Le prurit est défini comme « une sensation désagréable amenant au besoin de se gratter » ; il est considéré comme chronique au-delà de six semaines d’évolution. Le grattage répété peut être responsable d’une maladie appelée prurigo chronique.

Prurigo, une maladie à part entière

Le prurigo a longtemps été une entité floue, sans définition précise, considéré de façon très variable selon les médecins et les pays.

En 2018, un groupe d’experts européens du prurit a élaboré une définition lors d’une conférence de consensus.

La première notion importante est qu’il faut considérer le prurigo chronique comme une maladie autonome. Il s’agit ainsi d’une maladie distincte définie par trois critères majeurs :1  

  • la présence d’un prurit chronique (évoluant depuis six semaines ou plus) ;
  • des antécédents et/ou des signes de grattage répété (excoriations et cicatrices) ;
  • des lésions de grattage localisées ou généralisées (papules et/ou nodules et/ou plaques excoriées ou croûteuses avec souvent un centre blanc ou rosé et une bordure hyperpigmentée).

Les femmes sont davantage concernées

Peu de données sont disponibles sur la prévalence et l’incidence du prurigo. Plusieurs études épidémiologiques -récentes ont été réalisées, mais avec des méthodologies différentes, aboutissant à des résultats variés.2 La prévalence estimée va de 9/100 000 personnes dans une étude polonaise à 210/100 000 personnes dans une étude allemande.2 En France, une étude couplant deux sources de données (analyse rétrospective des patients avec un prurigo du centre hospitalo-universitaire de Brest et base de données nationale de l’Assurance maladie) a permis d’estimer la prévalence entre 8,4 et 48,7/100 000 personnes, selon les codes diagnostiques utilisés.3  

Dans une étude multicentrique européenne incluant 509 patients avec un prurigo, l’âge médian des patients était de 64 ans, avec une prédominance de femmes (59,7 %). Différentes comorbidités sont associées au prurigo (maladies cardiovasculaires, respiratoires, rénales, diabète…), les plus notables étant les comorbidités psychiatriques, comme l’anxiété et la dépression – qui peuvent à la fois être des facteurs favorisants ou aggravants, ou des conséquences du prurigo.

Cercle vicieux prurit-grattage

Le prurigo est une maladie secondaire à l’autonomisation du prurit, quelle que soit sa cause initiale (dermatologique ou systémique, par exemple). La chronicisation est due à une sensibilisation neuronale au prurit et au développement d’un cercle vicieux prurit-grattage (fig. 1).1 La sensibilisation périphérique est liée à une hyperexcitabilité des terminaisons nerveuses cutanées, augmentée par le grattage chronique. La sensibilisation centrale est due à une diminution des contrôles inhibiteurs par les interneurones dans la moelle épinière et à des modifications de la connectivité cérébrale. Les interactions entre les récepteurs cutanés au prurit (pruricepteurs) et les cellules de la peau expliquent aussi la persistance du prurit.4 Les autres éléments importants sont l’hyperactivation du système immunitaire, en particulier les lymphocytes T de type Th2, et l’augmentation de la fibrose, avec une production excessive de collagène.

