objectifs
Diagnostiquer une péricardite aiguë.
Identifier les situations d'urgence et planifier leur prise en charge.

Définition

La péricardite aiguë est une inflammation des feuillets du péricarde, qui s’accompagne parfois d’un épanchement péricardique.

Épidémiologie

En Europe, l’incidence de la péricardite est estimée entre 3 et 30 cas/100 000 habitants/an. Elle représente 5 % des causes de douleurs thoraciques admises aux urgences.

Physiopathologie

Le péricarde est une membrane fibreuse dont le feuillet pariétal entoure le cœur et la racine des gros vaisseaux, et dont le feuillet viscéral recouvre le myocarde. Ces deux membranes forment un sac contenant physiologiquement quelques millilitres de liquide. La péricardite est une inflammation des feuillets péricardiques responsable d’une réaction œdémateuse et une friction plus importante. L’inflammation s’accompagne parfois d’une sécrétion de liquide exsudatif. Dans 10 à 15 % des cas, la péricardite s’accompagne d’une atteinte myocardique, on parle alors de myopéricardite, souvent détectée par l’élévation de la troponine sur le bilan biologique.

Clinique

Signes fonctionnels

Le symptôme principal est la douleur thoracique. Elle est le plus souvent subaiguë, intense, retrosternale et constrictive ou en coup de poignard. Elle peut aussi être localisée dans la région précordiale, ou irradier dans la région cervicale ou les membres supérieurs. La douleur est majorée en décubitus dorsal, et soulagée par l’antéflexion.

Examen clinique

Le patient présente souvent une fébricule (< 38,5 °C) et une tachycardie sinusale.
À l’auscultation, on recherche un frottement péricardique, classiquement décrit comme un bruit de « marche dans la neige » ou de « froissement du cuir ». Il est pathognomique de la péricardite. Son intensité est augmentée dans la région parasternale gauche et en antéflexion. Il est perçu en systole et en diastole, ne disparaît pas en apnée, et son intensité peut varier avec le temps. Il est souvent très fugace, et sa perception nécessite donc de répéter souvent l’auscultation.
La présence d’une hypotension artérielle, d’une turgescence jugulaire ou d’un pouls paradoxal de Kussmaul (diminution du pouls en inspiration) sont des signes de tamponnade. Cette situation est rare dans le cadre d’une péricardite aiguë, mais constitue une urgence vitale.

Diagnostic positif

Le diagnostic positif repose sur l’association d’au moins deux critères parmi les signes cliniques (douleur thoracique, frottement péricardique), l’électrocardiogramme (sous-décalage du segment PQ, sus-décalage ST non systématisé), et l’échographie cardiaque (épanchement péricardique) [encadré].

Diagnostic différentiel

Le symptôme principal de la péricardite aiguë étant la douleur thoracique, il faudra éliminer d’emblée et systématiquement les trois autres diagnostics pouvant engager le pronostic vital : infarctus du myocarde, embolie pulmonaire, dissection aortique. Certaines caractéristiques peuvent aider au diagnostic différentiel (tableau).

Examens complémentaires

Radiographie thoracique

Elle est classiquement normale. En cas d’épanchement péricardique, la silhouette cardiaque apparaît élargie « en carafe ». Elle peut également révéler des épanchements pleuraux ou des signes d’infection pulmonaire.

Électrocardiogramme

C’est souvent l’examen clé pour confirmer le diagnostic (fig. 1). On décrit classiquement une évolution selon quatre stades : 1) sous-décalage du segment PQ (souvent plus visible dans les dérivations inférieures DII, DII, aVF) et/ou sus-décalage du segment ST (diffus, convexe vers le haut, sans aspect de miroir) ; 2) normalisation du segment ST ; 3) négativation des ondes T sans sous-décalage du segment ST ; 4) normalisation de l’ECG. Il est toutefois rare d’observer ces quatre stades consécutivement, et les anomalies ECG ne sont présentes que dans 60 % des cas environ. L’ECG devra être répété pour mettre en évidence les anomalies décrites ci-dessus car les anomalies peuvent être fugaces.
La présence d’un microvoltage (QRS < 5 mm) est évocateur d’un épanchement péricardique significatif.

