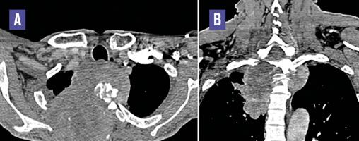
Cet homme de 52 ans, fumeur non sevré, consultait pour une douleur dorsale supérieure droite depuis 3 mois et un déficit moteur des 4 membres d’installation progressive. L’examen clinique notait une tétraparésie spastique et une dyspnée de stade IV. La tomodensitométrie (TDM) thoracique (fig. 1 ) montrait un processus tumoral de l’apex pulmonaire droit envahissant les deux premières côtes homolatérales ainsi que les deux premières vertèbres dorsales. Le diagnostic de la tumeur de Pancoast-Tobias était retenu. Une imagerie par résonance magnétique (IRM) médullaire était réalisée, montrant l’extension tumorale endocanalaire et la compression de la moelle épinière (fig. 2 ).
La tumeur de Pancoast-Tobias se situe à l’apex pulmonaire, infiltre par contiguïté les tissus de la paroi thoracique apicale (côtes, vertèbres) et peut envahir l’orifice thoracique supérieur.1 Elle cause douleur thoracique, névralgies cervicobrachiales, syndrome de Claude-Bernard-Horner et atrophie musculaire du membre supérieur ; avec parfois un œdème du membre supérieur (par thrombose de la veine sous-clavière), et des signes de compression médullaire (par extension tumorale endocanalaire).1 La TDM fait le diagnostic, analyse les rapports de la tumeur avec les structures adjacentes, détecte une thrombose veineuse (notamment de la sous-clavière), et analyse l’extension tumorale locorégionale et à distance. L’IRM cherche une souffrance médullaire et analyse l’orifice thoracique supérieur. Le diagnostic histologique conditionne la décision thérapeutique. Il s’agit fréquemment d’un carcinome de stade T3 ou T4 de la classification TNM.1, 2 Une chimio-radiothérapie néoadjuvante suivie d’une résection tumorale complète, même en cas d’envahissement vertébral, permet un pronostic de plus en plus proche de celui d’un cancer pulmonaire non apical de stades similaires.2
Références
1.
Foroulis CN
,
Zarogoulidis P
,
Darwiche K
, et al. Superior sulcus (Pancoast) tumors: current evidence on diagnosis and radical treatment.
J Thorac Dis
2013;5:342-58.
2. Kratz JR , Woodard G , Jablons DM . Management of lung cancer invading the superior sulcus. Thorac Surg Clin 2017;27:149-57.
2. Kratz JR , Woodard G , Jablons DM . Management of lung cancer invading the superior sulcus. Thorac Surg Clin 2017;27:149-57.
Une question, un commentaire ?