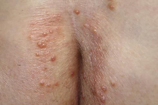
Patrick, 53 ans, consulte pour de multiples lésions papuleuses au niveau de fesses apparues il y a 2 mois.
L’agent causal de cette virose est un poxvirus, transmis par contact direct. Les enfants et les immunodéprimés sont particulièrement touchés. Chez l’adulte, les localisations les plus fréquentes sont les organes génitaux externes et le périnée (transmission lors des rapports sexuels).
Cliniquement, les lésions ont l’aspect de papules surélevées brillantes de couleur rose, de 1 à 5 mm de diamètre, avec une ombilication centrale. Elles peuvent s’eczématiser. En général, elles disparaissent spontanément en 2-3 mois.
Plusieurs traitements peuvent être proposés : curetage, cryothérapie, bistouri électrique ; en cas de lésions multiples : application de trétinoïne (hors AMM), nitrate d’argent ou hydroxyde de potassium (5 %).
Cliniquement, les lésions ont l’aspect de papules surélevées brillantes de couleur rose, de 1 à 5 mm de diamètre, avec une ombilication centrale. Elles peuvent s’eczématiser. En général, elles disparaissent spontanément en 2-3 mois.
Plusieurs traitements peuvent être proposés : curetage, cryothérapie, bistouri électrique ; en cas de lésions multiples : application de trétinoïne (hors AMM), nitrate d’argent ou hydroxyde de potassium (5 %).
Pour en savoir plus
Vallet CE, Delannoy G. Molluscum contagiosum. Rev Prat 2018 ;68: 637.
Une question, un commentaire ?