Biologie

La numération sanguine peut retrouver une hyperleucocytose, souvent modérée. La CRP est le plus souvent élevée également de manière modérée du fait du caractère le plus souvent viral de l’infection. Le dosage de la troponine peut être réalisé pour rechercher une atteinte myocardique associée (myopéricardite).

Échographie cardiaque

L’objectif est de rechercher un éventuel épanchement péricardique et de quantifier son importance et son retentissement sur les cavités cardiaques. Dans deux tiers des cas, on peut retrouver un décollement péricardique, le plus souvent minime (< 10 mm) et sans retentissement. Un épanchement significatif (> 20 mm) est rare, et doit faire rechercher une cause spécifique plutôt qu’une origine virale bénigne. Quelle que soit l’importance de l’épanchement péricardique, la compression des cavités droites constitue un tableau de tamponnade souvent accompagné de signes cliniques évocateurs (v. Examen clinique). Le retentissement de l’épanchement péricardique n’est pas lié à son importance mais à sa vitesse d’apparition, il n’y a donc pas de corrélation entre l’abondance de l’épanchement et son retentissement.
En dehors d’un éventuel épanchement péricardique, l’échographie est normale. Un trouble de cinétique segmentaire ou une altération de la fraction d’éjection doit faire suspecter un infarctus du myocarde ou une myocardite. Une fuite aortique doit faire rechercher une dissection aortique.

IRM cardiaque

Inutile en cas de péricardite aiguë virale bénigne, elle peut s’avérer utile en cas d’élévation concomitante de la troponine ou en cas de doute sur un syndrome coronaire aigu sans anomalie notable sur la coronarographie. Dans ces conditions, l’IRM est l’examen le plus sensible pour éliminer un infarctus sous-endocardique. Dans le cas d’une myopéricardite, les séquences de rehaussement tardif peuvent révéler des hypersignaux intramyocardiques ou sous-épicardiques (v. Formes cliniques).

Formes cliniques

Péricardite aiguë virale bénigne

L’infection virale bénigne est la cause la plus fréquente de péri­cardite aiguë. Elle représente plus de 90 % des causes, et concerne le plus souvent les sujets jeunes.
À l’interrogatoire, il y a fréquemment un syndrome viral ORL ou digestif dans les jours ou semaines précédant la péricardite. Le diagnostic positif est fondé sur l’interrogatoire et le contexte infectieux viral, et un syndrome inflammatoire biologique souvent modéré. Les sérologies virales ne sont pas utiles pour la confirmation diagnostique et n’influencent pas la prise en charge. L’échographie est souvent normale mais peut parfois retrouver un épanchement péricardique modéré.
Sous traitement anti-inflammatoire et colchicine, la douleur cède en quelques jours ou quelques semaines, et l’évolution est le plus souvent simple.

Myopéricardite

Il s’agit d’une péricardite aiguë virale bénigne à laquelle s’associe une atteinte myocardique. Elle représente environ 30 % des cas. Le diagnostic repose le plus souvent sur l’élévation concomitante de la troponine sur le bilan biologique. Selon les descriptions de la douleur et l’aspect ECG, le diagnostic différentiel avec un infarctus du myocarde peut être délicate. L’IRM cardiaque est alors l’examen clé pour éliminer formellement l’hypo­thèse de l’infarctus sur les séquences de rehaussement tardif. En cas d’infarctus, il y a un hypersignal sous-endocardique systématisé. En cas de myopéricardite, l’hypersignal est intramyocardique ou sous-épicardique, nodulaire et non systématisé, parfois associé à un décollement péricardique (fig. 2) ; l’anomalie n’est toutefois présente que dans 30 % des cas, et l’IRM normale n’élimine donc pas le diagnostic de myopéricardite. Si la douleur est au premier plan, la prise en charge est identique à celle de la péricardite ; en absence de douleur, le traitement est débattu et non systématique.

