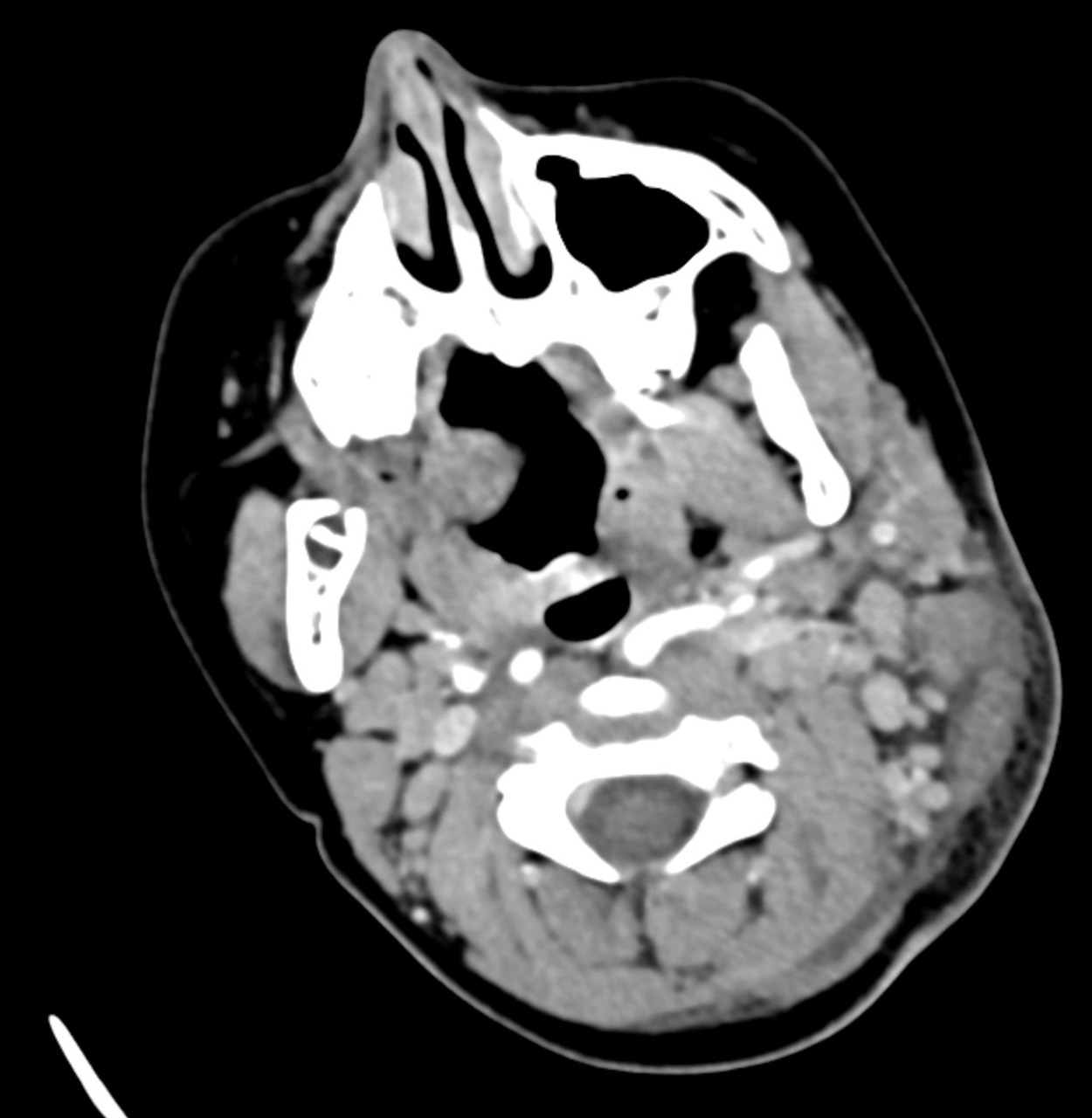
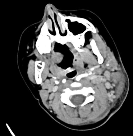
Une jeune fille de 8 ans se présente en consultation de pédiatrie en raison d’un torticolis fébrile. Cinq jours auparavant, elle a été mordue par une tique au niveau du crâne. Lors d’une visite aux urgences quarante-huit heures plus tôt, la tique a été retirée et un traitement par amoxicilline et acide clavulanique a été initié. À l’examen clinique, on retrouve une température de 36,9 °C sous paracétamol, un torticolis du côté gauche avec une adénopathie cervico-occipitale à gauche et une escarre d’inoculation (fig. 1). Les analyses biologiques ne montrent aucune anomalie, dont l’absence de syndrome inflammatoire. Le scanner cervical révèle des adénomégalies inflammatoires sans signe d’abcès (fig. 2). Les cultures bactériologiques et mycologiques prélevées sur l’escarre sont négatives. Face à ces éléments, le syndrome Tibola (tick-borne lymphadenopathy) est suspecté  ; la sérologie Rickettsia demandée s’avère négative. La PCR (polymerase chain reaction) n’a pas été réalisée. Un traitement par macrolides est alors débuté, permettant une nette amélioration clinique en quarante-huit heures.

Le syndrome Tibola, également connu sous le nom de Senlat (scalp eschar and neck lymphadenopathy after tick bite) ou de Debonel (dermacentor-borne necrosis erythema lymphadenopathy), fait partie des zoonoses. Ce syndrome émerge en France ;1 il est transmis le plus souvent par la tique Dermacentor marginatus. Les bactéries pathogènes imputables sont Rickettsia slovaca le plus souvent mais aussi Bartonella henselae et Francisella tularensis.2 Les enfants et les femmes sont les plus touchés, surtout durant les périodes froides.2Le diagnostic est clinique et repose sur l’association d’une escarre d’inoculation localisée dans plus de 95 % des cas au niveau de la tête, d’une fièvre et d’adénopathies cervico-occipitales.3 Des céphalées, myalgies et arthralgies peuvent également être présentes. La biologie ne retrouve pas de syndrome inflammatoire. La PCR sur l’escarre d’inoculation, plus sensible, est à faire en première intention.3 Les sérologies Rickettsia spp. peuvent être réalisées pour aider au diagnostic et sont à répéter.Le traitement repose sur une antibiothérapie pendant trois à sept jours par doxycycline chez l’adulte et l’enfant de plus de 8 ans, ou par macrolides chez la femme enceinte ou l’enfant de moins de 8 ans.4 Les pénicillines sont inefficaces. La guérison est rapide en quarante-huit heures. Il peut persister une alopécie cicatricielle au point de piqûre.

Références
1. Mechai F, Revest M, Lanternier F, et al. Emergence of Rickettsia slovaca infection in Brittany, France. Clin Microbiol Infect 2009;15:230‑1. 
2. Rigal E, Dorcier D, Lesens O, et al. TIBOLA: an emerging clinically polymorphous rickettsiosis. Ann Dermatol Venereol 2014;141(3):186‑91.
3. Foissac M, Socolovschi C, Raoult D. Les nouveautés sur le syndrome SENLAT: Scalp eschar and neck lymphadenopathy after tick bite. Ann Dermatol Venereol 2013;140(10):598‑609. 
4. Haute Autorité de santé. Recommandation de bonne pratique. Autres maladies vectorielles à tiques. Juin 2018. https://vu.fr/pgARu

Une question, un commentaire ?

promo