Syndrome de menace d’infarctus cérébral.
Un accident ischémique transitoire (AIT) est un dysfonctionnement neurologique bref et soudain, dû à une ischémie focale, cérébrale ou rétinienne. Ses symptômes durent typiquement moins de 1 heure et, condition essentielle, ne s’accompagnent pas de preuve d’infarctus récent à l’imagerie pratiquée dans les heures ou jours suivants.
Dans la définition proposée en 2009 par les sociétés américaines de neurologie vasculaire, la notion de temps (durée < 1 heure) a disparu ; le critère majeur est l’imagerie prouvant l’absence de lésions constituées.1 D’où l’importance de réaliser cette exploration dans le plus court délai.
L’imagerie par résonance magnétique (IRM) avec séquence de diffusion est l’exploration idéale en raison de ses performances diagnostiques.
L’enjeu de la prise en charge précoce (appel au 15) et spécialisée est de prévenir un infarctus cérébral.
L’AIT doit être perçu comme un signal d’alarme, un « syndrome de menace cérébrale », nécessitant une surveillance rapprochée, un bilan étiologique et la prescription d’un antithrombotique en urgence, une fois l’hémorragie éliminée.

Épidémiologie

En Europe, l’incidence varie de 28 à 59 cas pour 100 000 habitants par an. Dans le registre dijonnais des AVC, l’incidence des AIT de novo, ajustée à la population française, est de 49 cas/100 000/an. Le taux d’attaque d’AIT ajusté, avec ou sans antécédents neurovasculaires, est de 70/100 000 (hommes : 85/100 000, femmes : 60/100 000).
Il double entre 65 et 75 ans et culmine ensuite autour de 700/100 000.
Ces éléments confirment sa valeur de syndrome de menace. Selon les données du PMSI, deux tiers des patients ont plus de 65 ans.
À noter que les données épidémiologiques sont à interpréter avec prudence, car les études sont souvent fondées sur l’ancienne définition OMS des AIT comportant des critères temporels : signes déficitaires réversibles en moins de 24 heures, sans nécessité d’imagerie encéphalique rapide.
La majorité des événements durent moins de 1 heure. Quelle que soit la définition adoptée, le diagnostic est souvent difficile car il repose uniquement sur l’interrogatoire a posteriori avec une symptomatologie volontiers minimisée par le patient.

Récidive et infarctus cérébral

Le risque n’est pas tant la récidive de l’ischémie transitoire que la survenue d’un infarctus cérébral avec séquelles fonctionnelles. Il est particulièrement élevé dans les jours qui suivent : 10 % se compliquent d’un infarctus cérébral dans les 3 mois, dont la moitié au cours des 48 premières heures.
En l’absence d’une prévention efficace ciblant son étiologie, la proportion de récidive à 3 mois varie de 20 % (athérome) à 12 % (cardiopathie emboligène) et 2 % (maladie des petites artères cérébrales).

Signes évocateurs

Comme il est rare d’assister à l’événement en raison de sa brièveté, ils sont importants à repérer sur la seule description rétrospective qu’en font la victime et son entourage.
Poser le diagnostic n’est possible qu’à l’issue d’un interrogatoire rigoureux (chronologie, circonstances de survenue). L’identification clinique est difficile car les symptômes non spécifiques (flou visuel) sont nombreux ou témoignent d’un diag-nostic différentiel (migraine avec aura entre autres…). En outre, la reproductibilité interobservateur du diagnostic est médiocre.
Typiquement, le déficit neurologique est d’installation brutale, d’emblée maximal, et focal. Dans un territoire vasculaire, une obstruction unique peut expliquer tous les symptômes. On distingue 2 grands types de symptomatologie.
L’atteinte carotidienne se manifeste par une cécité monoculaire transitoire (l’artère ophtalmique est la branche terminale de l’artère carotide interne) et/ou des troubles du langage, un déficit moteur brachio-facial ou hémicorporel, des troubles sensitifs unilatéraux.
Les ischémies vertébro-basilaires entraînent une hémiparésie et/ou une ataxie, des troubles de l’équilibre, des paresthésies, une hémianopsie latérale homonyme.
Ce qui distingue l’épisode transitoire de l’infarctus constitué est son caractère totalement régressif.
L’imagerie est donc urgente. Elle a pour but d’exclure formellement un autre diagnostic, en particulier une hémorragie, avant la mise en place d’un traitement antithrombotique.
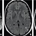
En effet, dans 5 % des cas, le déficit neurologique transitoire est dû à une hémorragie intracérébrale (fig. 1a, malformation vasculaire : cavernome) ou à d’autres maladies à risque hémorragique (fig. 1b, angiopathie amyloïde cérébrale).