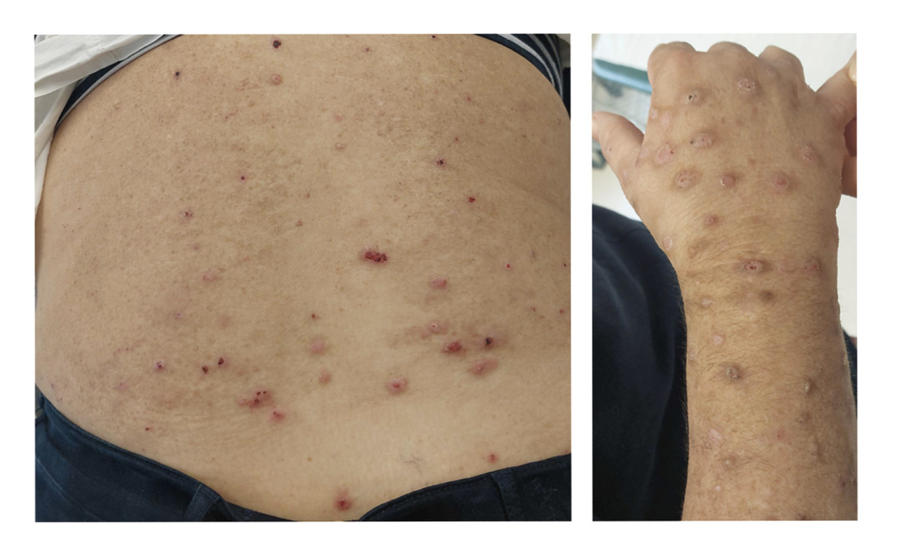
Cinq formes cliniques

Le prurigo chronique peut prendre cinq formes cliniques : papuleuse, nodulaire, en plaques, ombiliquée ou linéaire.1 Ces différentes formes peuvent coexister ou se succéder, avec souvent une forme prédominante, le prurigo nodulaire étant la plus fréquente (fig. 2). La distribution des lésions est habituellement symétrique, avec une prédominance sur les faces d’extension des membres, parfois le tronc. Cependant, le nombre et la localisation des lésions peuvent largement varier d’un patient à l’autre.

Rechercher la cause

Le prurigo peut survenir quelle que soit la cause initiale du prurit. Les causes de prurit chronique définies par le groupe international de recherche sur le prurit sont dermatologique, systémique, neurologique, psychiatrique/psychosomatique, mixte ou indéterminée.

Parmi les causes dermatologiques, la dermatite atopique est souvent rapportée comme étant associée au prurigo.

Chez les patients âgés, il est utile de rechercher une pemphigoïde au stade prébulleux (biopsie cutanée). Concernant les causes systémiques (comme l’insuffisance rénale, la dysthyroïdie, les maladies hépatiques, les syndromes myéloprolifératifs, les lymphomes, etc.), un bilan biologique et radiologique est utile, comme chez les patients consultant pour un prurit sans lésion cutanée, dit prurit sine materia.5 Un bilan minimal est proposé dans le tableau.

Certains éléments peuvent orienter vers un prurit psychogène, et le recours à un psychiatre ou à un psychologue est souvent utile, également pour prendre en charge les répercussions psychologiques du prurigo. Le plus souvent, aucune cause n’est retrouvée. 

Évaluation de la sévérité 

Pour évaluer la sévérité, les outils les plus simples à utiliser sont l’échelle visuelle analogique du prurit ou l’échelle numérique (itch numeric rating scale [Itch NRS]). 

Dans les essais cliniques récents, le critère d’évaluation utilisé est souvent le Worst Itch NRS (WI-NRS), soit l’évaluation de l’intensité la plus sévère du prurit des dernières vingt-quatre heures. Un score de prurit de 7 ou plus est considéré comme sévère.

Un score de sévérité spécifique du prurigo (Prurigo Activity Score [PAS]) a été élaboré en cinq parties : type de lésions et leur nombre, localisation des lésions, nombre de lésions et activité (lésions excoriées/cicatrisées) d’une zone représentative.

Le score Investigator Global Assessment (IGA) est un outil simple et fiable ; deux aspects y sont évalués : le stade (nombre de lésions de prurigo entre 0 et 100 : prurigo modéré si > 20 ; sévère si > 100) et l’activité (pourcentage de lésions actives excoriées ou avec croûtes).

Pour évaluer le retentissement sur la qualité de vie, le Dermatology Life Quality Index (DLQI), non spécifique du prurigo, peut être utilisé.

Répercussions psychologiques et économiques individuelles

Le prurigo chronique a un retentissement majeur sur la qualité de vie. Dans une vaste étude européenne incluant 509 patients avec un prurigo, le prurit était décrit comme le symptôme le plus gênant de la maladie par la moitié des patients, la visibilité des lésions par 22 % d’entre eux et le saignement des lésions par 14 %.6  Une étude de la Société européenne de psychodermatologie a montré que le retentissement sur la qualité de vie était majeur puisqu’il s’agissait du plus important sur les dix maladies dermatologiques étudiées parmi 3 635 patients dans treize pays d’Europe.7 

Les répercussions sont également économiques : une étude française récente menée sur 141 patients ayant un prurigo a montré que le reste à charge moyen par an était évalué à 855 euros, et qu’il était d’autant plus élevé que le prurit était sévère.

