Généralisé ou localisé, le prurit est un symptôme fréquent. La démarche en MG doit être structurée, en se limitant aux examens complémentaires pertinents pour poser le diagnostic et adapter la prise en charge. De nouvelles thérapeutiques sont disponibles, notamment dans le prurigo. L’essentiel dans cette fiche, algorithme à l’appui.

Le prurit est « une sensation désagréable conduisant au besoin de se gratter ». Il peut être localisé ou généralisé. L’altération de la qualité de vie qui en résulte, surtout quand il est chronique, est aussi importante que dans la douleur.

Démarche diagnostique

Il faut d’abord s’assurer qu’il s’agit bien d’un prurit et non de sensations cutanées voisines (douleurs, paresthésies ou dysesthésies). L’interrogatoire doit préciser les caractéristiques du prurit :

  • date et mode de début (brutal ou progressif) ;
  • facteurs déclenchants (stress, irritants...) ;
  • évolution (aiguë, paroxystique ou chronique) ;
  • chronologie (heure de la journée, période de l’année) ;
  • intensité (gêne dans le travail, la vie quotidienne, la vie affective ou le sommeil) ;
  • topographie et extension ;
  • facteurs aggravants (hypersudation, sport, bains, douches, repas) ou calmants (froid, détente) ;
  • contexte associé (maladies, toxiques) ;
  • liens avec des signes objectifs (avant, pendant ou après les signes cutanés) ;
  • existence ou non d’un prurit collectif ;
  • effets des traitements.

La mesure de l’intensité du prurit est faite sur une échelle visuelle analogique ou numérique, de 0 à 10 ; le retentissement sur la vie quotidienne doit aussi être évalué.

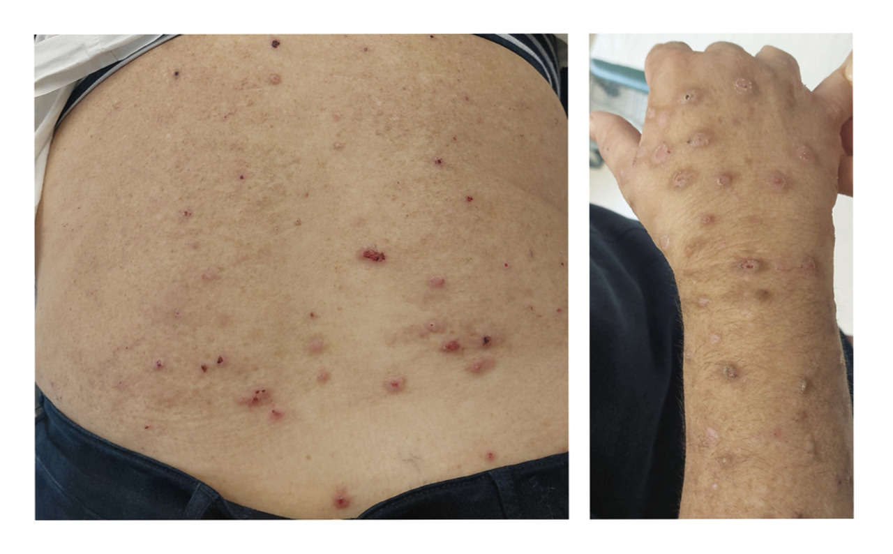
L’examen clinique peut montrer des lésions de grattage : des excoriations (linéaires ou arrondies, plus ou moins profondes, figure 1), des lésions de dermographisme, une lichénification (peau épaissie grisâtre recouverte de fines squames dessinant un quadrillage), des papules ou des nodules de prurigo (dermatose caractérisée par des lésions prurigineuses, excoriées et/ou associées à des stries de grattage, figure 2).

La démarche diagnostique doit être structurée (figure 3).

Prurit dermatologique

La première étape est de chercher des lésions dermatologiques spécifiques (dermatite atopique, psoriasis, urticaire et autres dermatoses précisées dans le tableau 1), ce qui nécessite parfois un examen minutieux (traquer notamment des sillons scabieux : la gale doit toujours être suspectée face à un prurit de cause non évidente). Attention : la xérose cutanée est un facteur aggravant, mais elle n’est pas la seule responsable du prurit.

S’il n’y a pas de lésions spécifiques (à part les lésions de grattage), il s’agit d’un prurit sine materia , dont les causes sont systémiques (liste détaillée dans le tableau 2), neuropathiques ou psychogènes. 

