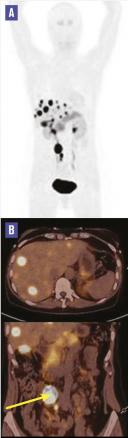
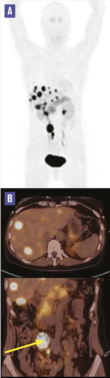
Cette femme de 52 ans était hospitalisée pour le bilan de flushs avec urticaire et épisodes de tachycardie avec hypotension artérielle, évoluant depuis 6 ans sans altération de l’état général. Les symptômes étaient pluriquotidiens, initialement rythmés par les repas et allaient en s’intensifiant, avec des épisodes de diarrhée motrice de résolution spontanée. Les antihistaminiques étaient sans effet. Hémogramme, ionogramme sanguin, transaminases, phosphatases alcalines, protéine C-réactive et catécholamines plasmatiques étaient normaux ; la sérotonine plasmatique était à 5 840 μmol/L (N < 1 134), l’acide 5-hydroxyindolacétique (5-HIAA) à 175 μmol/24h (N < 40) et la chromogranine A à 162 μg/L (N < 102). La tomodensitométrie thoraco-abdomino-pelvienne révélait de multiples hypodensités nodulaires du foie ; la TEP-TDM à la 18-fluoroDOPA montrait un hypermétabolisme intense de ces nodules et une masse ganglionnaire mésentérique droite avec adénopathies satellites, dont l’intensité était très en faveur d’une localisation secondaire de tumeur neuro-endocrine (TNE) ; elle montrait également un foyer hypermétabolique en projection de l’iléon évocateur d’une TNE primitive de l’iléon (v. figure). Le diagnostic de syndrome carcinoïde révélant une TNE avec métastases hépatiques était posé. Le traitement associait une chirurgie avec résection iléale et des injections d’analogue de la somatostatine. Les résultats anatomopathologiques confirmaient le diagnostic de TNE. L’évolution était favorable.
Le syndrome carcinoïde peut s’observer en cas de TNE qui, dans plus de 90 % des cas sont originaires de l’intestin moyen (du jéjunum distal au côlon droit) et métastatiques avec forte masse tumorale. Les TNE dérivées de l’intestin moyen sont des tumeurs rares, à croissance lente et de diagnostic souvent retardé car peu symptomatiques initialement en dehors d’une hypersécrétion hormonale. Le diagnostic de syndrome carcinoïde est évoqué sur des symptômes à type de flushs, diarrhée, bronchospasme, valvulopathie du cœur droit assicié à une augmentation de la concentration des 5-HIAA urinaires. Dans les TNE de l’intestin grêle, le syndrome carcinoïde est très fréquemment révélateur de métastases hépatiques. L’enquête associe des techniques d’imagerie classique (TDM, IRM hépatique) et fonctionnelle (TEP à la FDOPA), plus performante que la scintigraphie aux récepteurs de la somatostatine pour les TNE dérivées de l’intestin moyen.
Une question, un commentaire ?
Sur le même thème
Article Web