Le cancer est une maladie de la sénescence cellulaire, et par là même de la vieillesse. Elle s’avère particulièrement fréquente chez le sujet âgé de plus de 70 ans. Or cette classe d’âge va plus que doubler dans les cinquante prochaines années et le nombre des plus de 85 ans va presque quadrupler. La prise en charge de patients âgés par l’oncologue radiothérapeute est donc une réalité quotidienne. Les cancers les plus fréquents dans cette classe d’âge sont ceux du sein et de l’endomètre, de la prostate, du côlon et du rectum, de la sphère ORL et des bronches. La radiothérapie est une arme thérapeutique majeure dans le traitement des cancers dont les sujets âgés doivent pouvoir bénéficier, au même titre que les plus jeunes. Elle est proposée à 60 à 70  % des patients au cours de la prise en charge du cancer, à visée curative dans deux tiers des cas.

Consultation de radiothérapie adaptée à la personne âgée

La consultation médicale initiale doit avant tout légitimer l’indication de la radiothérapie à partir d’un bilan correct de la maladie – sans sous-évaluation liée à l’âge – et définir clairement l’objectif curatif ou palliatif recherché  : survie, bénéfice clinique, régression d’un symptôme, etc. Les objectifs du traitement peuvent être modulés en fonction de l’espérance de vie supposée du patient et des risques compétitifs de décès liés aux maladies associées. La question d’une inclusion dans un essai thérapeutique doit être anticipée en réunion de concertation pluridisciplinaire (RCP) et réévaluée lors de cette consultation. Les personnes âgées sont sous-représentées dans les essais thérapeutiques de radiothérapie. 

La consultation initiale conduit à l’évaluation a priori de la faisabilité de l’irradiation, au choix de la technique, à l’information du patient sur les modalités pratiques et les effets indésirables potentiels. La grande majorité des personnes âgées souhaitent être informées du diagnostic, des modalités thérapeutiques et du pronostic de leur cancer.1

L’oncologue radiothérapeute en charge du patient âgé doit rechercher des éléments de fragilité gériatrique et adresser le patient à l’oncogériatre au moindre doute, notamment pour un score G8 inférieur ou égal à 14.2 Sont répertoriés les antécédents significatifs et les maladies associées, la notion de chute récente, l’indice de performance, la perte de poids chiffrée et l’indice de masse corporelle, l’environnement psychosocial du patient et les personnes ressources, l’état cognitif et la notion de syndrome dépressif. 

Les interactions entre radiothérapie et comorbidités peuvent complexifier, voire interdire, l’irradiation. C’est le cas pour les patients atteints de démence ou de maladie de Parkinson sévère pour lesquels l’immobilité — requise pendant la séance — est impossible. L’irradiation peut être compliquée par la présence d’un stimulateur cardiaque ou d’un défibrillateur ne devant pas être irradié et être régulièrement vérifié par le rythmologue, ajoutant des déplacements supplémentaires, source d’une majoration de l’asthénie. 

La polymédication est à rechercher systématiquement pour anticiper les risques d’interactions avec les radiations ionisantes ou la majoration des complications radio-induites (par exemple, hypokaliémie sous diurétiques majorée par une diarrhée lors d’une irradiation pelvienne).3 

La consultation médicale initiale est donc souvent longue et doit rechercher l’adhésion du patient au programme de soins. Elle est systématiquement suivie d’une consultation paramédicale par un manipulateur, qui vérifie la compréhension du traitement proposé et guide au mieux les soins de support nécessaires.

Pendant le traitement, les consultations médicales auprès de l’oncologue radiothérapeute doivent être rapprochées, au moins hebdomadaires, voire bihebdomadaires, en cas de chimiothérapie associée pour contrecarrer rapidement les effets indésirables aigus. L’hospitalisation ne doit pas être systématique pour ne pas rompre les repères du patient mais adaptée au cas par cas, en fonction des fragilités gériatriques et de la survenue d’effets indésirables sévères.

