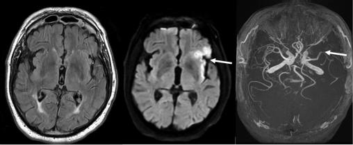
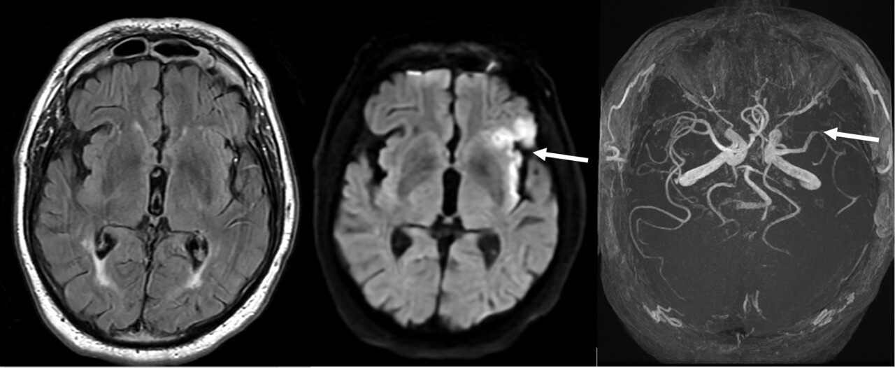
Mme X, 55 ans, sans antécédents médicaux notables, consulte pour un épisode de paresthésie transitoire du membre supérieur droit et une aphasie. L’examen clinique révèle un livedo racemosa marqué au niveau des membres inférieurs et du tronc (fig. 1). L’IRM cérébrale met en évidence des lésions ischémiques multiples en territoire sylvien superficiel gauche (fig. 2). Le bilan immunologique retrouve la présence d’anticorps antiphospholipides (anticardiolipines et anticoagulants lupiques). 
Le diagnostic de syndrome de Sneddon associé à un syndrome des antiphospholipides est retenu.
La patiente est mise sous bi-antiagrégants pendant trois semaines, puis sous simple antiagrégant. Un suivi régulier est instauré et une stabilisation clinique est observée après six mois de traitement, sans nouvel épisode ischémique. Le livedo racemosa persiste, mais sans progression.

Le syndrome de Sneddon est une vasculopathie non inflammatoire touchant les petits et moyens vaisseaux. Il s’agit d’une maladie rare qui associe des lésions cutanées de type livedo race-mosa à des manifestations neurologiques d’origine vasculaire.

Le diagnostic repose sur la présence de livedo racemosa et d’accidents vasculaires cérébraux (AVC) ou d’accidents ischémiques transitoires (AIT), souvent associés à un syndrome des antiphospholipides (SAPL).1,2

Les diagnostics différentiels incluent d’autres causes de vasculopathies, comme la maladie de Fabry ou les vascularites systémiques.3

Sur le plan physiopathologique, il s’agit d’une dysfonction endothéliale et d’une thrombophilie.

Le traitement antithrombotique préventif est doublement justifié du fait de la thrombophilie4 et du SAPL fréquemment associé. Il est essentiel de dépister ce dernier précocement afin d’optimiser la prise en charge et prévenir les complications neurologiques irréversibles. Une surveillance rapprochée est indispensable afin de prévenir tout nouvel épisode et de limiter la progression des atteintes neurologiques. 

Références 
1. Samanta D, Cobb S, Arya K. Sneddon Syndrome: A Comprehensive Overview. J Stroke Cerebrovasc Dis 2019;28(8):2098-108. 
2. Beato Merino MJ, Diago A, Fernandez-Flores A, et al. Clinical and Histopathologic Characteristics of the Main Causes of Vascular Occusion - Part II: Coagulation Disorders, Emboli, and Other. Actas Dermosifiliogr 2021;112(2):103-17. 
3. Mitri F, Enk A, Bersano A, et al. Livedo racemosa in neurological diseases: An update on the differential diagnoses. Eur J Neurol 2020;27(10):1832-43. 
4. Narwutsch A, Wohlrab J, Sperfeld AD, et al. Combination therapy for Sneddon syndrome to reduce the incidence of cerebrovascular complications. J Dtsch Dermatol Ges 2024;22(7):947-54.

Une question, un commentaire ?

promo