La colique néphrétique nécessite le plus souvent une consultation en urgence. Elle est due, dans une très grande majorité des cas, à une obstruction urétérale provoquée par la migration d’un calcul urinaire. La confirmation du diagnostic et la recherche de complications permettent d’adapter la stratégie de traitement et de surveillance. Des recommandations françaises de bonne pratique, publiées en 2022 par plusieurs sociétés savantes, encadrent la prise en charge des calculs et de la lithiase urinaire.

La colique néphrétique est un motif très fréquent de consultation ou de recours en urgence. Très majoritairement en rapport avec un calcul urétéral migré depuis le rein, sa prise en charge a fait l’objet, en 2022, de recommandations de bonne pratique francophones de plusieurs sociétés savantes, dans le cadre plus général de la pathologie lithiasique.1

Présentation clinique dominée par une douleur intense et brutale

Le syndrome clinique de colique néphrétique associe une douleur latéralisée sous-costale ou du flanc ou des lombes, très intense et d’installation très brutale, maximale d’emblée, avec une fréquente irradiation homolatérale vers les organes génitaux externes (vulve, gland, scrotum) et souvent très angoissante pour le premier épisode. Des signes digestifs (nausées) et une hématurie visible ou microscopique (bandelette) s’y associent souvent. 

L’examen physique est peu spécifique (hormis une majoration de la douleur à la percussion lombaire) et sans grande valeur de localisation d’un calcul. Seule la présence de signes mictionnels (impériosités notamment) est en faveur d’un calcul à proximité de la vessie.

La douleur met en jeu l’obstruction brutale du haut appareil urinaire, aboutissant à une hausse de la contractilité du péristaltisme urétéral et de la pression intrapyélique (parfois jusqu’à une rupture de la voie excrétrice et la constitution d’un urinome périrénal).

La présentation initiale est parfois plus trompeuse, avec des signes associés ou une douleur irradiée au premier plan (nausées ou douleur scrotale prédominantes, par exemple). 

Il n’y a pas de corrélation entre douleur et type d’obstruction, ni entre douleur et taille du calcul, ni même entre fin des douleurs et disparition de l’obstruction.

Diagnostics positif et différentiel reposant sur l’imagerie 

L’imagerie doit permettre :

  • d’éliminer les diagnostics différentiels que sont les autres causes de douleur issue du rétropéritoine, notamment une pathologie aortique (moins fréquente mais compromettant le pronostic vital), une pathologie infectieuse du rein (pyé­lonéphrite ou abcès) ou encore un infarctus rénal ;
  • en cas de colique néphrétique, de déterminer la cause de l’obstruction, calcul dans la majorité des cas, ou bien syndrome de la jonction pyélo-urétérale (d’évolution chronique mais responsable d’obstructions intermittentes), tumeur de la voie excrétrice, caillotage de la voie excrétrice (tumorale ou troubles de la coagulation) ;
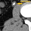
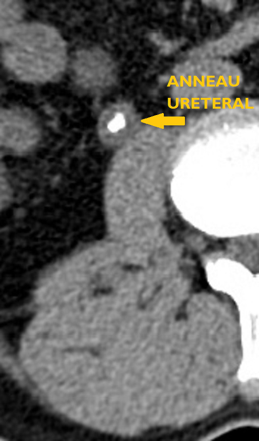
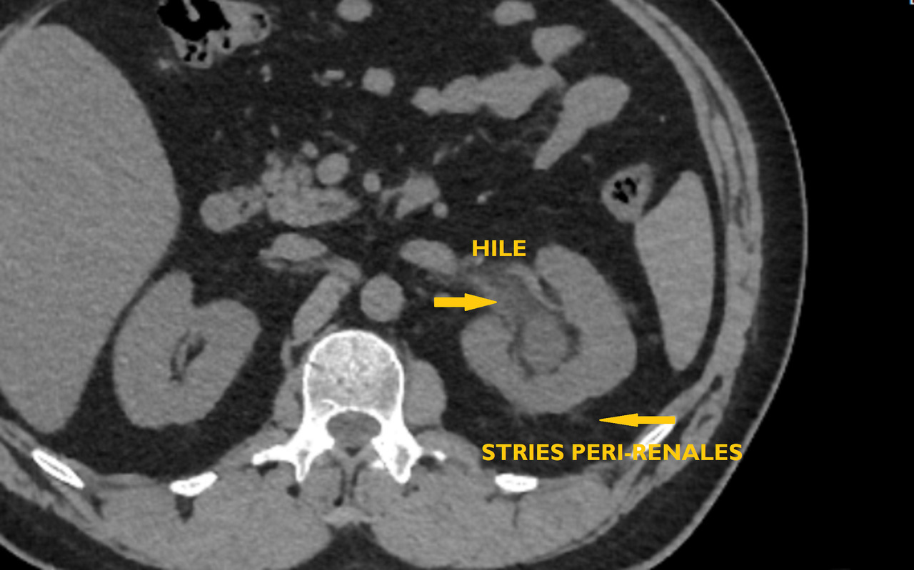
  • en cas de calcul, de déterminer sa taille et sa localisation (impact pronostique important pour l’expul­sion spontanée ou le choix d’une technique interventionnelle) et leur nombre en cas de calculs multiples (fig. 1 et 2).

