Mme A., 67 ans, est prise en charge depuis 2 mois pour une pseudopolyarthrite rhizomélique (PPR), sous prednisone 7,5 mg/j.

Elle a une fièvre qui dure depuis 3 semaines à 38,2 °C et une « migraine » quasiment permanente. Elle vous apporte un scanner effectué la veille.
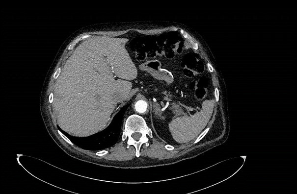
Quel est votre diagnostic ?
On voit sur ce scanner un aspect d’épaississement de la paroi aortique, signant la présence d’une aortite. L’anamnèse est évocatrice d’artérite à cellules géantes (ACG) avec la présence de signes céphaliques. Cette pathologie s’associe parfois à une aortite qui peut évoluer vers des complications à long terme, par exemple anévrisme et dissection, qu’il convient de dépister (scanner ou TEP scanner) et de suivre. La posologie de prednisone était probablement insuffisante dès le départ (0,5 mg/kg si PPR isolée, 0,7 mg/kg si ACG avec signes céphaliques, 1 mg/kg si atteinte ischémique).
 
Pour en savoir plus : Greigert H, Bonnotte B, Samson M. Diagnostic de l’artérite à cellules géantes.  Rev Prat 2023;73(4);387-93.
 
Par la Dr Jeanne De la Rochefoucauld, service de médecine interne, hôpital de la Pitié-Salpêtrière, Paris.

Exercez-vous aux ECN avec les dossiers progressifs et les LCA de La Revue du Praticien