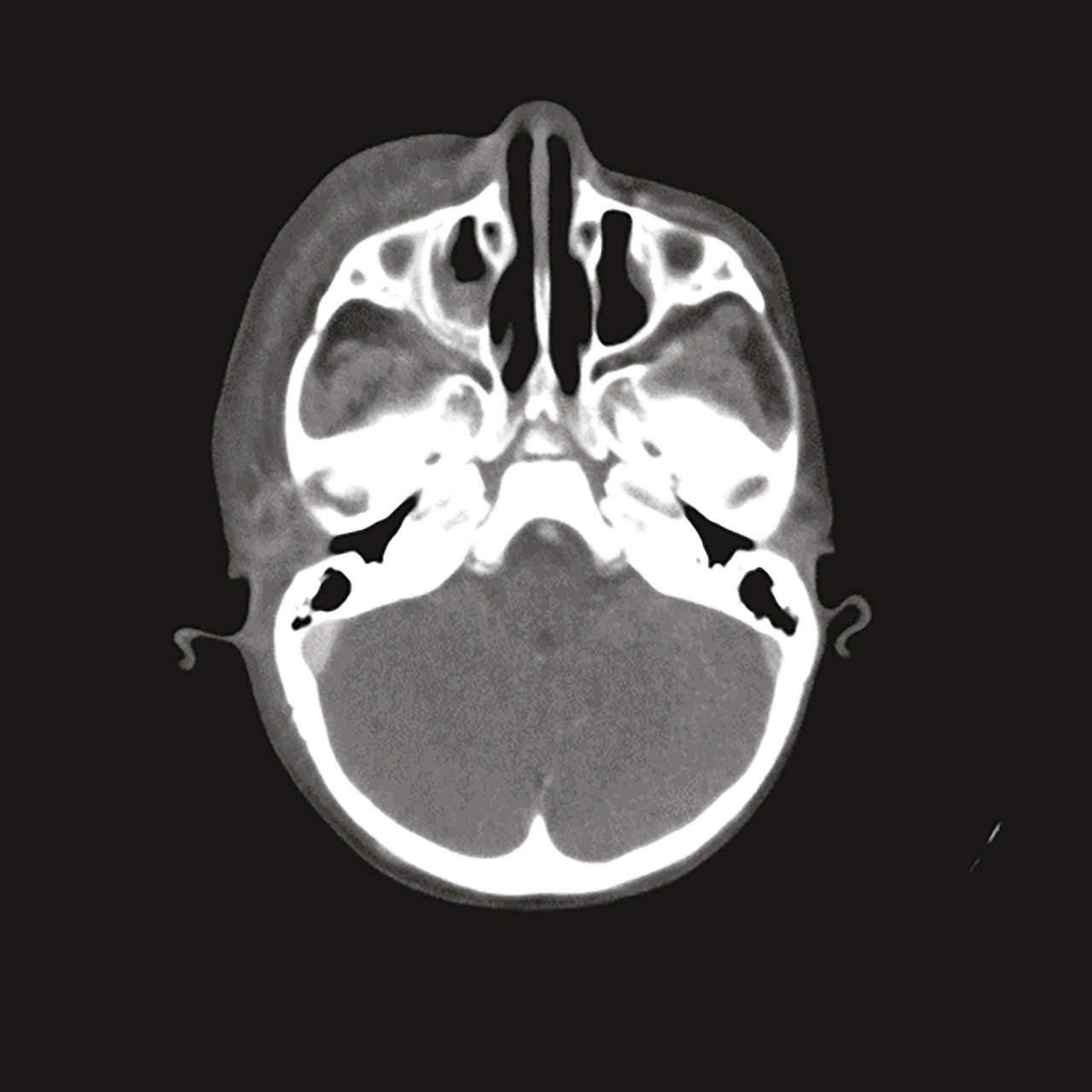
Une patiente âgée de 3 ans est suivie pour un lymphome de Burkitt à double localisation maxillaire et abdominale avec envahissement médullaire, mis sous protocole de chimiothérapie GFAOP/LMB 2005. Trois mois après le diagnostic et quinze jours après une cure de chimiothérapie, elle présente une écorchure post-traumatique au niveau de la joue droite, négligée par la famille. Devant l’apparition de fièvre et l’extension de la lésion (fig. 1 ), la famille consulte. L’examen, à l’admission, trouve une patiente fébrile, en choc septique, avec un tableau de fasciite nécrosante : tuméfaction jugale droite de 7 cm, très douloureuse à la palpation, chaude, dure et centrée par un placard de nécrose de 5 cm de diamètre, associée à un œdème palpébral homolatéral. La tomodensitométrie (TDM) objective une cellulite préseptale droite avec infiltration phlegmoneuse des parties molles (fig. 2 ). Une antibiothérapie à large spectre est administrée. Après correction du bilan d’hémostase, une nécrosectomie avec résection profonde des muscles de l’hémiface droite est réalisée, suivie dans un deuxième temps d’une greffe cutanée. L’évolution clinique est favorable. Après quatre ans de suivi, les résultats actuels montrent une amélioration significative (fig. 3 ).
