Une femme de 44 ans consulte pour une sensation de « boule » anale, apparue récemment. Il n’y a ni douleur, ni aucun autre symptôme.
L’examen clinique révèle une tuméfaction sous-cutanée de la marge anale (fig. 1).

Le lipome est une tumeur conjonctive bénigne fréquente constituée de globules graisseux. Sa physiopathologie n’est pas élucidée, mais des données récentes indiquent qu’il est associé à des anomalies cytogénétiques spécifiques. Il peut siéger au niveau de la peau périanale, mais les localisations cutanées les plus fréquentes sont la nuque, le dos, les épaules et les cuisses. Il est asymptomatique, tout au plus gênant et/ou inesthétique en raison de sa localisation et/ou de son volume. Le plus souvent, il prend la forme d’une tuméfaction sous-cutanée, molle, arrondie, souple, à large base d’implantation, mobile par rapport au plan profond, indolore, recouverte d’une peau normale, sans signe inflammatoire.

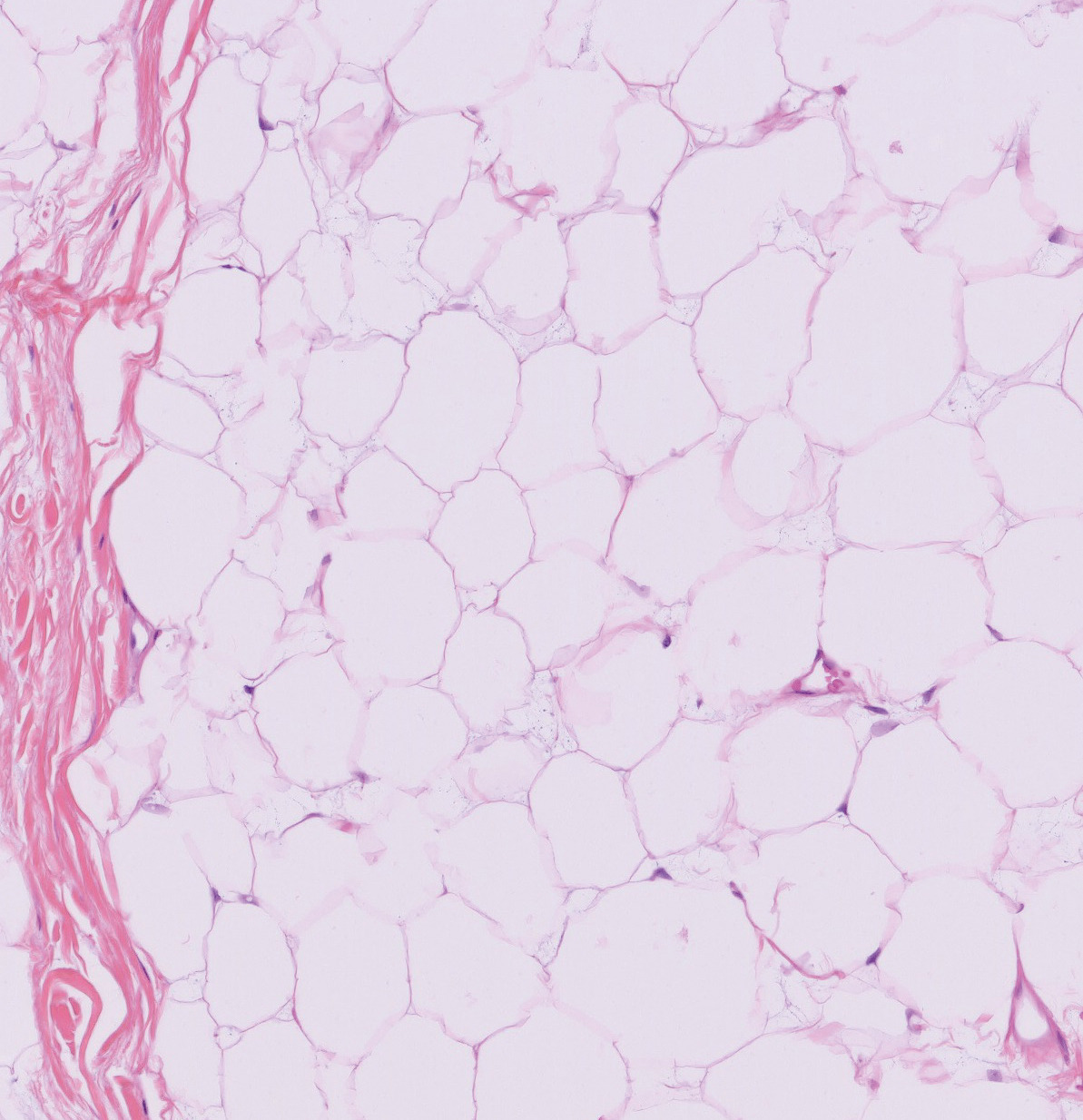
Le diagnostic est en général évoqué dès l’examen clinique, mais seule l’analyse histologique permet d’être formel, avec la mise en évidence d’une prolifération d’adipocytes matures sans cellule atypique (fig. 2). 

Les principaux diagnostics différentiels sont le kyste sébacé, l’hidradénome papillifère, le molluscum contagiosum, la tumeur stromale gastro-­intestinale (GIST) et la thrombose hémorroïdaire externe.

L’exérèse soulage le patient et permet le diagnostic histologique. Cependant, la simple surveillance est sans doute raisonnable chez le patient peu gêné. 

Pour en savoir plus
Litchinko A, Cherbanyk F, Menth M, et al. Giant gluteal lipoma surgical management. BMJ Case Rep 2019;12(8):e229842.
Rekavari SG, Mahakalkar C. A rare case of a pedunculated lipoma in the perianal region: A 20-Year Journey. Cureus 2024;16(5):e61304.

Une question, un commentaire ?

promo