Épidémies hivernales, touchant 1 nourrisson sur 4 (âge < 6 mois dans 80 % des cas).
Hospitalisation rarement nécessaire (risque accru si exposition au tabac).
Virus impliqués :
– virus respiratoire syncytial (VRS) le plus souvent (65 % des formes hospitalisées) ;
– rhinovirus (25 % des cas).
Transmission directe via les sécrétions contaminées, ou indirecte (jouets, mains, stéthoscope).
Inflammation et obstruction des bronchioles suite à l’infection => augmentation des résistances à l’écoulement de l’air, avec un frein et des sifflements expiratoires caractéristiques, associés à un piégeage de l’air responsable d’une distension pulmonaire.
Hospitalisation rarement nécessaire (risque accru si exposition au tabac).
Virus impliqués :
– virus respiratoire syncytial (VRS) le plus souvent (65 % des formes hospitalisées) ;
– rhinovirus (25 % des cas).
Transmission directe via les sécrétions contaminées, ou indirecte (jouets, mains, stéthoscope).
Inflammation et obstruction des bronchioles suite à l’infection => augmentation des résistances à l’écoulement de l’air, avec un frein et des sifflements expiratoires caractéristiques, associés à un piégeage de l’air responsable d’une distension pulmonaire.
Diagnostic
En période d’épidémie et après 24-72 heures d’une rhinopharyngite :
– toux sèche, en quintes, dite « coqueluchoïde », parfois émétisante ;
– polypnée avec dyspnée expiratoire ou « frein expiratoire » ;
– état général conservé (fièvre souvent absente ou modérée).
À l’examen : diminution de l’ampliation thoracique, râles sibilants diffus avec parfois un wheezing audible à l’oreille, sous-crépitants ou crépitants (en fin d’inspiration, témoin de l’atteinte alvéolaire).
Radiographie thoracique :
– réservée aux formes sévères hospitalisées ou d’évolution inhabituelle (fébrile ou traînante) :
– « syndrome bronchique » ;
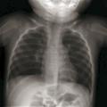
– distension avec hyperclarté des 2 champs pulmonaires, horizontalisation des côtes (plus de 9 espaces intercostaux visibles) et aplatissement des coupoles diaphragmatiques (fig. 1) ;
– atteinte alvéolaire avec opacités floconneuses périphériques ;
– atélectasie segmentaire ou lobaire en cas de bouchons muqueux (craindre une surinfection bactérienne) [fig. 2] ;
– plus rarement, aspect d’emphysème lobaire, médiastinal ou pneumothorax.
– toux sèche, en quintes, dite « coqueluchoïde », parfois émétisante ;
– polypnée avec dyspnée expiratoire ou « frein expiratoire » ;
– état général conservé (fièvre souvent absente ou modérée).
À l’examen : diminution de l’ampliation thoracique, râles sibilants diffus avec parfois un wheezing audible à l’oreille, sous-crépitants ou crépitants (en fin d’inspiration, témoin de l’atteinte alvéolaire).
Radiographie thoracique :
– réservée aux formes sévères hospitalisées ou d’évolution inhabituelle (fébrile ou traînante) :
– « syndrome bronchique » ;
– distension avec hyperclarté des 2 champs pulmonaires, horizontalisation des côtes (plus de 9 espaces intercostaux visibles) et aplatissement des coupoles diaphragmatiques (fig. 1) ;
– atteinte alvéolaire avec opacités floconneuses périphériques ;
– atélectasie segmentaire ou lobaire en cas de bouchons muqueux (craindre une surinfection bactérienne) [fig. 2] ;
– plus rarement, aspect d’emphysème lobaire, médiastinal ou pneumothorax.
Facteurs de gravité
À rechercher systématiquement pour hospitaliser si nécessaire.
Intervenir avant l’épuisement de l’enfant :
– hypoventilation (respiration superficielle, ampliation thoracique très faible, murmure vésiculaire mal ou plus perçu) ;
– troubles de la vigilance/hypotonie (signes d’hypoxie) ;
– hypersudation (hypercapnie) ;
– bradypnée avec respiration très irrégulière (indiquant un arrêt cardiorespiratoire imminent).