Les effets indésirables sont fonction de la zone anatomique traitée, de l’importance du volume traité et de la dose délivrée. On distingue les effets aigus survenant pendant et dans les semaines suivant la radiothérapie, guérissant sans séquelles, des effets tardifs à plus de six mois de la fin du traitement, pouvant évoluer vers une séquelle définitive avec un processus fibrosant (fibrose radique) et une perte de la fonctionnalité du tissu concerné contre laquelle il n’existe pas de traitement actuellement.4 Il n’y a pas de parallélisme entre la survenue d’effets aigus et de complications tardives. La prévention de ces complications est essentielle, fondée sur l’utilisation de techniques innovantes permettant une meilleure protection des tissus sains (organes à risque = OAR) et sur le respect des contraintes dosimétriques liées à ces organes.5 

Préparation technique de la radiothérapie  : précautions chez la personne âgée

Une fois l’indication de radiothérapie retenue, le parcours technique est mis en place  : choix de la position de traitement, acquisition des données anatomiques pour établir la dosimétrie puis traitement proprement dit.Chez le sujet âgé, certaines positions peuvent s’avérer impossibles comme le décubitus ventral ou l’hyper­extension de la tête, le plus souvent en raison de défaut de mobilité et/ou de pathologies rhumatologiques associées. Les systèmes de contention sont indispensables pour maintenir l’immobilité dans une position souvent peu confortable, systèmes garants d’une meilleure précision de l’irradiation, d’une meilleure acceptabilité des séances et possiblement d’une meilleure observance (fig. 1). Tous les calculs dosimétriques sont établis sur une tomodensitométrie (TDM) en position de traitement, les algorithmes de calcul de répartition de la dose d’irradiation étant corrélés au niveau de gris de la TDM.

Le rapport bénéfice/risque de l’injection de la TDM doit être soigneusement évalué, notamment en cas de néphropathie hypertensive ou diabétique, ou de la prise conjointe de médicaments néphrotoxiques. 

En cas d’irradiation pelvienne, le remplissage vésical préconisé pour protéger la vessie et refouler l’intestin grêle peut poser problème (incontinence, sondage à demeure). 

La pose de repères radio-opaques (fiduciels) au pourtour de la tumeur, si elle est effectivement très utile pour améliorer la balistique de l’irradiation dans certains cas de tumeurs très mobiles par exemple, nécessite des allées et venues supplémentaires et peut s’avérer complexe, voire morbide, en cas de traitement anticoagulant ou antiagrégant. 

Enfin, la dosimétrie doit prendre en compte le matériel prothétique (prothèse de hanche, par exemple). 

Choix de la dose, du volume et du fractionnement

Le choix de la dose totale, exprimée en Gray (Gy), et du fractionnement (nombre de séances et dose par séance) est fonction du type histologique de la tumeur, des traitements associés (chimiothérapie, thérapies ciblées…), de la qualité de la résection chirurgicale éventuelle (complète ou non) et de la technique de radiothérapie choisie (radiothérapie conformationnelle ou en conditions stéréotaxiques). Cette dose est indépendante de l’âge.

De même, le volume d’irradiation dépend des extensions tumorales et non de l’âge. Cependant ,des volumes d’irradiation prophylactique peuvent être omis au cas par cas pour limiter la toxicité  ; il en est ainsi de la chaîne mammaire interne dans les cancers du sein avec envahissement ganglionnaire ou des aires ilio-obturatrices dans les cancers de vessie N0.6 

L’hypofractionnement est la règle en situation palliative (8 Gy en une séance dans une métastase osseuse douloureuse,7 six séances de 6 Gy sur un rythme hebdomadaire pour les cancers de vessie, à visée hémostatique, par exemple).8

En situation curative, la justification de l’hypofractionnement est fondée sur la limitation des allées et venues, donc de la fatigue et d’un maintien de l’organisation des soins au domicile (aide-ménagère, kinésithérapie, etc.). Bien entendu, cet hypofractionnement sous-entend une efficacité antitumorale et une tolérance identique (voire meilleure) à un schéma normo-fractionné. De nombreuses études ont démontré la non-infériorité de divers essais d’hypofractionnement  : protocole START B (40 Gy en 15 fractions) dans les cancers du sein avec ou sans traitement des aires ganglionnaires,9 voire de 26 Gy en 5 fractions (schéma FAST-Forward) pour l’irradiation limitée au sein  ;10 traitement des cancers bronchiques non à petites cellules ou de la vessie à la dose de 55 Gy en 20 fractions (au lieu de 66 Gy en 33 fractions)  ;11 traitement des cancers de la prostate sans atteinte ganglionnaire à la dose de 60 Gy en 20 fractions (au lieu de 76 Gy en 38 fractions)  ;12 traitement des glioblastomes à la dose de 40 Gy en 15 fractions (au lieu de 60 Gy en 30 fractions)…13

Techniques innovantes en radiothérapie  : quels bénéfices pour la personne âgée  ?

