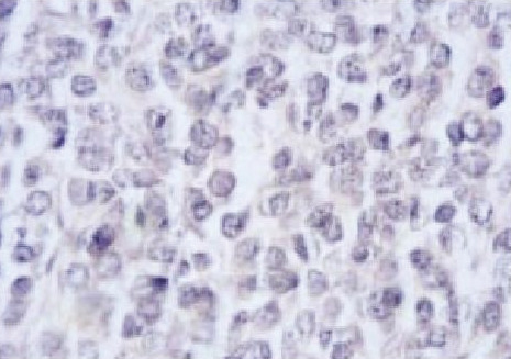
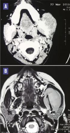
Cette jeune patiente de 14 ans, sans antécédents particuliers, avait depuis 2 mois une tuméfaction de l’angle et de la branche montante de la mandibule sans troubles de la sensibilité labio-mentonnière ni adénopathies cervicales. La tomodensitométrie et l’imagerie par résonance magnétique mandibulaire (fig. 1 ) montraient une ostéolyse mandibulaire avec une importante extension dans les parties molles, surtout du côté lingual, et une réaction périostée spiculée. L’analyse de la biopsie (fig. 2 ) notait une prolifération tumorale constituée de petites cellules rondes exprimant en immunohistochimie le CD99, affirmant le diagnostic de sarcome d’Ewing. Selon le protocole Euro-Ewing 99, chimiothérapie et chirurgie étaient associées, permettant la régression de la tumeur mandibulaire avec, à 6 mois, un contrôle locorégional satisfaisant et l’absence de métastase à distance. La surveillance était maintenue tous les 3 mois.
Le sarcome d’Ewing est une tumeur neuro-ectodermique. C’est une tumeur des os longs, et les localisations céphaliques et faciales sont rares (2 à 4 %). Son incidence est estimée à 3/100 000 enfants par an.1 Il est métastatique dans 20 à 30 % des cas dès le diagnostic, ce qui aggrave considérablement le pronostic et influence la conduite thérapeutique, d’où l’importance d’établir un diagnostic précoce ;2 or, en cas de localisation mandibulaire, le diagnostic de sarcome d’Ewing est souvent fait avec retard. Tout jeune patient ayant une lésion osseuse suspecte doit être impérativement adressé en milieu spécialisé afin de bénéficier dans les plus brefs délais d’une imagerie locorégionale complétée d’une biopsie afin d’orienter le diagnostic.
Références
1. Lacour B, Guyot-GoubinA, Guissou S, et al. Incidence of childhood cancer in France: National Children Cancer Registries,2000–2004. Eur J Cancer Prev 2010;19:173-81.
2. Brugieres L, Oberlin O, Mascard E, et al. Tumeurs osseuses primitives malignes. Cancers de l’enfant. Paris : Médecine-Sciences, Coll. Pédiatrie, 2008.
2. Brugieres L, Oberlin O, Mascard E, et al. Tumeurs osseuses primitives malignes. Cancers de l’enfant. Paris : Médecine-Sciences, Coll. Pédiatrie, 2008.
Une question, un commentaire ?