Jean-Marie, 31 ans, sportif accompli, s’entraîne 3 fois par semaine au tennis. Depuis 1 mois, il ressent une douleur au niveau de la fesse gauche, invalidante lors de certains mouvements. À l’examen, on palpe une tuméfaction dure lors de la contraction fessière.
L’IRM fournit le diagnostic, rassurant (figure).
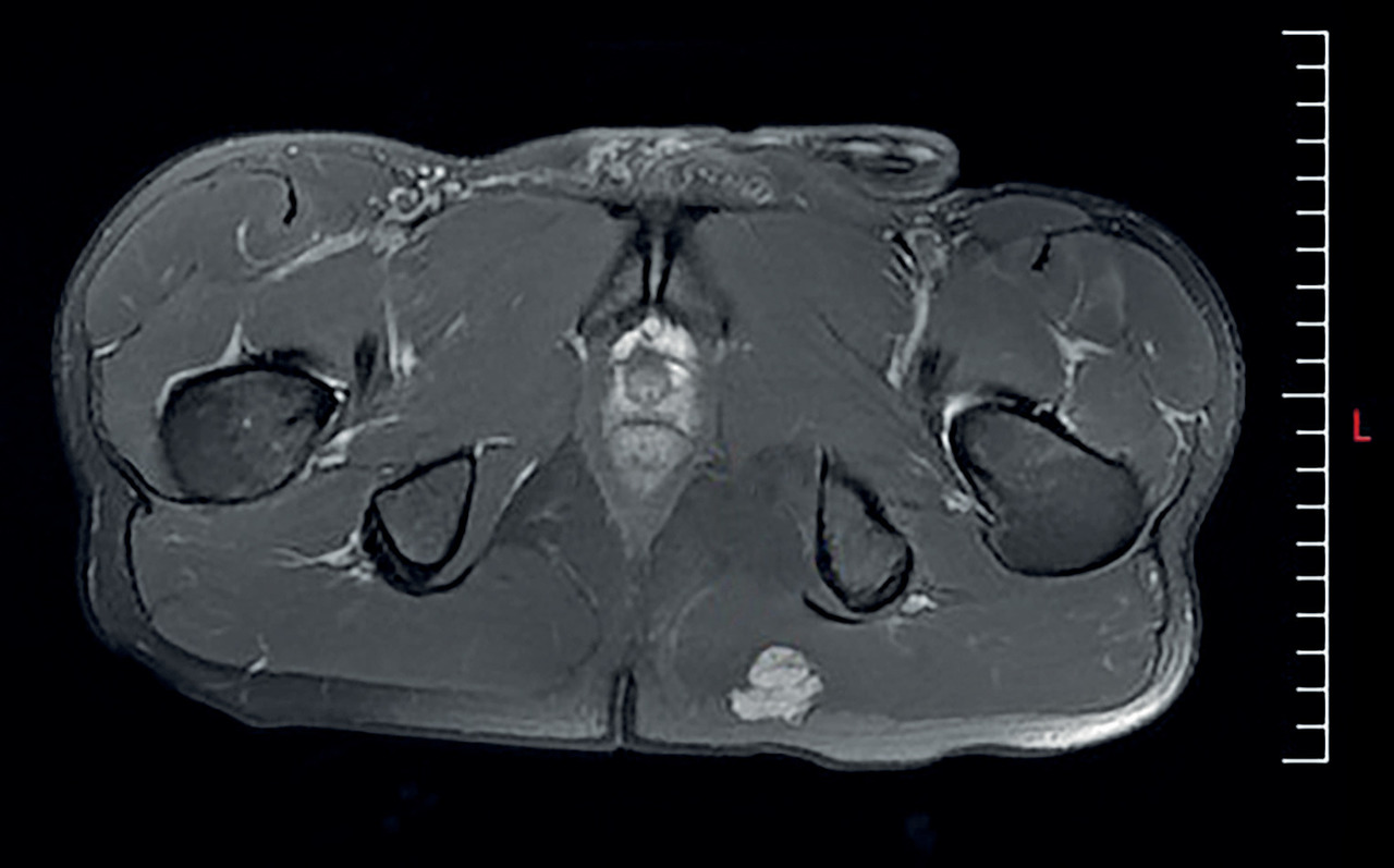
L’IRM fournit le diagnostic, rassurant (figure).
Développée dans le muscle grand glutéal (ex-grand fessier), la tumeur est limitée et superficielle, ce qui est en faveur de séquelles traumatiques et d’une MOC.
Cette affection bénigne touche les tissus mous (les muscles les plus volumineux) et survient le plus souvent chez des jeunes sportifs dans les suites d’un choc (rugby, football, taekwondo notamment). De fait, Jean-Marie reconnaît avoir chuté de manière répétitive ces derniers mois.
Elle évolue en 3 temps : installation (environ 3 semaines), masse douloureuse croissante générant une impotence fonctionnelle ; maturité (au bout de 2 mois), la tuméfaction à sa taille maximale est moins algique ; régression (au-delà de 3 mois), disparition plus ou moins complète des symptômes.
La radiographie est souvent normale et l’échographie peu spécifique ; la TDM montre une tuméfaction au sein des tissus mous. L’IRM révèle une masse dans le muscle et dans certains cas un niveau liquide-liquide. Cette image est rehaussée par l’injection de gadolinium.
Du fait de leur régression spontanée, les MOC ne requièrent aucun geste chirurgical.
Jean-Marie a cependant souhaité une exérèse, réalisée car la tuméfaction était ancienne, la chirurgie précoce exposant à un grand risque de récidive.
Cette affection bénigne touche les tissus mous (les muscles les plus volumineux) et survient le plus souvent chez des jeunes sportifs dans les suites d’un choc (rugby, football, taekwondo notamment). De fait, Jean-Marie reconnaît avoir chuté de manière répétitive ces derniers mois.
Elle évolue en 3 temps : installation (environ 3 semaines), masse douloureuse croissante générant une impotence fonctionnelle ; maturité (au bout de 2 mois), la tuméfaction à sa taille maximale est moins algique ; régression (au-delà de 3 mois), disparition plus ou moins complète des symptômes.
La radiographie est souvent normale et l’échographie peu spécifique ; la TDM montre une tuméfaction au sein des tissus mous. L’IRM révèle une masse dans le muscle et dans certains cas un niveau liquide-liquide. Cette image est rehaussée par l’injection de gadolinium.
Du fait de leur régression spontanée, les MOC ne requièrent aucun geste chirurgical.
Jean-Marie a cependant souhaité une exérèse, réalisée car la tuméfaction était ancienne, la chirurgie précoce exposant à un grand risque de récidive.
PouR en savoir plus
– Audoual T, et al. Tombé sur un os. Rev Prat Med Gen 2015;29:762.
– Alouini R, et al. Une image inquiétante. Concours Med 2005;127:159-61.
– Alouini R, et al. Une image inquiétante. Concours Med 2005;127:159-61.
Une question, un commentaire ?