Une patiente de 29 ans, sans antécédents particuliers, est admise aux urgences pour un syndrome occlusif avec arrêt des selles et des gaz, associé à des vomissements bilieux et des douleurs abdominales évoluant depuis six jours. L’interrogatoire révèle la notion de manœuvres endovaginales réalisées treize jours avant son admission pour l’interruption d’une grossesse non désirée à douze semaines d’aménorrhée.
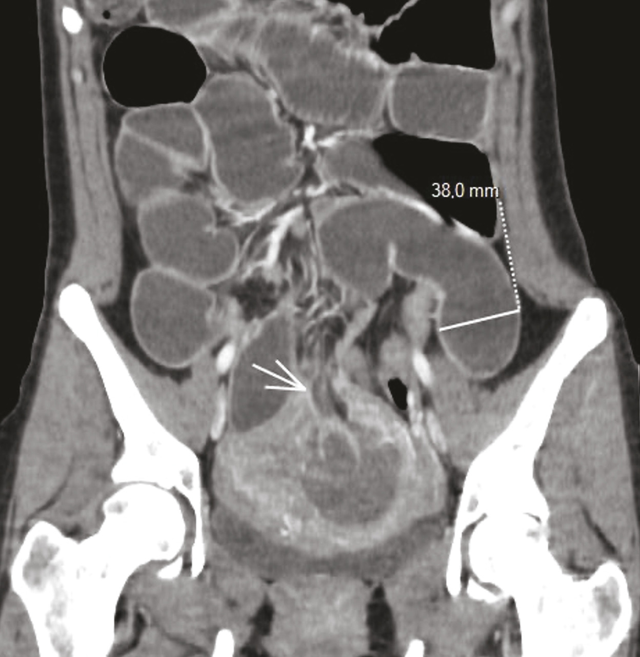
Le scanner (fig. 1 ) et l’imagerie par résonance magnétique (IRM) [fig. 2 ] montrent un défect pariétal du fond utérin avec incarcération d’une anse intestinale en position intra-utérine qui semble discontinue, avec un contenu hématique en hypersignal T1 et une distension de l’intestin grêle d’amont à contenu hydro-aérique, ainsi qu’un épanchement liquidien intrapéritonéal.
La patiente, opérée en urgence, a bénéficié d’une résection de l’anse prolabée, d’une anastomose terminale et de la suture du fond utérin perforé.
Le scanner (
La patiente, opérée en urgence, a bénéficié d’une résection de l’anse prolabée, d’une anastomose terminale et de la suture du fond utérin perforé.
La perforation utérine au cours d’un avortement est rare, et l’incarcération de l’intestin grêle due à une perforation utérine, qui est l’une des principales complications, est exceptionnelle.1 Les facteurs de risque sont l’âge maternel avancé, la parité élevée, l’utérus rétroversé, les antécédents d’avortement ou de césarienne, les antécédents de biopsie du cône.1
Les symptômes de perforation utérine ne sont pas spécifiques (douleurs abdominales, fièvre, frissons, vomissements et diarrhée), ce qui peut retarder le traitement chirurgical.2
Ces perforations sont principalement localisées au niveau du fond utérin, l’intestin grêle étant le plus souvent lésé en raison de sa position centrale dans le bassin, de sa longueur et de sa mobilité.2
Les symptômes de perforation utérine ne sont pas spécifiques (douleurs abdominales, fièvre, frissons, vomissements et diarrhée), ce qui peut retarder le traitement chirurgical.2
Ces perforations sont principalement localisées au niveau du fond utérin, l’intestin grêle étant le plus souvent lésé en raison de sa position centrale dans le bassin, de sa longueur et de sa mobilité.2
Références
1. Grimes DA, Schulz KF, Cates W. Prevention of uterine perforation during curettage abortion. J Am Med Assoc 1984;251(16):210-1.
2. Leibner EC. Delayed presentation of uterine perforation. Ann Emerg Med 1995;26:643-6.
2. Leibner EC. Delayed presentation of uterine perforation. Ann Emerg Med 1995;26:643-6.
Une question, un commentaire ?