Systèmes de repositionnement surfacique

La sécurisation du positionnement et la détection des mouvements du patient pendant la séance de radiothérapie, avec arrêt de l’accélérateur, est maintenant possible grâce à des systèmes de repositionnement surfacique. Ces derniers comparent en continu par le biais de caméras infrarouges, le contour cutané de la région anatomique traitée au contour de référence établi lors de la TDM de dosimétrie. Ces systèmes sont donc particulièrement utiles chez la personne âgée pour sécuriser la délivrance de l’irradiation, notamment lorsque la position est pénible à maintenir malgré le système de contention (membres supérieurs relevés, par exemple).

Radiothérapie conformationnelle avec modulation d’intensité

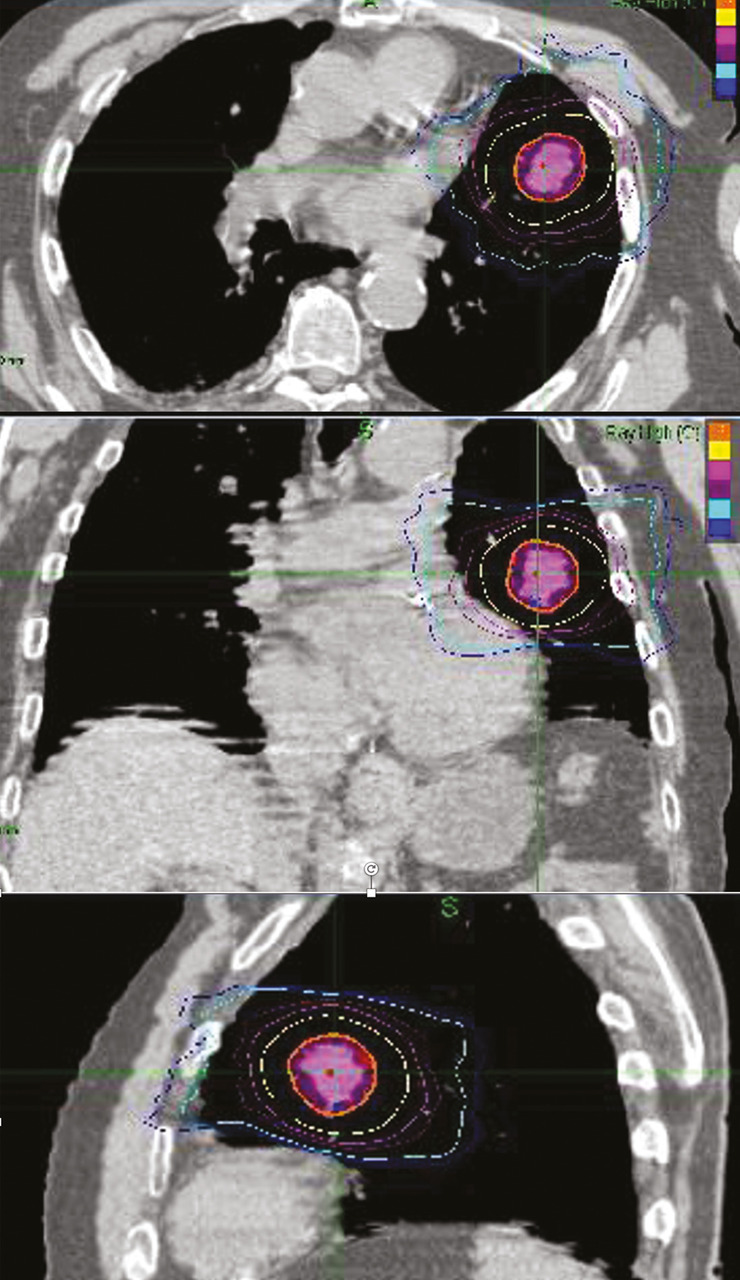
La radiothérapie conformationnelle avec modulation d’intensité (RCMI) – dont il existe plusieurs variantes  : arcthérapie dynamique, tomothérapie – est devenue la technique standard de traitement de la plupart des cancers, notamment en situation curative.14 Elle permet de sculpter la répartition de la dose sur le volume cible (tumeur ou lit tumoral et adénopathies) et ainsi d’épargner les OAR avoisinants (fig. 2). Elle est indissociable d’un contrôle qualité régulier lors du traitement grâce à l’imagerie de contrôle embarquée sur les accélérateurs (imagerie 2D ou 3D scanographique). Si la RCMI est bien sûr utile chez tous les patients, elle prend toute sa place chez la personne âgée, limitant les effets indésirables aigus et tardifs  : diminution très significative de la xérostomie lors des irradiations de la sphère ORL à l’origine de mycoses et de dénutrition d’installation rapide et souvent sévères chez le sujet âgé, diminution de la fréquence et de la sévérité des diarrhées, des rectites et des cystites dans les irradiations abdomino-pelviennes, meilleure protection de la moelle iliaque dans les irradiations pelviennes, ce qui peut être un atout en cas de syndrome myélodysplasique.