Péricardite post-infarctus du myocarde

La péricardite associée à l’infarctus du myocarde est peu fréquente. Elle peut être précoce, dans les trois premiers jours suivant l’infarctus, souvent lors d’un infarctus étendu sans procédure de reperfusion. Il s’agit souvent d’une découverte fortuite avec un épanchement péricardique en échographie, rarement associé à des douleurs thoraciques. Cette péricardite post-infarctus précoce ne nécessite pas de traitement spécifique, mais une surveillance échographique pour contrôler l’évolution de l’épanchement.
La péricardite peut aussi survenir plus tardivement après l’infarctus, entre la deuxième et troisième semaine (syndrome de Dressler). Elle se présente alors sous une forme relativement typique, associant douleur thoracique, fébricule et frottement péricardique à l’auscultation. Le traitement est identique à celui de la péricardite aiguë virale bénigne, et l’évolution habituellement favorable sous traitement.

Autres causes

La péricardite peut compliquer certaines maladies auto-immunes ou inflammatoires chroniques. La péricardite survient alors que la maladie sous-jacente est déjà connue, avec une intensité et un risque de récidive d’autant plus élevé que la maladie sous-jacente est active. Les maladies sous-jacentes les plus fréquentes sont le lupus érythémateux, la sclérodermie, certaines vascularites, la sarcoïdose, la rectocolite hémorragique ou la maladie de Crohn.

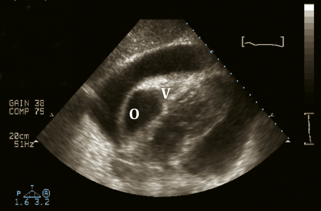
Tamponnade

La tamponnade correspond à la compression des cavités droites par un épanchement péricardique (fig. 3). Il s’agit d’une urgence médicale. Le diagnostic repose sur les signes d’insuffisance cardiaque droite : turgescence jugulaire, pouls paradoxal. Il peut y avoir des signes de choc : hypotension, vasoconstriction périphérique.
Elle complique exceptionnellement une forme virale bénigne. Elle se rencontre plus volontiers dans un contexte de cancer, tuberculose, insuffisance rénale chronique dialysée, traumatisme, complication de geste endovasculaire (coronarographie, pacemaker...), rupture post-infarctus...

Signes de gravité

Ce sont essentiellement des signes évocateurs d’un épanchement péricardique compliqué d’une tamponnade. Les signes généraux sont une tachycardie et une polypnée.
À l’examen clinique, hypotension, turgescence jugulaire et pouls paradoxal (pouls atténué en inspiration).
Sur la radiographie thoracique, un élargissement de la silhouette cardiaque. Sur l’électrocardiogramme, microvoltage diffus des QRS (amplitude < 5 mm).
En échographie cardiaque, épanchement abondant avec reten­tissement sur les cavités cardiaques droites.

Évolution

L’évolution est le plus souvent favorable sous traitement, sans complication dans 90 % des cas. La douleur initiale est rapidement soulagée dès la première prise d’acide acétylsalicylique. Les douleurs peuvent être récurrentes les premiers jours, puis vont s’estomper et disparaître complètement.
La complication la plus fréquente est la récidive, parfois favorisée par une mauvaise adhérence au traitement. Elle concerne 15 à 30 % des patients.

Traitement

Dans la forme classique aiguë virale bénigne, la prise en charge est ambulatoire. Une hospitalisation sera proposée en cas d’éléments inhabituels : fièvre > 38 °C, altération de la fraction d’éjection en échographie, épanchement péricardique abondant (> 20 mm), altération de l’état général, anomalie biologique.

Péricardite aiguë virale bénigne

Son traitement est réalisé en ambulatoire, sans hospitalisation, et repose sur l’association d’un traitement anti-inflammatoire associé à de la colchicine.
Il est également recommandé un arrêt de travail pendant 15 jours. Pas d’activité sportive pendant 3 semaines. Chez les sportifs de haut niveau, la reprise n’est autorisée qu’après 3 mois, après normalisation de tous les examens (électrocardiogramme, biologie, échographie). Le repos est un élément prépondérant de la guérison.
Deux schémas thérapeutiques peuvent être proposés :
  • acide acétylsalicylique 1 000 mg x 3/j pendant 3 semaines + colchicine 1 mg pendant 3 mois ;
  • ou ibuprofène 600 mg x 3/j pendant 3 semaines + colchicine 1 mg pendant 3 mois.
En cas de récurrence des douleurs après l’arrêt du traitement anti-inflammatoire, celui-ci pourra être reconduit. Le traitement par colchicine peut parfois aussi être maintenu 6 mois voire un an chez certains patients qui gardent des douleurs à l’arrêt du traitement (environ 10 % des cas). Toutefois, la nécessité de prolonger le traitement au-delà de 3 mois doit faire rechercher de principe une étiologie autre que virale bénigne (v. Formes cliniques).Les corticoïdes doivent être évités car favorisant les récidives.

