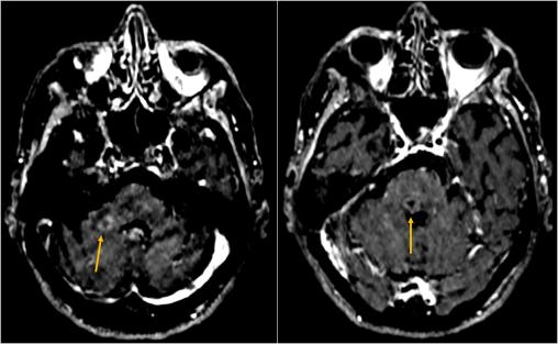
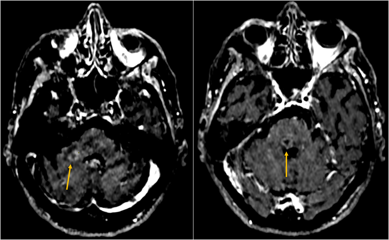
Une patiente âgée de 90 ans vivant seule chez elle, avec la visite d’aides à domicile, est hospitalisée pour une asthénie sévère associée à un syndrome confusionnel fébrile évoluant depuis quelques jours, sans point d’appel clinique. Elle est en bon état général et est sous valsartan pour une hypertension artérielle. L’examen clinique ne retrouve aucune anomalie en dehors d’une confusion fébrile sans syndrome méningé ni signe de localisation. Les hémocultures sont stériles. La protéine C-réactive (CRP) est à 126 mg, avec une hyperleucocytose à polynucléaires neutrophiles à 13 000/mm3. Le reste du bilan biologique est normal. Une ponction lombaire est réalisée en urgence  ; elle montre un liquide céphalorachidien (LCR) citrin (fig. 1) avec une protéinorachie à 3,29 g/L, une hypoglycorachie à 450 leucocytes/mm3 (36 % de polynucléaires, 75  % de lymphocytes). L’examen direct du LCR révèle des bacilles à Gram positif et la culture confirme l’identification de Listeria monocytogenes sensible à l’amoxicilline et au cotrimoxazole.  Dès les résultats de la ponction lombaire, la patiente a été mise sous amoxicilline à la dose de 200 mg/kg/24 h et de la gentamicine à 5 mg/kg/24 h a été ajoutée pour cinq jours. L’imagerie par résonance magnétique (IRM) [fig. 2] met en évidence plusieurs abcès (protubérance, cervelet) et une ventriculite bilatérale avec pus intraventriculaire (fig. 3). La patiente n’était pas immunodéprimée. La déclaration obligatoire a été effectuée. L’enquête de l’agence régionale de santé (ARS) n’a pas retrouvé de cas groupés dans l’entourage. Après six semaines d’antibiothérapie par amoxicilline intraveineuse à haute dose, la patiente a recouvré une conscience normale, sans séquelle neurologique clinique apparente, et une autonomie qui ont permis le retour à domicile.

 

Les infections à Listeria monocytogenes(LM) sont d’origine alimentaire, transmises non seulement par les produits animaux (il s'agit d'une cause importante de zoonose chez les ruminants) mais aussi par des fruits et légumes secondairement contaminés. LM est une bactérie ubiquitaire, très résistante aux agents chimiques et à une basse température (4 °C).

LM affecte préférentiellement les femmes enceintes, les patients aux âges extrêmes et les personnes immunodéprimés alcooliques, diabétiques, cirrhotiques, sous traitements immunosuppresseurs).

La maladie est souvent insidieuse, le diagnostic est difficile car les prodromes ne sont pas spécifiques et génèrent un retard diagnostique important  : fièvre, frissons, céphalées, syndrome pseudo-grippal qui précédent les signes de méningite et de rhombencéphalite avec raideur méningée et atteinte des nerfs crâniens.

La localisation méningée1,2 est associée dans près de la moitié des cas à des signes d’encéphalite diffuse avec des abcès intracérébraux localisés de façon prédo­minante au rhombencéphale. Des abcès nécrotiques coalescents et multiples apparaissent, entraînant des pertes de substances importantes du tissu nerveux.

Lorsqu’une antibiothérapie par voie intraveineuse (ampicilline + gentamicine) est rapidement administrée, l'évolution peut être favorable avec une récupération en quelques semaines, bien que la mortalité reste élevée (50  % des cas). En cas de rhombencéphalite, la durée d’antibiothérapie est de six semaines.

À titre préventif pour les sujets à risque, les règles d'hygiène à respecter sont le lavage et la cuisson soigneuse des aliments crus (viande, poisson, légumes...), la conservation des aliments crus et cuits ou prêts à être consommés séparément et la désinfection régulière du réfrigérateur.

Références
1. Mailles A, Lecuit M, Goulet V, et al.Encéphalites à Listeria monocytogenes en France. Médecine et maladies infectieuses 2011 ; 41 : 594-601.
2. Petitgas P, Tattevin P, Mailles A, et al. Infectious encephalitis in elderly patients: A prospective multicentre observational study in France 2016-2019. Infection 2023; hal-03798463. https://hal.science/hal-03798463

Une question, un commentaire ?