Autant que possible, l’imagerie doit être la plus précoce possible. La différer comporte, en effet, le risque d’une incertitude diagnostique en cas de réalisation postérieure à l’expulsion spontanée d’un calcul non vu et non récupéré.

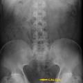
La sensibilité de l’échographie ou de l’abdomen sans préparation (ASP) isolément pour le diagnostic de calcul (respectivement de 80 et 90 %) ne les font recommander qu’en association (fig. 3). Pour l’imagerie initiale, cette association a été supplantée par le scanner abdominal compte tenu de sa rapidité de réalisation, pour un surcoût marginal, et de sa grande efficacité pour le diagnostic positif et différentiel. Le scanner a, en outre, un impact pronostique important pour l’expulsion spontanée (en fonction de la taille et de la localisation au diag­nostic) mais aussi le choix du traitement, la sensibilité aux ondes de choc étant à peu près corrélée à la densité tomodensitométrique. 

Compte tenu du cumul d’irradiation, même de plus en plus faible grâce aux protocoles basses doses et sans injection (donc une seule hélice d’acquisition), l’examen ne peut être proposé à titre systématique itérativement pour le suivi ultérieur. En cas de doute diagnostique ou en l’absence de calcul, un complément d’imagerie avec injection de produit de contraste est recommandé.

Recherche de complications, indications du drainage urgent

Deux complications vitales et une complication fonctionnelle peuvent survenir au décours d’une colique néphrétique :

  • la dégradation de la fonction rénale, avec éventuellement une hyperkaliémie (notamment en cas de calculs bilatéraux ou de rein unique anatomique ou fonctionnel) ;
  • un syndrome infectieux (parfois précédé d’un syndrome inflammatoire biologique), témoignant d’une infection des urines en amont de l’obstacle et du risque d’évolution vers un état septique sévère ;
  • des douleurs ne cédant pas aux antalgiques de première intention et compromettant donc le retour à domicile sous traitement per os seul.
 

Le drainage urinaire, en première intention par endoprothèse posée par voie rétrograde (sonde JJ) ou en deuxième intention par une ­néphrostomie percutanée (en l’absence de contre-indication liée à l’hémostase), est requis pour les complications vitales, préalablement à un traitement du calcul. Le drainage peut éventuellement être associé à un traitement interventionnel dans le même temps en cas de seule douleur réfractaire.