Prurit systémique

L’interrogatoire et l’examen clinique peuvent suffirent mais un bilan paraclinique est souvent nécessaire, si possible orienté par la clinique. Bilan minimal à proposer en 1re intention :

  • hémogramme ;
  • ionogramme, urée, créatinine ;
  • bilan hépatique : ASAT, ALAT, γGT, PAL ;
  • glycémie à jeun ;
  • calcémie ;
  • fer sérique, ferritine ;
  • TSH ;
  • électrophorèse ± immuno-électrophorèse des protéines ;
  • sérologies VIH, VHB, VHC ;
  • ± examen parasitologique des selles si voyage ;
  • radiographie (ou scanner) thoracique ;
  • échographie (ou scanner) abdominale ;
  • biopsie cutanée avec immunofluorescence (chez le sujet âgé pour recherche de pemphigoïde bulleuse , le prurit pouvant précéder les lésions cutanées).

Cause médicamenteuse

Un prurit sans toxidermie associée peut apparaître plusieurs mois ou années après l’introduction du traitement et disparaître plusieurs semaines après son arrêt. La causalité du médicament ne peut être confirmée que par l’éviction. En cause le plus souvent : IEC, sartans, opiacés, œstroprogestatifs.

Cause rénale

Le prurit est lié à une insuffisance rénale chronique mais pas aiguë. Il serait présent chez 40 à 85 % des hémodialysés. Il disparaît après transplantation rénale, et occasionnellement après dialyse.

Cause hépatique

Chez les patients avec une cholestase secondaire à une obstruction mécanique, un désordre métabolique ou une maladie inflammatoire, le prurit est fréquent. C’est un signe précoce de cholestase chronique (notamment dans la cirrhose biliaire primitive). Il est souvent généralisé, prédominant sur les paumes et plantes. Le diagnostic est aisé, par le dosage sérique des phosphatases alcalines, des gamma-glutamyl-transférases et de la bilirubine.

Cause hématologique

Le prurit généralisé est un signe classique (30 % des patients) et précoce des lymphomes, en particulier de Hodgkin. Il est souvent plus intense la nuit et commence aux membres inférieurs, avant d’être généralisé. Chez les sujets jeunes avec un prurit sine materia intense, il faut y penser systématiquement. Il peut aussi exister au cours d’autres lymphomes, ou (moins fréquemment) des gammapathies. En cas de polyglobulie de Vaquez, on observe dans environ 50 % des cas un prurit aquagénique – déclenché par un contact, même bref, avec l’eau – qui peut précéder le diagnostic de plusieurs années.

Cause endocrinienne ou métabolique

L’hyperthyroïdie (surtout la maladie de Basedow) et le diabète s’accompagnent d’un prurit dans un peu moins de 10 % des cas. Dans le diabète, il s’agit en fait souvent de paresthésies. Chez les patients avec une hypothyroïdie, il est plutôt lié à la sécheresse cutanée. Le prurit est fréquent chez les patients avec une hyperparathyroïdie, mise en évidence par une hypercalcémie. La carence en fer est une cause relativement fréquente de prurit, généralisé ou anogénital.

Cause infectieuse

Les patients infectés par le VIH peuvent avoir un prurit isolé, ou associé à des signes cutanés (éruption papuleuse ou folliculite éosinophilique). Isolé, ou associé à une hyperéosinophilie, le prurit peut révéler une parasitose, en particulier la toxocarose. Le bilan doit être orienté par le contexte : sérologies parasitaires et examen parasitologique des selles, surtout en cas de consommation de viande peu contrôlée ou d’antécédent de voyage dans des pays endémiques.

Prurit sénile

Ce diagnostic est posé chez les plus de 70 ans, après avoir éliminé toutes les autres causes. Le prurit est déclenché par les stimuli habituels (chaleur, laine, etc.), ou permanents, avec un retentissement parfois très important. Sa physiopathogénie est multifactorielle : sécheresse cutanée, altération du stratum corneum… Son traitement est difficile.

Prurit gravidique

Il peut être secondaire à une dermatose préexistante ou apparue pendant la grossesse, voire être spécifique de la grossesse (pemphigoïde gestationnelle, éruption polymorphe de la grossesse). Lorsqu’il ne s’accompagne pas d’éruption cutanée, il peut être dû à une cholestase, confirmée par l’élévation des transaminases et des sels biliaires sanguins. Il est surtout présenten fin de grossesse et guérit quelques jours après l’accouchement.

Autres prurits sine materia 

Prurit neuropathique

Plusieurs maladies du système nerveux peuvent induire un prurit :

  • au niveau du système nerveux central : tumeurs, abcès, anévrismes, accidents cérébrovasculaires, SEP ;
  • du système périphérique proximal : polyneuropathies périphériques, algie post-zostérienne, prurit brachioradial… ;
  • du système périphérique proximal distal : neuropathies des petites fibres, prurit post-brûlure, cicatrices prurigineuses…

Des éléments peuvent alors orienter : topographie recoupant celle d’un territoire d’innervation ; association avec une douleur, une allodynie, des paresthésies, des sensations de décharges électriques, une hyperesthésie ou hypoesthésie ; aggravation par le contact avec le froid.

