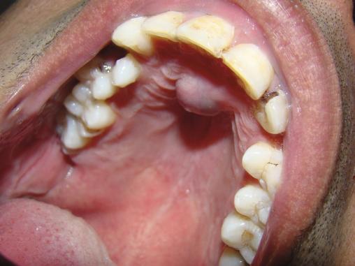
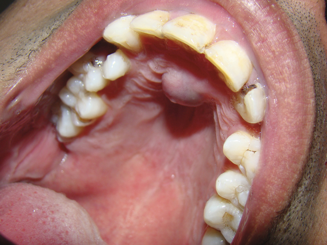
Éric, 21 ans, sans domicile, consulte pour une douleur au niveau du palais. Survenue 3 jours auparavant, elle semble secondaire à un traumatisme local. L’examen retrouve une formation dure et ovalaire au centre du palais, douloureuse à la palpation. Le patient explique qu’il a cette excroissance depuis plus de 3 ans.
Observation
Le torus palatin est une tumeur bénigne osseuse (groupe des tumeurs du maxillaire) qui se développe à l’adolescence (plus souvent chez les filles) puis se stabilise à partir de l’âge de 40 ans. Prévalence dans les populations caucasiennes : 7 %. L’origine de cette exostose n’est actuellement pas connue. Quatre types cliniques sont communément décrits : plat, fusiforme, nodulaire et lobulaire.
Volontiers asymptomatique,le torus peut parfois générer des troubles phonatoires, s’ulcérer ou s’infecter après un traumatisme (cas de ce patient).
L’examen clinique retrouve une masse arrondie et dure, recouverte d’une muqueuse lisse le plus souvent au niveau de la ligne médiane palatine. Le scanner confirme sa nature osseuse.
Histologiquement :os spongieux au centre et cortical dense en périphérie.
L’excision chirurgicale n’est pas obligatoire.Elle peut être nécessaire en cas de problèmes phonatoires ou si elle gêne la pose de prothèses.
Chez ce patient,les signes ont régressé après traitement antibiotique et antalgique.
Volontiers asymptomatique,
L’examen clinique retrouve une masse arrondie et dure,
Histologiquement :
L’excision chirurgicale n’est pas obligatoire.
Chez ce patient,
Pour en savoir plus
Hiss J, Taddei C, Wolfram-Gabel R, Féki A. Le torus palatin. Étude réalisée sur 723 crânes humains et comparaison avec les données de la littérature. Med Bucc Chir Bucc 2005;11:205-13.
Une question, un commentaire ?