Techniques d’asservissement respiratoire

Les techniques d’asservissement respiratoire sont utiles pour limiter voire arrêter les mouvements respiratoires dans les tumeurs thoraciques, maladie de Hodgkin médiastinale et tumeurs proches du diaphragme (pancréas). Les systèmes de blocage respiratoire volontaire spirométriques ou surfaciques15 peuvent paraître d’utilisation complexe chez le sujet âgé et sont inadaptés aux malvoyants et aux malentendants. À l’inverse, le système real-time position management (Varian) est utilisable chez une grande majorité de patients sans effort particulier, en respiration libre. L’irradiation est effectuée de façon discontinue, couplée à la fin de phase expiratoire, la moins mobile, avec un allongement du temps de traitement acceptable en routine.

Radiothérapie en conditions stéréotaxiques

La radiothérapie en conditions stéréotaxiques (SBRT) consiste à délivrer une forte dose d’irradiation en moins de dix séances avec une haute précision dans un volume cible restreint (lésion de moins de 5 cm et pas plus de trois lésions synchrones).16 C’est une technique de haute précision demandant une expertise et un équipement particulier au sein des départements de radiothérapie. Elle peut être réalisée sur un accélérateur classique mais adaptée aux conditions stéréotaxiques ou sur un appareil dédié (Cyberknife  ; fig. 3). Elle n’est pas encore disponible dans toutes les indications dans tous les centres. Ainsi, il faut tenir compte de l’accessibilité au centre de traitement, qui peut nécessiter quelques aménagements logistiques pour les patients les plus âgés ou les plus dépendants. Cependant, le faible nombre de séances en fait un traitement particulièrement attractif chez le sujet âgé, même si la durée de la séance peut être plus longue et l’implantation de fiduciels parfois indispensable. Elle est une alternative à la chirurgie pour les cancers bronchiques non à petites cellules T1 -T2N0M0.17 Elle est aussi particulièrement utile dans la prise en charge des métastases cérébrales en limitant les altérations cognitives en comparaison de l’irradiation de l’encéphale en totalité, quel que soit l’âge. Elle se développe significativement dans les cancers de la prostate localisés de faible risque et dans les cancers du rein. Cependant, peu de données sont actuellement disponibles concernant la toxicité tardive et la qualité de vie chez les patients très âgés traités par SBRT.

Maintenir l’accès aux nouvelles technologies

La radiothérapie est une arme thérapeutique majeure dans le traitement des cancers dont les sujets âgés doivent pouvoir bénéficier, au même titre que les plus jeunes. Il faut être particulièrement prudent dans les associations nouvelles de thérapies ciblées ou d’immunothérapie avec la radiothérapie en plein essor et pour lesquelles les données sont encore très parcellaires dans cette population. La radiothérapie implique donc une prise en charge initiale particulièrement soigneuse pour une adaptation optimale du traitement, en collaboration étroite avec les gériatres. Il importe que l’ensemble de ces patients âgés puisse avoir accès aux nouvelles avancées techniques, en particulier la radiothérapie stéréotaxique.

