication d’arthroscopie dans l’arthrose (en dehors de rares cas avec des symptômes mécaniques considérables). Le premier traitement de ces lésions méniscales dégénératives isolées est donc conservateur : repos, anti-­inflammatoires non stéroïdiens, rééducation, infiltrations de corticoïdes, d’acide hyaluronique ou de plasma riche en plaquettes… Aucun traitement n’a fait preuve de sa supériorité, mais leur prescription au cas par cas semble améliorer le confort des patients le temps que la douleur de la lésion méniscale régresse spontanément. Deux tiers des patients ne nécessitent donc pas de chirurgie méniscale !7

Si les douleurs persistent malgré le traitement médical et que le délai d’attente dépasse trois à six mois, une IRM doit être demandée. Dans le cas où celle-ci avait déjà été réalisée au début des symptômes, il peut être utile d’en prescrire une seconde afin de comparer les lésions et de déterminer l’évolutivité.

Si la radiographie ne montre pas de pincement significatif de l’interligne arti­culaire, qu’il existe une lésion méniscale de grade 3 à l’IRM sans extrusion ni œdème significatif, et que l’examen clinique oriente vers une lésion méniscale douloureuse, le diagnostic de lésion ­méniscale dégénérative primitive douloureuse peut être posé. Une ménis­­­­cec­tomie arthroscopique peut être ici ­raisonnablement proposée en première intention (fig. 3).S’il existe un pincement significatif de l’interligne articulaire aux radiographies, le diagnostic d’arthrose avérée peut être posé. De nombreuses études ont montré que la méniscectomie arthroscopique (dans ces cas de dégénérescence méniscale et cartilagineuse) ou le « lavage-­débridement articulaire sous arthro­scopie » donnent des résultats décevants, proches de ceux du placebo.8

Lésions traumatiques : démarches diagnostique et thérapeutique 

Les indications de traitement des lésions méniscales traumatiques suivent les recommandations de la HAS1 et le consensus européen de l’ESSKA.3

Les objectifs de traitement de ces lésions méniscales traumatiques sympto­matiques sont de soulager les douleurs et de permettre une reprise des activités à niveau égal sans trop augmenter les risques de dégradation arthrosique rapide ou différée du genou.

Changement de paradigme thérapeutique

Actuellement, le traitement d’une lésion méniscale n’aboutit plus systémati­quement à une méniscectomie.

La biomécanique du genou, la vascularisation des ménisques, et donc leur possibilité de cicatrisation, l’histoire naturelle des ruptures du LCA et la fréquence des lésions méniscales associées, ainsi que les résultats à long terme des méniscectomies – même sous arthroscopie – ont conduit au concept de préservation méniscale, qui s’exprime selon les cas par :

  • l’abstention de tout traitement devant une lésion méniscale asymptomatique et stable ;9
  • la réparation méniscale, si possible ;10
  • la méniscectomie (la plus partielle possible, c’est-à-dire emportant uniquement la lésion), en dernier lieu.4

La tendance est à l’augmentation des indications de réparation méniscales et à une diminution des méniscectomies.11

Rechercher une lésion du LCA associée

La démarche diagnostique et théra­peutique est orientée en fonction de l’état du LCA. 

Toute suspicion de lésion méniscale traumatique impose un examen clinique et d’imagerie (IRM), à la recherche d’une rupture ligamentaire, et en particulier celle du LCA  [fig. 4].

Le traumatisme est récent

Dans le cadre d’un traumatisme sportif récent, l’examen clinique et l’IRM permettent d’orienter le diagnostic.

L’élément essentiel est la recherche d’une laxité antérieure témoignant d’une rupture du LCA et des douleurs des interlignes articulaires, en faveur d’une lésion méniscale. Outre la radio standard, qui est toujours indispensable à la recherche d’une fracture, l’IRM est à effectuer sans urgence. Elle permet de confirmer la lésion du LCA et de poser le diagnostic des lésions méniscales associées, qui sont très fréquentes (25 à 65 % des cas).

L’association d’une rupture du LCA à la lésion méniscale traumatique est un argument supplémentaire pour indiquer une plastie de reconstruction du LCA, en particulier chez l’enfant et le jeune ­athlète. Elle doit également pousser à une grande prudence dans la reprise des activités sportives avant la reconstruction ligamentaire afin d’éviter une aggravation des lésions qui pourrait imposer une méniscectomie au lieu d’une réparation.

Cas de la lésion méniscale traumatique isolée

Une réparation méniscale est systématiquement envisagée en première intention devant une lésion verticale traumatique chez un sujet jeune (et surtout s’il s’agit du ménisque latéral). Le risque d’échec après réparation est probablement plus important sur genou stable ; il faut savoir prendre le risque de cet échec car la méniscectomie étendue chez un jeune est arthrogène : en cas de lésion méniscale traumatique sur genou laxe et non reconstruit, la méniscectomie donne 100 % d’arthrose à 30 ans.

Lorsque le tableau est celui d’un genou douloureux non spécifique et que l’examen clinique n’apporte pas de certitude, il n’y a aucune urgence à précipiter l’enquête étiologique. Il n’y a pas d’indication d’arthroscopie en urgence, mais il faut obtenir rapidement l’avis d’un chirurgien orthopédiste.