Diagnostics différentiels

Les principaux sont l’hypoglycémie, la crise épileptique partielle et l’aura migraineuse (tableau 1). L’examen clinique peut contribuer à les éliminer. L’IRM encéphalique (encadré 1) est un examen précieux pour poser le diagnotic (fig. 1).
À noter qu’un symptôme isolé ne s’expliquant pas par une atteinte focale et systématisée du système nerveux central n’est pas évocateur d’AIT. Il s’agit entre autres de l’altération de la vigilance, « l’étourdissement », la confusion, l’impression de faiblesse générale, la lipothymie, l’amnésie et l’incontinence, urinaire ou fécale (encadré 2).

Conduite à tenir

Devant une suspicion d’AIT, la première question à se poser est : « Où le patient doit-il être pris en charge ? ». Plusieurs éléments sont à considérer : délai écoulé depuis l’épisode aigu, risque de récidive, temps nécessaire au bilan en ambulatoire, accès aux soins, adhésion du malade (fig. 2).
Déficit neurologique transitoire datant de moins de 6 heures à haut risque de récidive précoce. Ces sujets doivent bénéficier en urgence d’une imagerie encéphalique avec évaluation des axes artériels extra- et intracrâniens au sein d’une unité neurovasculaire (UNV). Il en existe 135 sur le territoire national. La liste actualisée est disponible sur le site de la Société française neuro-vasculaire (www.societe-francaise-neurovasculaire.fr).
AIT inférieur à 72 heures. Les recommandations américaines (2009)1 proposent l’hospitalisation (de préférence en UNV) si le risque de récidive est élevé, soit supérieur ou égal à 3 selon le score ABCD2 (tableau 2). Les personnes avec un score inférieur (de 0 à 2) doivent être hospitalisées : s’il n’est pas possible de faire en ville leur bilan complet dans les 2 jours, ou s’il y a en outre une preuve d’ischémie focale.1

Explorations immédiates

Tout patient ayant fait un AIT doit bénéficier, dans les 24 heures, d’une imagerie encéphalique à visée diagnostique et d’une documentation complète des vaisseaux cérébraux à la recherche de l’étiologie aussitôt que possible.1

Diagnostic positif

L’IRM encéphalique est préférable à la tomo- densitométrie (TDM) parce que, contrairement à celle-ci, elle montre les lésions hémorragiques anciennes de petite taille.
La séquence de diffusion est indispensable ainsi que celle dite T2*-écho de gradient (encadré 1).

Bilan étiologique

L’urgence est le dépistage d’une éventuelle sténose carotidienne qui pourrait relever d’une chirurgie à très court terme. Le choix des examens dépend de leur disponibilité et des caractéristiques du patient.
L’échographie doppler des troncs supra-aortiques et transcrâniens (EDTSA et TC) renseigne sur le retentissement hémodynamique.
L’angio-TDM (angio-scanner) des troncs supra-aortiques est facilement accessible mais nécessite une injection de produit de contraste iodé, néphrotoxique et à risque anaphylactique.
L’angiographie par résonance magnétique (ARM) a l’avantage de ne pas irradier le patient et d’utiliser un chélate de gadolinium.
Les explorations cardiaques recherchent un trouble du rythme emboligène de type fibrillation atriale, à haut risque de récidive.
Un ECG peut être rapidement fait.
La surveillance continue du tracé électrique et des paramètres vitaux (ou « scope cardiaque ») n’est possible qu’en hospitalisation ; le holter ECG est en revanche réalisable en ambulatoire.
L’échocardiographie transthoracique (ETT) complète le bilan. L’acquisition des données par voie transœsophagienne (ETO) se discute. Elle vise à détecter un thrombus intracavitaire, un foramen ovale perméable (FOP), un anévrisme du septum atrial chez le sujet de moins 60 ans ou des plaques athéromateuses de la crosse aortique à potentiel emboligène.
D’autres explorations peuvent être justifiées selon le terrain et les hypothèses étiologiques : mise en évidence d’un éventuel syndrome des antiphospholipides, dissection des vaisseaux extracrâniens, néoplasie sous-jacente. La recherche systématique d’une mutation des facteurs de coagulation II et V n’est pas recommandée dans les accidents artériels.
L’évaluation des facteurs de risque cardiovasculaires est importante. Ceux-ci sont identiques à ceux de l’infarctus cérébral : âge élevé, hypertension, diabète, tabagisme, dyslipidémie, hérédité, surpoids… L’examen comporte en conséquence : prise de la pression artérielle à distance de l’événement, dosages de la glycémie à jeun et du LDL-cholestérol, appréciation du niveau d’activité physique, indice de masse corporelle (IMC), hygiène de vie, intoxications…

