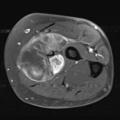
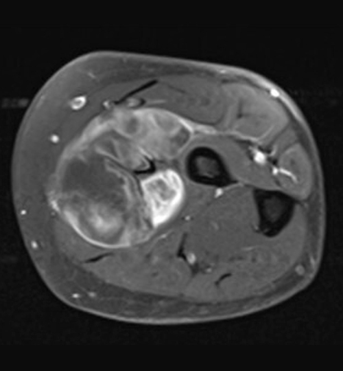
Les sarcomes, cancers des tissus conjonctifs, sont des tumeurs rares et hétérogènes qui affectent environ 6 000 individus par an en France avec plus de 150 sous-types répertoriés dans la dernière classification de l’OMS. Si la majorité des sarcomes surviennent de manière sporadique, certains facteurs sont toutefois bien identifiés comme les favorisant, notamment des maladies génétiques rares (syndrome de Li-Fraumeni) ou l’exposition à des radiations ionisantes (radiothérapie). Tout le corps peut être affectué, mais en particulier les tissus mous (75 %), les viscères (15 %) et les os (10 %). Des centres de référence prennent en charge cette pathologie, tant elle est rare et complexe.

Un dossier exhaustif.

À lire :

Valentin T, Penel N, Toulmonde M. Sarcomes : une entité plurielle.  Rev Prat 2025 ;75(9) ;954 - 8.

Gantzer J, Bouhamama A, Macagno N. Le diagnostic de sarcome relève d’une expertise d’équipe.  Rev Prat 2025 ;75(9) ;959 - 62.

Watson S. Apports de la biologie moléculaire dans les sarcomes.  Rev Prat 2025 ;75(9) ;963.

Bonvalot S, Tzanis D, Bouhadiba T, et al. Prise en charge chirurgicale des sarcomes des tissus mous.  Rev Prat 2025 ;75(9) ;964 - 8.

Briand S, Court C, Bouthors C. Prise en charge chirurgicale des sarcomes osseux.  Rev Prat 2025 ;75(9) ;969 - 73.

Gaspar N, Dufresne A, Verret B. Traitements médicaux des sarcomes osseux, des sarcomes des tissus mous et des GIST.  Rev Prat 2025 ;75(9) ;974 - 8.

Llacer-Moscardo C. Radiothérapie dans le traitement des sarcomes.  Rev Prat 2025 ;75(9) ;979 - 80.

Lervat C. Sarcomes et dispositifs adolescents et jeunes adultes.  Rev Prat 2025 ;75(9) ;981 - 2.

Brahmi M. Sarcomes : les 10 messages clés.  Rev Prat 2025 ;75(9) ;983.