Fragilité des patients :
– nourrissons (< 6 semaines) ou anciens prématurés (< 34 semaines), avec un âge corrigé < 3 mois ;
– enfants atteints de cardiopathie ou de maladie respiratoire chronique (séquelles de réanimation néonatale ou bronchodysplasie) ;
– surveillance étroite (peuvent décompenser en quelques heures).
Gravité de l’atteinte :
– aspect « toxique » ;
– détresse respiratoire, évaluée par : polypnée > 60 cycles/min, avec une tendance au raccourcissement du temps expiratoire ; « signes de lutte » (dépression sus- et sous-sternale, tirage intercostal, battements des ailes du nez, geignement expiratoire) ; accès de cyanose (péribuccale ou sous-unguéale) ou saturation transcutanée (par oxymètre de pouls) < 94 % ; apnées (qui justifient l’hospitalisation) ;
– anomalies radiologiques étendues (atélectasie lobaire) ;
– défaut d’apport hydrique avec réduction de l’alimentation ou perte de poids de 5 %, surtout si associées à vomissements, hyperthermie, fausses routes (voie entérale ou parentérale préconisée).
Impossibilité d’un traitement et/ou d’une surveillance adaptés à domicile (difficultés psycho-sociales ou d’accès aux soins).
Intervenir avant l’épuisement de l’enfant :
– hypoventilation (respiration superficielle, ampliation thoracique très faible, murmure vésiculaire mal ou plus perçu) ;
– troubles de la vigilance/hypotonie (signes d’hypoxie) ;
– hypersudation (hypercapnie) ;
– bradypnée avec respiration très irrégulière (indiquant un arrêt cardiorespiratoire imminent).
Fragilité des patients :
– nourrissons (< 6 semaines) ou anciens prématurés (< 34 semaines), avec un âge corrigé < 3 mois ;
– enfants atteints de cardiopathie ou de maladie respiratoire chronique (séquelles de réanimation néonatale ou bronchodysplasie) ;
– surveillance étroite (peuvent décompenser en quelques heures).
Gravité de l’atteinte :
– aspect « toxique » ;
– détresse respiratoire, évaluée par : polypnée > 60 cycles/min, avec une tendance au raccourcissement du temps expiratoire ; « signes de lutte » (dépression sus- et sous-sternale, tirage intercostal, battements des ailes du nez, geignement expiratoire) ; accès de cyanose (péribuccale ou sous-unguéale) ou saturation transcutanée (par oxymètre de pouls) < 94 % ; apnées (qui justifient l’hospitalisation) ;
– anomalies radiologiques étendues (atélectasie lobaire) ;
– défaut d’apport hydrique avec réduction de l’alimentation ou perte de poids de 5 %, surtout si associées à vomissements, hyperthermie, fausses routes (voie entérale ou parentérale préconisée).
Impossibilité d’un traitement et/ou d’une surveillance adaptés à domicile (difficultés psycho-sociales ou d’accès aux soins).
Traitement
Symptomatique +++ : maintenir une bonne hydratation et la liberté des voies aériennes.
Aspiration nasale + instillation de sérum physiologique, plusieurs fois/j, en fonction de l’encombrement et avant les tétées.
Placer l’enfant en position de confort, pour faciliter sa ventilation et prévenir les régurgitations (proclive dorsale à 30°).
Supprimer surchauffe et tabac, comptabiliser les apports hydriques.
Fractionner l’alimentation (répartir en 1 à 2 prises supplémentaires), pour éviter les fausses routes chez un enfant fatigué et une distension abdominale pouvant entraver sa ventilation.
Chez un nourrisson « régurgiteur », prévenir le reflux pendant la phase aiguë (lait épaissi).
Kinésithérapie :
– controversée, indication surtout de confort si hypersécrétion et sur l’évaluation du kiné.
En cas d’hospitalisation :
– mêmes principes thérapeutiques ;
– si retard hydrique important : alimentation entérale sur sonde nasogastrique ;
– dans les premières heures, hydratation veineuse parfois nécessaire (au minimum 100 mL/kg/j) ;
– en cas d’hypoxie avec une saturation en O2 < 94 % : oxygénothérapie (lunette nasale ± haut débit) ;
– si épuisement : aide ventilatoire (ventilation en pression positive continue en premièreintention).