Tamponnade

La tamponnade correspond à la compression des cavités droites par un épanchement péricardique. Un remplissage par sérum salé isotonique doit être initié pour maintenir la pression des cavités droites. Si l’épanchement survient dans les suites d’une chirurgie thoracique, la reprise chirurgicale pour drainage est la règle, car elle permettra de refaire un point sur l’hémostase locale. En dehors de ce contexte, le drainage peut également être réalisé par ponction guidée sous échographie. La voie d’abord la plus classique est la voie sous-xiphoïdienne. Selon la description de l’épanchement en échographie, une voie apicale peut être envisagée.
Lorsqu'une ponction est réalisée, il faudra systématiquement prévoir une analyse du liquide comprenant (protéines, rapport protéine du liquide/protéine du sérum plasmatique, LDH, amylase ou lipase, Numération des cellules du liquide, PCR pour la tuberculose, Microbiologie en culture aérobie et anaérobie et anatomie pathologie. Triglycérides si suspicion de chylopéricardite.
Encadre

Criteres diagnostiques

◗ Interrogatoire : douleur thoracique rétrosternale ou précordiale, aiguë et souvent très intense, soulagée par l’antéflexion.

◗ Auscultation : frottement péricardique à l’auscultation, fugace, d’où la nécessité de répéter l’auscultation.

◗ ECG : sus-décalage ST diffus ou sous-décalage segment PQ, sans signe en miroir.

◗ Échographie : décollement péricardique.

Encadre

Critères d’hospitalisation

●Fièvre >39°C

●Épanchement péricardique abondant

●Absence de réponse après une semaine de traitement par aspirine ou AINS/colchicine, myopéricardite

●Contexte d’immunosuppression

●Patient sous traitement anticoagulant oral.

Points forts
Péricardite aiguë

POINTS FORTS À RETENIR

La forme la plus fréquente est la péricardite aiguë virale bénigne du sujet jeune.

Le diagnostic repose sur les caractéristiques de la douleur, l’ECG et la biologie.

L’évolution sous traitement est très souvent favorable.

Les diagnostics différentiels engageant le pronostic vital (infarctus du myocarde, embolie pulmonaire, dissection aortique) doivent être systématiquement écartés.

La tamponnade est rare mais doit être rapidement identifiée pour une prise en charge en urgence.

Message auteur

Péricardite aiguë

Ce qu’on attend d’un candidat à l’ECN

Une douleur thoracique survenant chez un sujet jeune, dans un contexte viral récent ou avec une fébricule, doit faire évoquer en première intention une péricardite. Ce diagnostic pourra rapidement être confirmé par les caractéristiques de la douleur, la présence d’un frottement péricardique et des anomalies ECG. Les signes cliniques ECG sont fugaces et seront d’autant plus perçus qu’on répétera l’auscultation et l’ECG.

Devant une suspicion de péricardite, même si le diagnostic semble évident d’emblée, il faut systématiquement éliminer les diagnostics pouvant mettre en jeu le pronostic vital : infarctus du myocarde, dissection aortique, embolie pulmonaire. Chaque étiologie présente des caractéristiques typiques pour la description de la douleur, les signes d’accompagnement et les examens complémentaires.

La péricardite aiguë du sujet jeune est virale dans près de 90 % des cas. Sauf symptomatologie inhabituelle ou résultat biologique aberrant, le bilan étiologique n’est pas utile. Le traitement repose sur l’association d’un traitement anti-inflammatoire et de la colchicine. Sous ce traitement, l’évolution est favorable, et la complication la plus fréquente est la récidive, qui nécessitera de reconduire ou poursuivre le traitement. En cas de récurrences multiples, le bilan étiologique pourra être approfondi.

Une tamponnade complique exceptionnellement la péricardite aiguë, mais c’est une urgence vitale. Il faut donc connaître et identifier rapidement les signes cliniques évocateurs.

Dans cet article

Ce contenu est exclusivement réservé aux abonnés