La fasciite nécrosante en pédiatrie est une pathologie infectieuse rare et grave, responsable d’une destruction nécrotique massive et rapide des tissus.1 Il est important de reconnaître tôt ces infections afin d’éviter les complications, notamment l’extension des plages de nécrose et le choc septique.2 Le pronostic dépend de la précocité du diagnostic et de la rapidité de mise en route de l’antibiothérapie et du traitement chirurgical.3 Cette prise en charge multidisciplinaire en urgence est difficile à organiser chez les patients sous chimiothérapie, compte tenu du terrain et de l’aplasie éventuelle. Le taux de mortalité chez les enfants varie entre 10 et 60 %, avec une moyenne de 20 %.4 Les facteurs de risque incluent la varicelle, la chirurgie, l’immunosuppression et les traumatismes mineurs.5,6 La plupart des décès chez les patients ayant présenté une fasciite nécrosante sont dus à une septicémie et/ou une défaillance multiviscérale.7
Il existe deux groupes principaux en cause : un polymicrobien (cocci à Gram positif, entérocoques, entérobactéries à Gram négatif) et un monomicrobien (streptocoque A).5
La difficulté du diagnostic réside dans la rareté des signes cutanés précoces.8 Les premiers stades peuvent facilement être confondus avec une cellulite, un abcès ou un érysipèle.8,9 La fasciite nécrosante débute par des signes cutanés minimes, suivis d’un érythème cutané rapidement progressif. Des bulles hémorragiques apparaissent et évoluent vers la nécrose.2,7 Une fièvre élevée et des signes de septicémie sont habituellement présents mais peuvent manquer.10 Des lactates et une créatine phosphokinase (CPK) élevés ainsi qu’une thrombocytopénie et une élévation de la protéine C-réactive (CRP) sont des éléments en faveur d’une fasciite nécrosante plutôt que d’une cellulite.5,9 Bien que le diagnostic soit clinique, l’imagerie par résonance magnétique (IRM) a une sensibilité très élevée.11 Elle montre un hypersignal sur les images pondérées en T2, correspondant à l’inflammation.11
Le traitement comprend la prise en charge d’un éventuel choc ou défaillance multiviscérale, des antibiotiques par voie parentérale, l’exploration et le débridement chirurgical rapide et agressif.3
Il existe deux groupes principaux en cause : un polymicrobien (cocci à Gram positif, entérocoques, entérobactéries à Gram négatif) et un monomicrobien (streptocoque A).5
La difficulté du diagnostic réside dans la rareté des signes cutanés précoces.8 Les premiers stades peuvent facilement être confondus avec une cellulite, un abcès ou un érysipèle.8,9 La fasciite nécrosante débute par des signes cutanés minimes, suivis d’un érythème cutané rapidement progressif. Des bulles hémorragiques apparaissent et évoluent vers la nécrose.2,7 Une fièvre élevée et des signes de septicémie sont habituellement présents mais peuvent manquer.10 Des lactates et une créatine phosphokinase (CPK) élevés ainsi qu’une thrombocytopénie et une élévation de la protéine C-réactive (CRP) sont des éléments en faveur d’une fasciite nécrosante plutôt que d’une cellulite.5,9 Bien que le diagnostic soit clinique, l’imagerie par résonance magnétique (IRM) a une sensibilité très élevée.11 Elle montre un hypersignal sur les images pondérées en T2, correspondant à l’inflammation.11
Le traitement comprend la prise en charge d’un éventuel choc ou défaillance multiviscérale, des antibiotiques par voie parentérale, l’exploration et le débridement chirurgical rapide et agressif.3
Références
1. Bhat K, Shenoy R, Kamath N. Necrotizing fasciitis in children: Experience in a teaching hospital. J Pediatr Infect Dis 2007;02(04):225‑9.