La prise en charge thérapeutique évolue 

Jusqu’à récemment, le nombre de traitements disponibles était limité, avec une efficacité partielle et le plus souvent un faible niveau de preuve. La meilleure définition du prurigo a facilité la mise en place d’essais cliniques, nombreux ces dernières années. 

Mesures non médicamenteuses

Les mesures symptomatiques sont toujours utiles, telles que : privilégier les vêtements en coton, les douches tièdes plutôt que chaudes, l’utilisation de nettoyants surgras, l’application d’émollients. Plusieurs dermocosmétiques antiprurigineux peuvent être utilisés (SOS spray, Cutalgan, AtopiControl, Xeracalm AD, Sensinol, etc.).

Place des dermocorticoïdes

Concernant les traitements topiques, les dermocorticoïdes peuvent être proposés sur une durée courte, mais l’étendue des lésions limite souvent leur utilisation.

Dupilumab : un anticorps monoclonal à l’AMM récente

En 2023, le dupilumab a été le premier médicament systémique à avoir obtenu l’autorisation de mise sur le marché (AMM) et le remboursement pour le « traitement du prurigo nodulaire modéré à sévère de l’adulte qui nécessite un traitement systémique ».

Cet anticorps monoclonal inhibe les interleukines IL- 4 et IL- 13 et a également une AMM dans l’asthme, la polypose naso-sinusienne et la dermatite atopique modérée à sévère.

Il a été évalué dans deux études de phase III, à la même posologie que dans la dermatite atopique (300 mg toutes les 2 semaines après la dose de charge de 600 mg, en sous-cutanée).8  

Dans l’étude PRIME, 151 patients ont été randomisés pour recevoir le placebo ou le dupilumab. Après vingt-quatre semaines de traitement, 60 % des patients traités par dupilumab versus 18,4 % de ceux traités par placebo (p = 0,0216) ont eu une amélioration du score WI-NRS de 4 points ou plus.

L’étude PRIME 2 a inclus 160 patients. À la semaine 12, 37 % de ceux sous dupilumab contre 22 % de ceux sous placebo avaient une diminution du score WI-NRS de 4 points ou plus (p = 0,0216). À la semaine 24, ces taux montaient à 58 % et 20 % respectivement (p < 0,0001), ce qui montre l’intérêt de ne pas évaluer trop précocement l’efficacité de cette molécule. La tolérance était bonne ; en particulier, les patients n’ont pas développé de conjonctivite, à l’inverse des patients traités par dupilumab pour une dermatite atopique.

Le dupilumab est actuellement disponible dans le cadre de l’accès précoce.

Némolizumab, espoir thérapeutique

La deuxième biothérapie prometteuse est le némolizumab. Cet anticorps monoclonal humanisé ciblant l’IL- 31RA a montré un effet positif dans deux essais de phase III. Dans l’étude OLYMPIA 2, 274 patients avec un prurigo ont été inclus. À 16 semaines, 38 % des patients du groupe némolizumab ont atteint un IGA à 0 ou 1 (soit une disparition ou très peu de lésions), comparés à 11 % dans le groupe placebo (p < 0,0001). Par ailleurs, 56 % des patients du groupe némolizumab ont obtenu une réduction du score de prurit d’au moins 4 points mesuré par la Peak Pruritus Numerical Rating Scale (PP-NRS), comparés à 21 % dans le groupe placebo (p < 0,0001). L’étude OLYMPIA 1, avec un schéma similaire, a également montré un résultat significatif. La tolérance était bonne : les effets indésirables rapportés étaient essentiellement gastro-intestinaux (douleurs abdominales et diarrhées) et musculo-squelettiques. 