Analgésie médicamenteuse

Socle antalgique : AINS et paracétamol

Le traitement médical de la douleur de colique néphrétique repose essentiellement sur les anti-inflammatoires non stéroïdiens (AINS) dont le bénéfice contre placebo est établi par plusieurs essais, dont celui d’Holmlund dès 1978.2 Les AINS diminuent globalement la fréquence des ondes de contraction du péristaltisme urétéral par antagonisme des prostaglandines. Compte tenu de leur bon profil de tolérance, les profènes sont devenus la classe de choix (tableau).3 Les AINS, en matière de sédation et de recours à une seconde ligne de traitement, ont une efficacité supérieure au paracétamol et même aux opioïdes, dont la morphine, avec, de plus, une meilleure tolérance.4,5 Les voies parentérale (intraveineuse, intramusculaire), sublinguale ou encore rectale permettent une plus grande rapidité d’action que la voie entérale. S’agissant de douleurs très souvent discontinues, la prise pluri­quotidienne en fonction des douleurs paraît plus adaptée que la prise mono- ou biquotidienne. 

Outre les contre-indications habituelles (grossesse, maladie de Crohn et colites hémorragiques, ulcère digestif en cours ou infections cutanées), l’état de la fonction rénale est à prendre en compte dans le contexte de l’obstruction urinaire. L’ajout d’un inhibiteur de la pompe à protons est possible, notamment chez les patients âgés, aux antécédents d’ulcère guéri ou traités par antiagrégants ou anticoagulants.

Le paracétamol, dont la tolérance est bonne, est utile en complément des AINS, à « l’interdose » notamment, tandis que les opioïdes sont inférieurs aux AINS et même au paracétamol contre la colique néphrétique et sont donc à réserver en seconde ligne après discussion d’un éventuel drainage ou traitement interventionnel.

Absence de preuves pour le phloroglucinol, le néfopam et la desmopressine

Bien qu’il possède historiquement une indication spécifique dans son autorisation de mise sur le marché (AMM), le phloroglucinol ne dispose pas d’un niveau de preuve satisfaisant contre la colique néphrétique ; il en est de même pour le néfopam. 

L’ajout d’hormone antidiurétique par voie nasale (la desmopressine) à un AINS ne comporte pas de bénéfice.6,7,8

Traitement alphabloquant

Il existe des récepteurs alpha-adrénergiques sur l’uretère et les agonistes adrénergiques augmentent l’amplitude des contractions péristaltiques urétérales. Aussi, les médicaments alphabloquants tels qu’utilisés contre les symptômes de l’hypertrophie prostatique, notamment le tamsulosine et le silodosine, ont fait l’objet d’essais contrôlés, sur deux critères essentiellement : réduction des épisodes douloureux après sédation initiale et augmentation de la probabilité d’expulsion spontanée (par relaxation de l’uretère distal), notamment pour les calculs de 5 à 10 mm de grand axe. Il semble exister un bénéfice sur ces deux points, à la réserve près que les nombreuses études conduites sont de faible qualité méthodologique.9,10

Il faut cependant prévenir le patient du risque de lipothymie (1/10 000) et donc privilégier une prise au coucher, au moins en début de traitement.

Alternatives non médicamenteuses

Comme l’hormone antidiurétique, la restriction hydrique, quoique logique, n’apporte qu’un bénéfice marginal contre les douleurs (le jeûne peut être, en revanche, requis en cas d’indication opératoire et donc d’anesthésie).

D’autres interventions ont démontré un bénéfice, en général non pérenne contre les douleurs de colique néphrétique : application de chaleur (bouillote, douche, bain) sur la fosse lombaire, acupuncture en huit points lombaires, injection sous-­cutanée de sérum à la pointe de la douzième côte.

Traitements interventionnels

Lorsque les douleurs sont réfractaires au traitement médical et après vérification de la stérilité des urines, un traitement interventionnel peut être proposé afin de réduire le nombre d’anesthésies, la durée totale des symptômes et la durée d’implantation d’un drainage, cause potentielle d’effets indésirables propres. 

