Nadheer, étudiant yéménite de 23 ans, a été reçu il y a une semaine par un urgentiste pour des douleurs abdominales paroxystiques centrées sur l’hypogastre.
À l’examen, pas de défense ni de localisation précise. Un antispasmodique est prescrit.
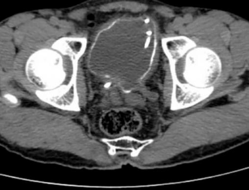
Les symptômes persistant, un scanner pelvien, quelques jours après, révèle une importante calcification de la paroi vésicale (figure).
Le patient a depuis plus de 2 mois une très discrète hématurie, qu’il a toujours négligée.
Le pays d’origine, les symptômes et l’imagerie orientent vers une bilharziose urinaire.
Diagnostic confirmé par la découverte d’œufs de schistosomes en éperon dans les urines.

La bilharziose urinaire est une parasitose due à Schistosoma haematobium. C’est la deuxième cause d’endémie parasitaire au niveau mondial (prévalence de 200 millions de cas, tous types de bilharzies). Pays concernés : l’Afrique noire, le Moyen-Orient, Madagascar, l’Égypte et la Corse (quelques cas).
En eau douce, l’hôte intermédiaire, un gastropode, héberge un embryon (miracidium), libéré d’un œuf qu’un individu infecté a évacué en urinant. Ce miracidium se transforme en quelques semaines (2 mois au maximum) en larve (furcocercaire) retrouvée dans le milieu aquatique. Pénétrant par voie transcutanée chez l’homme, elle gagne par effraction le système circulatoire et le foie pour devenir un parasite adulte, doté d’une grande longévité.
Dans les veines mésentériques inférieures, les femelles pondent des œufs qui migrent vers les plexus périvésicaux. Traversant la muqueuse, ils pénètrent dans la vessie pour être le plus souvent éliminés lors de la miction. Parfois, emportés par la circulation, ils s’embolisent dans les veinules portes intrahépatiques, les poumons, etc., formant des granulomes.
Au point de pénétration cutanée se produit une réaction appelée la dermite cercarienne (prurit et érythème). Les œufs induisent des ulcérations de la paroi vésicale, des pseudopolypes et une réaction granulomateuse importante.
Cliniquement : hématurie terminale indolore microscopique, coliques néphrétiques, hémospermie, dysurie, douleurs sus-pubiennes sont décrites.
Sur la NFS, une hyperéosinophilie (observée au décours de la phase d’invasion) est évocatrice.
La mise en évidence d’œufs dans les urines (après sédimentation) fait le diagnostic. La sérologie ne permet pas le plus souvent de distinguer entre une infection récente et une infection ancienne.
L’ASP peut objectiver des calcifications de la paroi vésicale, et de l’uretère. À l’échographie ou au scanner pelvien : calcifications, pseudopolypes vésicaux, résidu post-mictionnel, mais aussi urétéro-hydronéphroses, dilatations pyélocalicielles avec image en boule.
Chez la femme : lésions génitales, stérilité du fait d’obstructions tubaires ou d’annexites, avortements, grossesses extra-utérines. Chez l’homme : prostatites, urétrites, orchi-épididymites, hydrocèles.
Enfin, la chronicité de l’atteinte vésicale favorise la survenue d’un carcinome épidermoïde de la vessie.
Traitement : praziquantel à raison de 40 mg/kg en une prise, suivie d’une seconde dose un mois après la première.
Ce médicament (actif sur les parasites adultes seulement) n’est efficace que s’il est donné après le 1er mois de la contamination. à contrôler 6 à 8 semaines après pour confirmer la guérison (disparition des œufs dans les urines).
La chirurgie n’est envisagée qu’en cas d’atteinte sévère de l’appareil urinaire (vessie de lutte, obstruction urétérale bilatérale, hydronéphrose étendue…).

Pour en savoir plus

Bisaro F, Bouree P, Ensaf A. Actualités sur les bilharzioses. Rev Prat Med Gen 2014;28:294-5.
Zanisi L, Benedetto Faré P, Poncini G. Diagnostic de schistosomiase urinaire par l’identification de miracidiums de Schistosoma haematobium. Rev Med Suisse 2018;14:944-8.
Berry A, Fillaux J. Schistosomose en Corse. Rev Prat Med Gen 2018;32:18-9.

Une question, un commentaire ?