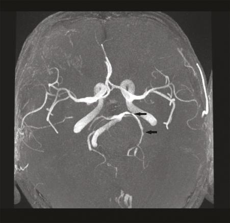
Cet homme de 71 ans est hospitalisé en mars 2020 pour un accident vasculaire cérébral ischémique (AVCi) de la capsule interne gauche (fig. 1 ) d’évolution favorable. L’enquête étiologique est négative mais des causes cardiovasculaires sont considérées comme probables. Après un épisode de céphalées intenses, mal calmées par le paracétamol, le patient est réhospitalisé en urgence début juillet pour une hémiplégie gauche ; l’imagerie révèle un aspect de vascularite cérébrale des gros troncs (fig. 2 ). La maladie de Horton est éliminée. Mi-juillet, un nouvel AVCi se traduit par une aggravation de l’hémiplégie gauche, une confusion mentale, une ataxie. Des échanges téléphoniques et écrits orientent alors vers le diagnostic de borréliose ; la ponction lombaire (95 % de lymphocytes, 8 hématies, protéinorachie 0,93 g/L, IgG anti Borrelia Burgdorferi > 240 UA/mL) et le profil sérologique de la maladie de Lyme (IgG 352 et IgM 2,3 UA/mL en faveur d’une infection semi-récente) confirment la neuro-borréliose active tardive (index de sécrétion intrathécale de 3,3 donc > 2) sous forme d’une méningo-vascularite.1 Un traitement par doxycycline est débuté puis le patient est pris en charge par un service de rééducation fonctionnelle dédié, avec d’importantes séquelles.
Le délai entre une morsure de tique infectante et l’apparition d’une neuro-borréliose tardive varie de six mois à un an, voire plus.2 Cette morsure est indolore et peut passer inaperçue. La neuroborreliose tardive est une cause rare d’AVCi ; ses tableaux cliniques sont variés et graves, en l’absence de diagnostic et de traitement : encéphalites ou encéphalomyélites chroniques, AVC récidivants, polyneuropathies axonales, myosites.2 L’arbre décisionnel de recherche des causes d’un AVCi devrait attirer l’attention sur l’urgence du diagnostic des maladies infectieuses causes de vascularites cérébrales car la rapidité de mise en œuvre du traitement antibiotique conditionne la survie du patient et sa qualité.
Références
1. Sparsa L, Blanc F, Lauer V, Cretin B, Marescaux C, Wolff V. Une méningovascularite infectieuse de Lyme révélée par des accidents ischémiques cérébraux successifs. Revue neurologique 2009;65:273-7.
2. Rauer S, Kastenbauer S, Fingerle V, Hunfeld KP, Huppertz HI, Dersch R. Neuroborreliose. Dtsch Arztebl Int 2018;115:751-6.
2. Rauer S, Kastenbauer S, Fingerle V, Hunfeld KP, Huppertz HI, Dersch R. Neuroborreliose. Dtsch Arztebl Int 2018;115:751-6.
Une question, un commentaire ?
Sur le même thème
Article
Article Web