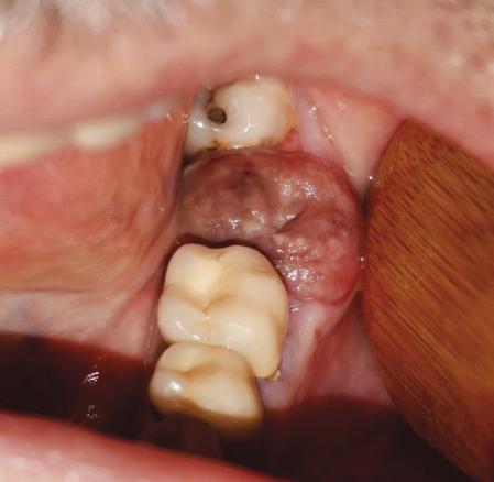
Ce patient de 60 ans consultait pour une lésion gingivale apparue il y a 1 semaine au niveau de l’alvéole de la 2e molaire mandibulaire gauche (37) extraite 1 mois auparavant. L’anamnèse notait un lupus traité par prednisone et hydroxychloroquine, une ostéoporose traitée par acide alendronique arrêté depuis 4 ans et une thrombocytopénie non étiquetée, à 100 000 plaquettes, connue depuis plusieurs années, sans altération de l’état général ni intoxication alcoolo-tabagique. À l’examen clinique endo-buccal (v. figure ), on notait une lésion muqueuse centrée sur l’alvéole d’avulsion de 37, bourgeonnante, sessile, saignant au contact, avec une muqueuse de recouvrement brunâtre et inhomogène ; pas d’adénopathie cervicale ni de lésion osseuse sur la radiographie panoramique. Le diagnostic évoqué était celui de botryomycome (lésion inflammatoire bénigne). L’analyse anatomopathologique de la biopsie-exérèse montrait un chorion infiltré par une prolifération en nappes de grandes cellules basophiles aux noyaux volumineux ainsi que de nombreuses mitoses et corps apoptotiques en aspect de « ciel étoilé » concluant à la localisation d’un lymphome plasmoblastique positif au virus d’Epstein-Barr. Le patient était alors adressé en hématologie pour la suite de prise en charge.
Le lymphome plasmoblastique est un lymphome non hodgkinien dont l’atteinte primitive buccale est rare, avec un âge de découverte moyen de 56,6 ans. Ils représentent 5 % des tumeurs malignes de la tête et du cou à prédominance masculine (3 hommes pour 2 femmes), avec un taux de survie à 5 ans d’environ 55 %.1 Il existe une multitude de signes cliniques non spécifiques comme une tuméfaction, un retard de cicatrisation, des douleurs, des mobilités dentaires, une hypoesthésie du nerf alvéolaire inférieur ou une ulcération. Le diagnostic de certitude repose sur l’examen anatomo-pathologique, qui permet également une classification histologique du lymphome et d’adapter le traitement. Ce dernier associe une cure de radiothérapie locale (en règle générale) à une chimiothérapie.2 Le rôle du médecin généraliste et du chirurgien-dentiste reste essentiel dans le dépistage précoce des lésions malignes, le pronostic et le taux de survie de ces pathologies pouvant être améliorés par une prise en charge rapide.
Références
1. Renard N, Canonica M, Piral T, Princ G. Lymphomes malins non hodgkiniens buccaux : À propos de 18 cas. Med Buccale Chir Buccale 2015;21:77‑83.
2. Shankland KR, Armitage JO, Hancock BW. Non-Hodgkin lymphoma. Lancet 2012;380:848‑57.
2. Shankland KR, Armitage JO, Hancock BW. Non-Hodgkin lymphoma. Lancet 2012;380:848‑57.
Une question, un commentaire ?
Sur le même thème
Exercice
Exercice
Exercice