En l’absence de troubles de la coagulation et de grossesse, la lithotritie extracorporelle (LEC) par ondes de choc en urgence différée est une option pour les calculs urétéraux mesurant jusqu’à 1 cm de grand axe (et de moins de 1 200 UH de densité tomodensitométrique). Pour les calculs au-delà de la crête iliaque (« distaux », les calculs lombaires comportant un risque plus grand de complications), l’urétéroscopie suivie d’un éventuel drainage temporaire de prudence peut être proposée. 

La place de la chirurgie, particulièrement dans le contexte de l’urgence, est marginale.

Suivi et récupération du calcul

Une fois la douleur traitée et prévenue, et les complications recherchées, il convient de se positionner (fig. 4) :

  • soit dans une stratégie d’expulsion spontanée tenant compte de la probabilité d’expulsion qui est fonction de la localisation (moyenne pour les calculs lombaires, élevée pour les calculs plus distaux) et de la taille (élevée pour les calculs mesurant moins de 5 mm, moyenne pour les calculs entre 5 et 10 mm de grand axe et quasiment nulle au-delà de 10 mm). La durée d’expulsion attendue pour éviter des dommages obstructifs sur le rein est habituellement de trois semaines ;
  • soit dans une programmation de traitement interventionnel par un chirurgien urologue. Le choix de la technique se fait en fonction de paramètres liés au calcul (taille, nombre, localisation, densité radiologique) et au patient (corpulence, hémostase, préférences) parmi les trois options principales que sont l’abord percutané (antégrade), l’abord rétrograde et le traitement extracorporel.
 

Même en cas de forte probabilité d’expulsion spontanée, il est nécessaire d’assurer un suivi après colique néphrétique par imagerie, ASP et échographie en première intention et, au besoin, scanner abdomino-pelvien basses doses. En effet, l’habituation du rein à un régime de pression plus élevé peut conduire à une disparition des douleurs, alors même que persiste une obstruction par un calcul. 

La constatation d’un rein détruit à distance d’une colique néphrétique non suivie est une observation encore non exceptionnelle. Il faut donc prévoir une nouvelle consultation à trois semaines après imagerie ou plus tôt et en urgence en cas de fièvre, oligurie ou douleur ne cédant pas.

La récidive fréquente de colique néphrétique (en moyenne de 50 % dans les cinq ans), la recherche de pathologies associées (notamment osseuses, endocriniennes ou vasculaires) et le risque d’évolution de la fonction rénale doivent faire proposer une évaluation métabolique, qui repose :

  • sur le typage par spectrométrie infrarouge du calcul récupéré. La récupération du calcul peut se faire soit par tamisage direct au cours de la miction grâce à un filtre à thé ou une petite passoire (le filtre à café étant très peu commode), soit par récupération après miction dans un récipient (bouteille ou bassin) [fig. 5] ;
  • sur la réalisation d’un bilan métabolique sur les urines recueillies sur vingt-quatre heures (diurèse, ionogramme, créatinine, urée, acide urique, calcium, citrate, oxalate, phosphate) ainsi que sur urines fraîches (pH, densité et culture bactériologique).

Particularités au cours de la grossesse

La colique néphrétique en cours de la grossesse est un défi diagnostique (contre-indication relative aux rayons X) et thérapeutique (contre-indication aux AINS et à la lithotritie). 

Sur le plan diagnostique, après échographie, une éventuelle imagerie par résonance magnétique (IRM) peut préciser la réalité de l’obstacle sans pouvoir confirmer la présence d’un calcul (qui n’est pas visible à l’IRM). 

Sur le plan thérapeutique, outre les alternatives aux AINS, dont les bains chauds, le phloroglucinol, des traitements par sulfate de magnésium ou inhibiteur calcique avec corticothérapie de courte durée ont été proposés avec, bien évidemment, des niveaux de preuve faibles. 

Sur le plan à la fois diagnostique et thérapeutique, l’urétéroscopie sou­ple permettrait de diagnostiquer et traiter dans le même temps d’éventuels calculs et de limiter la durée d’implantation d’un drainage (risque infectieux et risque d’incrustations important en cours de grossesse).