Références
1. Puts MT, Tapscott B, Fitch M, et al. A systematic review of factors influencing older adults’ decision to accept or decline cancer treatment. Cancer Treat Rev 2015;41:197-215.
2. González Serrano A, Laurent M, Barnay T, et al. A two-step frailty assessment strategy in older patients with solid tumors: A decision curve analysis. J Clin Oncol. 2023;1;41(4):826-34.
3. Novaka J, Goldbergb A, Dharmarajanc K, et al. Polypharmacy in older adults with cancer undergoing radiotherapy: A review. J Geriatr Oncol 2022;13(6):778–83.
4. Fitzgerald TJ, Bishop-Jodoin M, Laurie F, et al. Treatment toxicity: Radiation. Hematol Oncol Clin North Am 2019;33(6):1027-39.
5. Noel G, Antoni D. Organs at risk radiation dose constraints. Cancer Radiother 2022;26:59-7.
6. Tunio MA 1, Hashmi A, Qayyum A, et al Whole-pelvis or bladder-only chemoradiation for lymph node-negative invasive bladder cancer: Single-institution experience. Int J Radiat Oncol Biol Phys 2012;82(3):e457-62.
7. Rapeaud E, Meynard C, Lecante F, et al. Bone metastasis: Efficacy and technical modalities of classical radiotherapy. Cancer Radiother 2021;25(6-7):707-12.
8. Symon N, Mattout J, Lewin R, et al. Is ultra hypofractionated radiation therapy a safe and effective treatment for invasive bladder cancer in the elderly? A retrospective single institution review. Am J Clin Oncol 2021;44(7):369-73.
9. Haviland JS, J Owen JR, Dewar JA, et al. The UK standardisation of breast radiotherapy (START) trials of radiotherapy hypofractionation for treatment of early breast cancer: 10-year follow-up results of two randomised controlled trials. Lancet Oncol 2013;14(11):1086-94.
10. Murray Brunt A, Haviland JS, Wheatley DA, et al. Hypofractionated breast radiotherapy for 1 week versus 3 weeks (FAST-Forward): 5-year efficacy and late normal tissue effects results from a multicentre, non-inferiority, randomised, phase 3 trial. Lancet 2020;23;395(10237):1613-26.
11. Choudhury A , Porta N, Emma Hall E, et al. Hypofractionated radiotherapy in locally advanced bladder cancer: An individual patient data meta-analysis of the BC2001 and BCON trials. Lancet Oncol 2021;22(2):246-55.
12. Dearnaley D, Syndikus I, Mossop H, et al. Conventional versus hypofractionated high-dose intensity-modulated radiotherapy for prostate cancer: 5-year outcomes of the randomised, non-inferiority, phase 3 CHHiP trial. Lancet Oncol 2016;17(8):1047-60.
13. Kuntz L, Noel G, D. Antoni D. Radiothérapie hypofractionnée dans le glioblastome de la personne âgée. Cancer Radiother 2018;22(6-7):647-52.
14. Nakamura K, Sasaki T, Ohga S, et al. Recent advances in radiation oncology: Intensity-modulated radiotherapy, a clinical perspective. Int J Clin Oncol 2014;19(4):564-9.
15. Chen L, Bai S, Li G, et al. Accuracy of real-time respiratory motion tracking and time delay of gating radiotherapy based on optical surface imaging technique. Radiat Oncol 2020;10;15(1):170.
16. Le Tinier F, Padovani L, Vandendorpe B. Traitements par radiothérapie stéréotaxique : indications et situations cliniques particulières. Rev Mal Resp Actual 2021;13:2581-88.
17. Boisselier P, Coutte A, Martin E, et al. Intérêt de la radiothérapie stéréotaxique pour les tumeurs primitives du poumon localisées de stade T1-T2. Cancer Radioth 2022;26:755-9.

Dans cet article

Ce contenu est exclusivement réservé aux abonnés

Résumé

Le cancer est une maladie de la sénescence cellulaire qui s’avère fréquente chez le sujet âgé de plus de 70 ans. Or cette classe d’âge va plus que doubler dans les cinquante prochaines années. La prise en charge des patients âgés par l’oncologue radiothérapeute devient donc une réalité quotidienne et l’aide d’un oncogériatre est précieuse pour les patients les plus fragiles. L’analyse des principales séries publiées démontre la faisabilité de la radiothérapie curative et palliative pour les localisations usuelles après évaluation gériatrique soigneuse. L’objectif de cet article est de faire le point sur les spécificités de la radiothérapie du sujet âgé. Sont abordés en particulier le parcours du patient en radiothérapie, la question de la dose, du volume d’irradiation, du fractionnement et l’intérêt des techniques innovantes pour cette classe d’âge.