2. Zundel S, Lemarechal A, Kaiser P, Szavay P. Diagnosis and treatment of pediatric necrotizing fasciitis: A systematic review of the literature. Eur J Pediatr Surg 2017;27(2):127‑37.
3. Mkrtchyan N, Hovhannisyan A, Vardanyan K, Hovhannisyan A, Poghosyan Y. Necrotizing fasciitis of the facial skin in pediatric patient: Case report. Bull Stom Maxillofac Surg 2023;19(1):126‑34.
4. Kumar Singh D, Kapoor R, Singh Yadav P, Saxena S, Agarwal K, Solanki RS, et al. Morbidity and mortality of necrotizing fasciitis and their prognostic factors in children. J Indian Assoc Pediatr Surg 2022;27(5):577-84.
5. Schröder A, Gerin A, Firth GB, Hoffmann KS, Grieve A, Oetzmann Von Sochaczewski C. A systematic review of necrotising fasciitis in children from its first description in 1930 to 2018. BMC Infect Dis 2019;19(1):317.
6. Chen LL, Tayban K, Caravanos C, Shaz D, Halpern NA. Necrotizing fasciitis associated with malignancy. J Am Assoc Nurse Pract 2020;32(2):109‑12.
7. Pfeifle VA, Gros SJ, Holland-Cunz S, Kämpfen A. Necrotizing fasciitis in children due to minor lesions. Journal of Pediatric Surgery Case Reports 2017;25:52‑5.
8. Hansmann Y. Erysipèle et fasciite nécrosante : prise en charge. Médecine et Maladies Infectieuses 2000;30:280s‑90s.
9. Sullivan TB, Bastrom TP, Marino N, Edmonds EW. Presenting features of extremity necrotizing fasciitis in the pediatric patient: A case–control analysis. J Pediatr Orthop B 2018;27(5):461‑6.
10. Chosidow O. Critères diagnostiques et indications chirurgicales des formes subaiguës de cellulites et fasciites nécrosantes. Annales de dermatologie et de vénérologie 2008:128(3)390.
11. Malghem J, Lecouvet FE, Omoumi P, Maldague BE, Vande Berg BC. Fasciite nécrosante : diagnostic en imagerie et ses limites. Rev Rhumatisme 2013;80(2):116‑22.
2. Zundel S, Lemarechal A, Kaiser P, Szavay P. Diagnosis and treatment of pediatric necrotizing fasciitis: A systematic review of the literature. Eur J Pediatr Surg 2017;27(2):127‑37.
3. Mkrtchyan N, Hovhannisyan A, Vardanyan K, Hovhannisyan A, Poghosyan Y. Necrotizing fasciitis of the facial skin in pediatric patient: Case report. Bull Stom Maxillofac Surg 2023;19(1):126‑34.
4. Kumar Singh D, Kapoor R, Singh Yadav P, Saxena S, Agarwal K, Solanki RS, et al. Morbidity and mortality of necrotizing fasciitis and their prognostic factors in children. J Indian Assoc Pediatr Surg 2022;27(5):577-84.
5. Schröder A, Gerin A, Firth GB, Hoffmann KS, Grieve A, Oetzmann Von Sochaczewski C. A systematic review of necrotising fasciitis in children from its first description in 1930 to 2018. BMC Infect Dis 2019;19(1):317.
6. Chen LL, Tayban K, Caravanos C, Shaz D, Halpern NA. Necrotizing fasciitis associated with malignancy. J Am Assoc Nurse Pract 2020;32(2):109‑12.
7. Pfeifle VA, Gros SJ, Holland-Cunz S, Kämpfen A. Necrotizing fasciitis in children due to minor lesions. Journal of Pediatric Surgery Case Reports 2017;25:52‑5.
8. Hansmann Y. Erysipèle et fasciite nécrosante : prise en charge. Médecine et Maladies Infectieuses 2000;30:280s‑90s.
9. Sullivan TB, Bastrom TP, Marino N, Edmonds EW. Presenting features of extremity necrotizing fasciitis in the pediatric patient: A case–control analysis. J Pediatr Orthop B 2018;27(5):461‑6.
10. Chosidow O. Critères diagnostiques et indications chirurgicales des formes subaiguës de cellulites et fasciites nécrosantes. Annales de dermatologie et de vénérologie 2008:128(3)390.
11. Malghem J, Lecouvet FE, Omoumi P, Maldague BE, Vande Berg BC. Fasciite nécrosante : diagnostic en imagerie et ses limites. Rev Rhumatisme 2013;80(2):116‑22.
Une question, un commentaire ?