Prurit psychogène

Ce diagnostic doit être posé après avoir écarté toute cause organique et avec des éléments cliniques en faveur d’un trouble psychiatrique. Il est lié à une pathologie psychiatrique ou un événement stressant et répond à des critères diagnostiques précis (encadré).

Prurit idiopathique

Si l’ensemble de cette démarche diagnostique ne permet aucune conclusion, on retient le diagnostic de prurit idiopathique, qui n’est qu’un diagnostic d’attente. En effet, il faut savoir renouveler le bilan plus tard et toujours avoir à l’esprit que des maladies graves, comme des lymphomes, peuvent se manifester pendant plusieurs années uniquement par un prurit sine materia.

Prise en charge

Si possible, il faut supprimer la cause : cholestase, hémopathie, médicaments suspects…

Règles générales

Pour la toilette, préférer les douches courtes aux bains, éviter les savons acides et les antiseptiques, et privilégier les syndets ou les pains surgras ou les savons alcalins. Préférer les textiles en coton (éviter la laine). Proscrire les vêtements trop serrés ou trop chauds. Pour éviter les lésions de grattage, les ongles doivent être coupés court. L’eau fraîche permet souvent de soulager le patient.

Traitements locaux

Des émollients doivent être appliqués après la toilette, et peuvent être renouvelés dans la journée : il faut apprendre au patient à remplacer le grattage par leur application.

Les antiprurigineux locaux apportent souvent un soulagement temporaire mais appréciable.

Des préparations magistrales ou des dermocosmétiques à visée antiprurigineuse peuvent être prescrits.

Les corticoïdes locaux ne sont pas recommandés en cas de prurit isolé (ils sont efficaces sur les lésions inflammatoires et provoquées par le grattage, mais leur utilisation ne doit pas être prolongée).

Traitements généraux

Les antihistaminiques sont inutiles (hors urticaire). Seuls les antihistaminiques sédatifs (hydroxyzine) peuvent être utilisés en appoint le soir pour leur caractère sédatif. La photothérapie PUVA ou UVB peut être proposée dans certains cas.

La prégabaline et la gabapentine sont habituellement prescrites dans les prurits neuropathiques.

En cas de prurit psychogène, les psychotropes et la psychothérapie sont utiles.

Depuis peu, le dupilumab (anticorps monoclonal anti-IL- 4 et anti-IL- 13) a obtenu AMM et remboursement dans les formes modérées à sévèresde prurigo nodulaire, chez l’adulte (300 mg toutes les 2 semaines après la dose de charge de 600 mg, en SC). La 2e biothérapie prometteuse dans cette indication est le némolizumab, un anti-IL- 31 commercialisé fin 2025 en France et remboursé depuis février 2026.

D’autres molécules ciblant la voie des anti-JAK (abrocitinib, déjà disponible dans la dermatite atopique ; povorcitinib), ou encore le vixarélimab sont à l’étude. Les voies neurologiques de transmission du prurit sont aussi une cible thérapeutique explorée (nalbuphine).

Les thérapeutiques actuelles ne permettant pas toujours une sédation complète, la psychothérapie de soutien est fondamentale en cas de prurit chronique (techniques de relaxation notamment).

Encadre

Critères diagnostiques du prurit psychogène

Trois critères obligatoires :

  • prurit sine materia localisé ou généralisé ;
  • durant plus de 6 semaines ;
  • sans cause somatique détectée.

Trois critères optionnels sur sept :

  • relation chronologique entre la survenue du prurit et un ou plusieurs événements de vie pouvant avoir un retentissement psychologique ;
  • variations d’intensité avec le stress ;
  • variations nycthémérales ;
  • prédominance pendant les périodes de repos ou d’inactivité ;
  • trouble psychique associé ;
  • amélioration par des psychotropes ;
  • amélioration par une psychothérapie.
Pour en savoir plus
Brenaut É, Misery L. Item 116. Prurit.  Rev Prat 2023;73(3);321-5.
Brenaut É. Traitement du prurigo : quoi de nouveau ? Rev Prat Med Gen 2024;38(1091);465-8.
Nobile C. Prurit chez la personne âgée : et si c’était une pemphigoïde bulleuse ?  Rev Prat (en ligne) 5 décembre 2023.

Dans cet article

Ce contenu est exclusivement réservé aux abonnés