Principales étiologies

Ce sont les mêmes que celles des infarctus cérébraux :
– athérome extra- ou intracrânien ;
– pathologies cardio-emboliques : fibrillation atriale, thrombus intraventriculaire sur akinésie de la paroi, valves cardiaques mécaniques avec anticoagulation insuffisante, etc. ;
– maladie des petites artères ou lipohyalinose des artères perforantes profondes intracérébrales ;
– causes moins fréquentes : dissection des vaisseaux extracrâniens, vascularite, thrombopathies paranéoplasiques...

Cibler la cause

La thérapeutique ne diffère pas de celle de l’infarctus cérébral, sauf qu’il n’y a pas de délai pour l’administration d’un antithrombotique puisqu’il n’y a pas de risque de transformation hémorragique en l’absence de lésion ischémique tissulaire.
Prescription antithrombotique. S’il n’y a pas d’étiologie reconnue : acide acétylsalicylique (aspirine) à la dose de 75 à 300 mg par jour.3 En cas d’athérome, le clopidogrel (75 mg) peut être proposé. S’il y a une maladie des petites artères, on peut prescrire aspirine et dipyridamole (25/200 mg en formulation LP, matin et soir).
L’anticoagulation à dose efficace est indispensable s’il s’agit d’emboles cardiaques. Dans cette situation, les anticoagulants oraux directs (apixaban, dabigatran, rivaroxaban) ne sont indiqués qu’en cas de fibrillation atriale d’origine non valvulaire.
Traitement étiologique. Une sténose carotidienne symptomatique de plus de 70 % (calculée selon la méthode de l’étude NASCET) impose une intervention précoce, de préférence dans les 2 semaines qui suivent l’AIT, principalement par endartériectomie carotidienne.4
L’angioplastie avec pose de stent se discute chez les patients de moins de 70 ans ou ayant une contre-indication à la chirurgie.
Quel traitement antihypertenseur ? Dans l’essai PROGRESS, chez des patients ayant fait un accident vasculaire (ischémique transitoire, constitué ou hémorragique), la baisse de la pression artérielle a diminué le risque de récidive de 28 % (IC 95 % : 17-38 %) et d’événement cardiovasculaire majeur de 26 % (16-34 %).6
Les médicaments utilisés étaient un inhibiteur de l’enzyme de conversion associé si nécessaire à un diurétique. En conséquence, cette stratégie antihypertensive (périndopril 4 à 8 mg ± indapamide LP 1,5 mg) est depuis préconisée, avec un objectif chiffré autour de 130/80 mmHg, à moduler selon les caractéristiques du patient mais aussi la tolérance et les effets indésirables.
Administration d’une statine. Elle concerne les AIT non cardio-emboliques et vise un LDL-C inférieur à 2,6 mmol/L (1,0 g/L) selon la recommandation de la HAS.7 Elle peut être prescrite même si le patient est en dessous de ce seuil s’il existe une athérosclérose symptomatique (hors événement neurovasculaire).
La molécule validée par une étude randomisée est l’atorvastatine à la dose de 80 mg/j. Un LDL-C inférieur à 0,7 g/L peut être pertinent chez les patients à haut risque vasculaire.
Le contrôle du diabète de type 2 doit maintenir l’HbA1c en dessous de 8 % pour les patients dont le ou les épisodes neurovasculaires sont récents (inférieurs à 6 mois). Pour des accidents plus anciens, ce chiffre est réduit à 7 %.5


Quel suivi ?