Traquer les complications pour définir le degré d’urgence thérapeutique

La colique néphrétique est un motif très fréquent de consultation en urgence. La recherche de complications et du diagnostic de calcul permet d’adapter la stratégie : traitement médical isolé puis surveillance, drainage urgent ou traitement interventionnel urgent ou différé. À distance, un bilan étiologique est préconisé. 

Références
1. Comité Lithiase, Association française d’urologie, Société française de médecine d’urgence, Société francophone de néphrologie, dialyse, transplantation, Société de physiologie, Société française de radiologie-Société d’imagerie génito-urinaire, la Société française de médecine générale, Association française des urologues en formation. Recommandations de bonne pratique pour la prise en charge des calculs et de la lithiase urinaires : diagnostic, traitement, suivi et prévention secondaire 2022. Synthèse. 
2. Holmlund D, Sjödin JG. Treatment of ureteral colic with intravenous indomethacin. J Urol 1978;120(6):676-7.
3. Raynal G, Bellan J, Saint F, Tillou X, Petit J. Les médicaments de l’uretère. Prog Urol 2008;18(3):152-9.
4. Pathan SA, Mitra B, Cameron PA. A systematic review and meta-analysis comparing the efficacy of nonsteroidal anti-inflammatory drugs, opioids, and paracetamol in the treatment of acute renal colic. Eur Urol 2018;73(4):583-95. 
5. Gu HY, Luo J, Wu JY, Yao QS, Niu YM, Zhang C. Increasing nonsteroidal anti-inflammatory drugs and reducing opioids or paracetamol in the management of acute renal colic: based on three-stage study design of network meta-analysis of randomized controlled trials. Front Pharmacol 2019;10:96. 
6. Jalili M, Shirani F, Entezari P, Hedayatshodeh M, Baigi V, Mirfazaelian H. Desmopressin/indomethacin combination efficacy and safety in renal colic pain management: A randomized placebo controlled trial. Am J Emerg Med 2019;37(6):1009-12. 
7. Kumar S, Behera NC, Sarkar D, Prasad S, Mandal AK, Singh SK. A comparative assessment of the clinical efficacy of intranasal desmopressin spray and diclofenac in the treatment of renal colic. Urol Res 2011;39(5):397-400. 
8. Moustafa F, Liotier J, Mathevon T, Pic D, Perrier C, Schmidt J. Usefulness of nefopam in treating pain of severe uncomplicated renal colics in adults admitted to emergency units: A randomised double-blind controlled trial. The 'INCoNU' study. Emerg Med J 2013;30(2):143-8. 
9. Hollingsworth JM, Canales BK, Rogers MAM, Sukumar S, Yan P, Kuntz GM, et al. Alpha blockers for treatment of ureteric stones: Systematic review and meta-analysis. BMJ 2016 Dec 1;355:i6112. 
10. Campschroer T, Zhu X, Vernooij RW, Lock MT. Alpha-blockers as medical expulsive therapy for ureteral stones. Cochrane Database Syst Rev 2018;4(4):CD008509. 
11. Peng CX, Lou YK, Xu L, Wu GH, Zhou XL, Wang KE, et al. Efficacy of emergency extracorporeal shock wave lithotripsy in the treatment of ureteral stones: A meta-analysis. BMC Urol 2023;23(1):56. 
12. Arcaniolo D, De Sio M, Rassweiler J, Nicholas J, Lima E, Carrieri G, et al. Emergent versus delayed lithotripsy for obstructing ureteral stones: A cumulative analysis of comparative studies. Urolithiasis 2017.

Dans cet article

Ce contenu est exclusivement réservé aux abonnés

Résumé

La colique néphrétique est un motif fréquent de consultation en urgence. Elle est due dans une très grande majorité des cas à l’obstruction urétérale provoquée par la migration d’un calcul urinaire. Des recommandations de bonnes pratiques sur la prise en charge des calculs et de la lithiase urinaire ont été publiées en 2022 par un consortium de sociétés savantes.