Quel est votre diagnostic ?
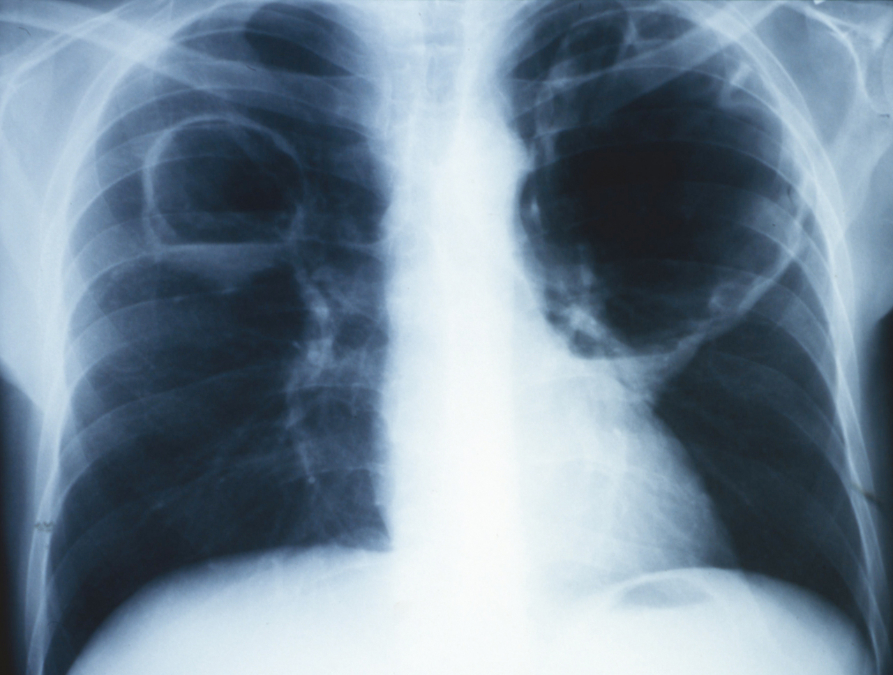
Il s’agit d’abcès du poumon. Les abcès du poumon, uniques, ou multiples comme ici, produisent des opacités excavées à parois épaisses, localisées dans 70 % des cas dans les zones postérieures. Les agents infectieux en cause sont le plus souvent les bacilles à Gram négatif et les streptocoques d'origine bucco-dentaire chez l’adulte, et le staphylocoque chez l’enfant. Le germe en cause ici est le staphylocoque. Les pneumopathies à Staphylococcus aureus sont rares et correspondent à moins de 5 % des pneumopathies communautaires. Elles surviennent souvent dans un contexte post-grippal en raison de l’atteinte de l'épithélium respiratoire qui favorise l’infection par S. aureus.

Exercez-vous aux ECN avec les dossiers progressifs et les LCA de La Revue du Praticien