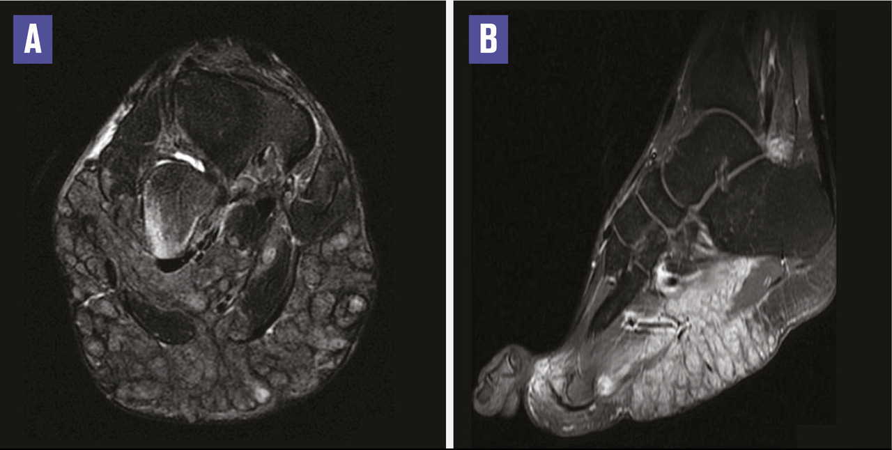
Ce jeune homme de 24 ans consultait pour une tuméfaction polyfistulisée de la plante du pied droit laissant sourdre des grains noirâtres millimétriques (fig. 1). À l’échographie, on notait des collections hypoéchogènes centrées par des images hyperéchogènes correspondant à des grains de mycétome. L’imagerie par résonance magnétique montrait un processus tissulaire de la plante, multiloculé, en hypersignal hétérogène T2 (fig. 2A), en hyposignal T1, se rehaussant fortement après injection du gadolinium avec des ponctuations restant en hyposignal (fig. 2A). La tomodensitométrie montrait une érosion du bord externe de l’os cuboïde. Devant cette tuméfaction d’évolution lente et la présence de grains visibles, le diagnostic de mycétome était évoqué. Une biopsie confirmait le diagnostic de mycétome fungique à Madurella mycetomatis. Le patient était traité par itraconazole (200 mg/j), sans succès. L’exérèse chirurgicale était décidée en réunion multidisciplinaire.

Le mycétome podal ou pied de Madura est une pseudotumeur très rare (premier cas décrit en 1892) granulomateuse polyfistulisée chronique, indolente et déformante, due à des agents fongiques (eumycétome) ou bactériens actinomycosiques (actinomycétome) localisée au pied.1 Le mycétome se manifeste par une sensation de pesanteur ensuite par l’apparition d’une tuméfaction qui augmente progressivement de volume, puis apparaissent des fistules laissant sourdre du pus avec des grains de couleurs différentes. L’imagerie est indispensable au diagnostic, à l’établissement d’un bilan lésionnel préthérapeutique de l’atteinte osseuse et des parties molles et pour le suivi de l’évolution. L’identification de l’agent causal permet de sélectionner le traitement médical adapté. Le traitement des mycétomes doit toujours être médical dans un premier temps, même dans les formes avancées ; la chirurgie ne se discute qu’après cette première étape.2 La prévention repose sur l’éducation des patients à la protection de leurs pieds lors du travail et à l’éviction des traumatismes cutanés.

Références

1. Bouziane M, Amriss O, Kadiri R, Adil A. The role of computed tomography in the exploration of Madura foot (pedal mycetoma). Diagn Interv Imaging 2012;93:884-6.

2. Develoux M. Les mycétomes et leur traitement. J Mycol Med 2016;26:77-85.

Une question, un commentaire ?