Autres perspectives thérapeutiques 

D’autres molécules ciblant la voie Th2 sont en développement, comme celles ciblant la voie des anti-JAK (abrocitinib, povorcitinib), ou encore le vixarélimab, anticorps monoclonal humain se liant à la sous-unité bêta du récepteur de l’oncostatine M, inhibant la signalisation de l’IL- 31 et de l’oncostatine.

Les voies neurologiques de transmission du prurit sont aussi une cible thérapeutique explorée. Ainsi, la nalbuphine, agoniste des récepteurs kappa opioïdes et antagoniste des récepteurs μ opioïdes, pourrait être une piste. Dans un essai de phase IIb-III, 344 patients ont reçu un placebo ou la nalbuphine 162 mg deux fois par jour par voie orale. À la semaine 14, 24,7 % des patients sous nalbuphine versus 13,9 % de ceux sous placebo avaient une amélioration du score WI-NRS de 4 points ou plus (p = 0,0157). Les effets indésirables rapportés étaient des nausées, une constipation, des vertiges et des céphalées. 

Encadre

Que dire à vos patients ? 

Le prurigo est une maladie qui survient en raison d’un cercle vicieux démangeaisons-grattage, aboutissant à l’apparition de nodules cutanés.

Le retentissement des démangeaisons sur la qualité de vie est majeur.

Des règles simples peuvent limiter les démangeaisons : porter des vêtements en coton, utiliser un nettoyant surgras, privilégier le froid plutôt que le chaud…

La recherche est active dans ce domaine et des traitements sont disponibles.

Des associations de patients, comme l’association France prurigo nodulaire, peuvent être une source d’information et un soutien utile : https ://www.franceprurigonodulaire.com/ 

Références
1. Pereira MP, Steinke S, Zeidler C, et al. European academy of dermatology and venereology European prurigo project: expert consensus on the definition, classification and terminology of chronic prurigo. J Eur Acad Dermatol Venereol 2018;32(7):1059-65.
2. Misery L. Chronic prurigo. Br J Dermatol 2022;187(4):464-71. 
3. Misery L, Brenaut E, Torreton E, et al. Prevalence and management of chronic nodular prurigo (CNPG) in Brittany (France): estimation by matching two databases. J Eur Acad Dermatol Venereol 2021;35(9):e602-4.
4. Misery L, Brenaut E, Pierre O, et al. Chronic itch: emerging treatments following new research concepts. Br J Pharmacol 2021;178(24):4775-91.
5. Weisshaar E, Szepietowski JC, Dalgard FJ, et al. European S2k Guideline on Chronic Pruritus. Acta Derm Venereol 2019;99(5):469-506.
6. Pereira MP, Zeidler C, Wallengren J, et al. Chronic Nodular Prurigo: A European Cross-sectional Study of Patient Perspectives on Therapeutic Goals and Satisfaction. Acta Derm Venereol 2021;101(2):adv00403.
7. Brenaut E, Halvorsen JA, Dalgard FJ, et al. The self-assessed psychological comorbidities of prurigo in European patients: A multicentre study in 13 countries. J Eur Acad Dermatol Venereol 2019;33(1):157-62.
8. Yosipovitch G, Mollanazar N, Ständer S, et al. Dupilumab in patients with prurigo nodularis: two randomized, double-blind, placebo-controlled phase 3 trials. Nat Med 2023;29(5):1180-90. 
9. Pereira MP, Steinke S, Zeidler C, et al. European academy of dermatology and venereology European prurigo project: expert consensus on the definition, classification and terminology of chronic prurigo. J Eur Acad Dermatol Venereol 2018;32(7):1059-65.

Dans cet article

Ce contenu est exclusivement réservé aux abonnés
essentiel

Le prurigo chronique est une maladie inflammatoire caractérisée par un prurit majeur, avec un retentissement très important sur la qualité de vie.

De nombreuses comorbidités sont associées au prurigo, notamment psychiatriques.

Certaines biothérapies (dupilumab et némolizumab) ont montré une efficacité dans des essais cliniques de phase III ; le dupilumab est actuellement disponible en France dans le cadre d’un accès précoce. 

Plusieurs molécules sont en développement, et l’arsenal thérapeutique contre le prurigo devrait continuer à s’enrichir.