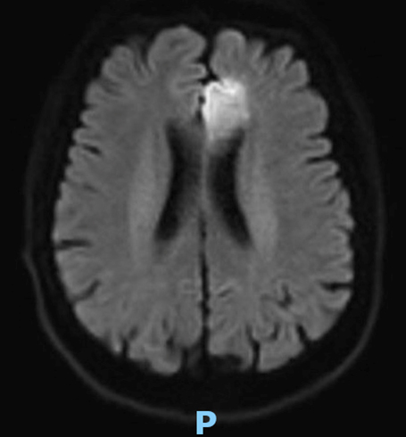
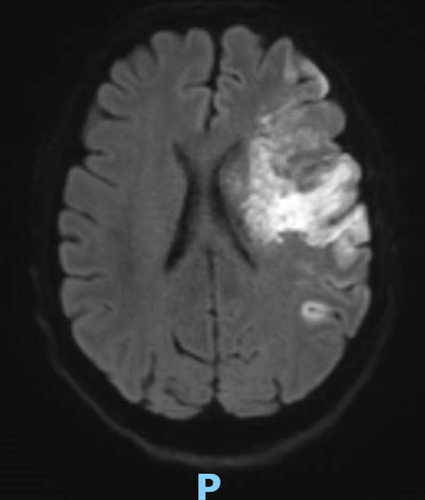
Le 21 mai, à 23 heures, vous recevez Mme L., 75 ans, ayant les signes d’alerte d’un accident vasculaire cérébral (AVC) pour un épisode transitoire de trouble visuel apparu brutalement il y a deux heures.
Cette patiente est une ancienne secrétaire à la SNCF, elle vit seule, est autonome pour les activités de la vie quotidienne, n’a pas d’intoxication alcoolo-tabagique. Elle est droitière.
Elle a pour antécédents une hypertension artérielle ancienne traitée par une bithérapie (inhibiteur de l’enzyme de conversion [IEC] et diurétique thiazidique), une dyslipidémie sous statine et un surpoids (indice de masse corporelle [IMC] à 31).
Vous interrogez la patiente concernant ses symptômes. Elle vous décrit l’histoire suivante : elle était en train de dîner avec sa fille quand elle s’est brutalement mise à ne plus voir le côté gauche de sa fille. De même, elle ne voyait plus la gauche de la télévision dans le salon. Ce trouble a duré trente minutes puis elle s’est remise à voir normalement.
Cette patiente est une ancienne secrétaire à la SNCF, elle vit seule, est autonome pour les activités de la vie quotidienne, n’a pas d’intoxication alcoolo-tabagique. Elle est droitière.
Elle a pour antécédents une hypertension artérielle ancienne traitée par une bithérapie (inhibiteur de l’enzyme de conversion [IEC] et diurétique thiazidique), une dyslipidémie sous statine et un surpoids (indice de masse corporelle [IMC] à 31).
Vous interrogez la patiente concernant ses symptômes. Elle vous décrit l’histoire suivante : elle était en train de dîner avec sa fille quand elle s’est brutalement mise à ne plus voir le côté gauche de sa fille. De même, elle ne voyait plus la gauche de la télévision dans le salon. Ce trouble a duré trente minutes puis elle s’est remise à voir normalement.
Question 1 - Quel(s) territoire(s) vasculaire(s) pourrai(en)t être en cause dans les symptômes transitoires énoncés par la patiente ?









Le type d’hémianopsie est très important car il permet de localiser une atteinte neurologique, en connaissant le trajet des voies optiques.
Figure d’après le Collège des enseignants de neurologie (CEN). Altération aiguë de la vision.
Cette question supposait d’avoir bien en tête le schéma des voies optiques, et d’avoir des repères sur les principaux territoires vasculaires cérébraux et l’atteinte clinique associée. Il bien mentionné par le CEN que l’hémianopsie latérale homonyme gauche peut se voir dans un AVC sylvien superficiel droit.
Tableau d’après le Collège des enseignants de neurologie. Altération aiguë de la vision.