La situation d’un certain nombre de ces patients évolue favorablement avec de la rééducation, du repos, une infiltration… La persistance ou la focalisation des signes vers le ménisque doivent faire ­réaliser une imagerie complémentaire à distance (IRM).

Que recommander après une chirurgie méniscale ? 

Il existe une indication à réaliser une ré­éducation après chirurgie méniscale qui varie en fonction du type de chirurgie et du type de lésion opérée. Les indications de la réhabilitation et de la rééducation après chirurgie méniscale ont fait l’objet d’un consensus d’experts récent (ESSKA, disponible sur le site web de la société savante : https ://bit.y/41HB9Wq) [tableau 1].

Les protocoles de rééducation pour les ménisques réparés avec reconstruction concomitante du LCA sont similaires à ceux des réparations méniscales isolées. Cependant, la reprise du sport pourrait être retardée compte tenu de la reconstruction du LCA.

Le protocole de réadaptation et la reprise du sport doivent être programmés selon des critères de récupération fonctionnelle progressifs combinés à des critères de temps de réadaptation (tableau 2).

Encadre

Que dire à vos patients ? 

  • L’abstention chirurgicale concerne la grande majorité des lésions méniscales dégénératives, qui entrent le plus souvent dans le cadre de l’arthrose (débutante ou avérée). 
  • Préserver les ménisques, c’est avant tout savoir les réparer ou savoir ne pas les opérer lorsque cela n’est pas nécessaire. 
Références 
1. Beaufils P, Hulet C, Dhenain M, et al. Clinical practice guidelines for the management of meniscal lesions and isolated lesions of the anterior cruciate ligament of the knee in adults. Orthop Traumatol-Surg Res 2009;95(6):437-42. 
2. Beaufils P, Becker R, Kopf S, et al. Surgical Management of Degenerative Meniscus Lesions: The 2016 ESSKA Meniscus Consensus. Joints 2017;5(2):335-46. 
3. Kopf S, Beaufils P, Hirschmann MT, et al. Management of traumatic meniscus tears: The 2019 ESSKA meniscus consensus. Knee Surg Sports Traumatol Arthrosc Off J ESSKA 2020;28(4):1177-94. 
4. Bogas Droy H, Dardenne T, Djebara A, et al. Long-term clinical and radiological outcomes after arthroscopic partial meniscectomy on stable knees are better for traumatic tears when compared to degenerative lesions: A systematic review. Knee Surg Sports Traumatol Arthrosc Off J ESSKA 2025;33(1):107-23.
5. Beaufils P, Pujol N. Management of traumatic meniscal tear and degenerative meniscal lesions. Save the meniscus. Orthop Traumatol-Surg Res 2017;103(8S):S237-44. 
6. Englund M, Guermazi A, Gale D, et al. Incidental meniscal findings on knee MRI in middle-aged and elderly persons. N Engl J Med 2008;359(11):1108-15. 
7. Rietbergen T, Marang-van de Mheen PJ, Diercks RL, et al. Performing a knee arthro­scopy among patients with degenerative knee disease: One-third is potentially low value care. Knee Surg Sports Traumatol Arthrosc Off J ESSKA 2022;30(5):1568-74. 
8. Wijn SRW, Hannink G, Østerås H, et al. Arthroscopic partial meniscectomy vs non-surgical or sham treatment in patients with MRI-confirmed degenerative meniscus tears: a systematic review and meta-analysis with individual participant data from 605 randomised patients. Osteoarthritis Cartilage 2023;31(5):557-66. 
9. Pujol N, Beaufils P. During ACL reconstruction, small asymptomatic meniscal lesions can be left untreated: a systematic review. J ISAKOS 2016;1(3):135-40. 
10. Pujol N, Tardy N, Boisrenoult P, et al. Long-term outcomes of all-inside meniscal repair. Knee Surg Sports Traumatol Arthrosc Off J ESSKA 2015;23(1):219-24. 
11. Jacquet C, Pujol N, Pauly V, et al. Analysis of the trends in arthroscopic meniscectomy and meniscus repair procedures in France from 2005 to 2017. Orthop Traumatol-Surg Res 2019;105(4):677-82.

Dans cet article

Ce contenu est exclusivement réservé aux abonnés
essentiel

Abstention chirurgicale (traitement médical), méniscectomie, réparation méniscale sont les différentes options thérapeutiques pour une lésion méniscale. Objectif : traiter le symptôme, mais aussi préserver le capital méniscal et l’avenir du genou (risque d’arthrose). Il ne s’agit pas de traiter une image mais un patient !

La méniscectomie est l’une des procédures chirurgicales les plus fréquentes en ortho­pédie. Ses indications, bien que très codifiées, sont trop larges. A contrario, lorsque les lésions sont réparables, la réparation méniscale est trop rarement effectuée. 

Les lésions méniscales traumatiques du sujet jeune peuvent et doivent être réparées en première intention, sur genou stable ou stabilisé (reconstruction du ligament croisé), quel que soit le ménisque lésé ou l’ancienneté de la lésion.