Le patient doit être considéré comme étant globalement à risque cardio-neurovasculaire, avec une forte probabilité de survenue d’un infarctus cérébral.
À cette surveillance orientée s’intègre celle d’une éventuelle sténose artérielle par échographie-doppler répétée.
La fréquence du suivi doit être individualisée selon le patient, ses caractéristiques et ses comorbidités. Elle est guidée par la nécessité d’équilibrer les facteurs de risque vasculaire via différents intervenants (cardiologue, diabétologue, néphrologue), le tout cordonné par le médecin traitant. En cas de sténose artérielle, le contrôle est rapproché (3 à 6 mois) puis espacé selon son évolution.
Outre la dimension vasculaire, le retentissement fonctionnel comprend également : fatigabilité excessive, irritabilité, troubles cognitifs avec atteinte de la mémoire de travail et diminution de la vitesse de traitement de l’information, trouble de l’humeur pouvant aller jusqu’au syndrome anxiodépressif.
Des états de stress post-traumatiques peuvent également survenir avec une anxiété de la récidive. Ces séquelles sont un handicap « invisible » qu’il faut rechercher et prendre en charge.
L’éducation du patient et de son entourage est indispensable pour repérer précocement tout signe évocateur d’AVC permettant une orientation rapide vers une structure compétente en revascularisation artérielle. L’acronyme anglais FAST (Face, Arm, Speech, Time) peut être une façon simple de résumer au patient et à l’entourage les signes d’alerte justifiant de contacter les services d’urgence immédiatement (appel du 15) : paralysie soudaine du visage, d’un bras ou trouble de la parole.
Il faut également sensibiliser les intéréssés à une bonne maîtrise des facteurs de risque à long terme.5
Encadre

1. Intérêt de l’IRM encéphalique dans la pathologie neurovasculaire

Séquence de diffusion (DWI, Diffusion Weighted Imaging) : l’hypersignal traduit le ralentissement de la mobilité des molécules d’eau secondaire aux lésions ischémiques avec présence d’un œdème cytotoxique dès les premières minutes. La cartographie du coefficient apparent de diffusion (ADC, Apparent Diffusion Coefficient) permet une évaluation quantitative du mouvement, diminué (restriction), en cas d’ischémie.

Séquence T2*-écho de gradient : l’hyposignal traduit la présence d’hémosidérine, produit de dégradation de l’hémoglobine. Cette séquence permet la mise en évidence d’une hémorragie intracrânienne.

Autres séquences : FLAIR (évaluation morphologique du parenchyme cérébral) et ToF (imagerie vasculaire, notamment du polygone de Willis, sans injection de produit de contraste).

Encadre

2. Symptômes ne devant pas faire évoquer d’emblée un AIT

✔ Altération de la conscience sans autre signe d’atteinte de la circulation vertébrobasilaire.

✔ Confusion mentale isolée.

✔ Étourdissement isolé.

✔ Amnésie isolée.

✔ Faiblesse généralisée.

✔ Lipothymie.

✔ Scotome scintillant.

✔ Acouphènes isolés.

✔ Incontinence sphinctérienne urinaire et/ou anale.

✔ Progression des symptômes (notamment sensitifs) selon « une marche » intéressant plusieurs parties du corps.

✔ Trouble aigu du comportement.

Références
1. Easton JD, Saver JL, Albers GW, et al. Definition and evaluation of transient ischemic attack. A scientific statement for healthcare professionals from the American Heart Association/American Stroke Association Stroke Council; Council on Cardiovascular Surgery and Anesthesia; Council on Cardiovascular Radiology and Intervention; Council on Cardiovascular Nursing; and the Interdisciplinary Council on Peripheral Vascular Disease Stroke 2009;40:2276-93.

2. Johnston SC, Rothwell PM, Nguyen-Huynh MN, et al. Validation and refinement of scores to predict very early stroke risk after transient ischaemic attack. Lancet 2007;369:283-92.

3. European Stroke Organisation (ESO) Executive Committee, ESO Writing Committee. Guidelines for management of ischaemic stroke and transient ischaemic attack 2008. Cerebrovasc Dis 2008;25:457-507.

4. Rothwell PM, Eliasziw M, Gutnikov SA, Warlow CP, Barnett HJM; Carotid Endarterectomy Trialists Colla-boration. Endarterectomy for symptomatic carotid stenosis in relation to clinical subgroups and timing of surgery. Lancet 2004;363:915-24.

5. HAS. Prévention vasculaire après un infarctus cérébral ou un accident ischémique transitoire. Recommandation de bonne pratique. Juillet 2014. Mise à jour février 2015.

6. PROGRESS Collaborative Group. Randomised trial of a perindopril-based blood-pressure-lowering regimen among 6,105 individuals with previous stroke or transient ischaemic attack. Lancet 2001;358:1033-41.

Dans cet article

Ce contenu est exclusivement réservé aux abonnés