Médicaments :
– indications controversées, souvent inutiles, voire néfastes ;
– bronchodilatateurs inhalés : test possible en cas d’hyperréactivité bronchique (β2 stimulants d’action rapide), adrénaline dans les cas sévères hospitalisés et exceptionnellement ;
– corticoïdes : si forme sévère avec bronchospasme ;
– sérum salé 3 % nébulisé : discuté, non recommandé ;
– mucolytiques et antitussifs : contre-indiqués ;
– antibiothérapie : réservée aux surinfections bactériennes (otite, atélectasie avec élévation de la CRP + hyperthermie).
Aspiration nasale + instillation de sérum physiologique, plusieurs fois/j, en fonction de l’encombrement et avant les tétées.
Placer l’enfant en position de confort, pour faciliter sa ventilation et prévenir les régurgitations (proclive dorsale à 30°).
Supprimer surchauffe et tabac, comptabiliser les apports hydriques.
Fractionner l’alimentation (répartir en 1 à 2 prises supplémentaires), pour éviter les fausses routes chez un enfant fatigué et une distension abdominale pouvant entraver sa ventilation.
Chez un nourrisson « régurgiteur », prévenir le reflux pendant la phase aiguë (lait épaissi).
Kinésithérapie :
– controversée, indication surtout de confort si hypersécrétion et sur l’évaluation du kiné.
En cas d’hospitalisation :
– mêmes principes thérapeutiques ;
– si retard hydrique important : alimentation entérale sur sonde nasogastrique ;
– dans les premières heures, hydratation veineuse parfois nécessaire (au minimum 100 mL/kg/j) ;
– en cas d’hypoxie avec une saturation en O2 < 94 % : oxygénothérapie (lunette nasale ± haut débit) ;
– si épuisement : aide ventilatoire (ventilation en pression positive continue en premièreintention).
Médicaments :
– indications controversées, souvent inutiles, voire néfastes ;
– bronchodilatateurs inhalés : test possible en cas d’hyperréactivité bronchique (β2 stimulants d’action rapide), adrénaline dans les cas sévères hospitalisés et exceptionnellement ;
– corticoïdes : si forme sévère avec bronchospasme ;
– sérum salé 3 % nébulisé : discuté, non recommandé ;
– mucolytiques et antitussifs : contre-indiqués ;
– antibiothérapie : réservée aux surinfections bactériennes (otite, atélectasie avec élévation de la CRP + hyperthermie).
Évolution
Le plus souvent bénigne, en 5-10 jours.
Complications (rarrissimes) : pneumothorax, surinfection bactérienne sévère.
Chez les patients fragilisés :
– risque d’évolution grave/décès : apnée révélatrice chez un nouveau-né, décompensation d’une bronchodysplasie, d’une cardiopathie ;
– mesures préventives : éviction de la collectivité, prévention par gammaglobulines monoclonales anti-VRS (palivizumab), surtout chez les grands prématurés, bronchodysplasiques ou cardiopathies sévères.
Séquelles à long terme (exceptionnelles) : fibrose, bronchiolite oblitérante, bronchectasies.
Dans les suites d’une hospitalisation :
– possibles bronchites sifflantes récidivantes ± dyspnéisantes témoignant d’un terrain prédisposant (on parle d’« asthme du nourrisson » après 3 épisodes de dyspnée expiratoire) ;
– si cassure pondérale, persistance de symptômes intercritiques, bruit respiratoire (stridor, sifflement) ou diarrhée chronique : demander un avis spécialisé.
Complications (rarrissimes) : pneumothorax, surinfection bactérienne sévère.
Chez les patients fragilisés :
– risque d’évolution grave/décès : apnée révélatrice chez un nouveau-né, décompensation d’une bronchodysplasie, d’une cardiopathie ;
– mesures préventives : éviction de la collectivité, prévention par gammaglobulines monoclonales anti-VRS (palivizumab), surtout chez les grands prématurés, bronchodysplasiques ou cardiopathies sévères.
Séquelles à long terme (exceptionnelles) : fibrose, bronchiolite oblitérante, bronchectasies.
Dans les suites d’une hospitalisation :
– possibles bronchites sifflantes récidivantes ± dyspnéisantes témoignant d’un terrain prédisposant (on parle d’« asthme du nourrisson » après 3 épisodes de dyspnée expiratoire) ;
– si cassure pondérale, persistance de symptômes intercritiques, bruit respiratoire (stridor, sifflement) ou diarrhée chronique : demander un avis spécialisé.